Shopping Cart
Remove All
Your shopping cart is currently empty
Anti-Desmin Polyclonal Antibody is a Rabbit antibody targeting Desmin. Anti-Desmin Polyclonal Antibody can be used in ICC/IF, IF, IHC-Fr, IHC-P, WB.
| Pack Size | Price | USA Stock | Global Stock | Quantity |
|---|---|---|---|---|
| 50 μL | $222 | 7-10 days | 7-10 days | |
| 100 μL | $372 | 7-10 days | 7-10 days | |
| 200 μL | $528 | 7-10 days | 7-10 days |
| Description | Anti-Desmin Polyclonal Antibody is a Rabbit antibody targeting Desmin. Anti-Desmin Polyclonal Antibody can be used in ICC/IF, IF, IHC-Fr, IHC-P, WB. |
| Synonyms | Desmin, DES |
| Ig Type | IgG |
| Reactivity | Human,Mouse,Rat |
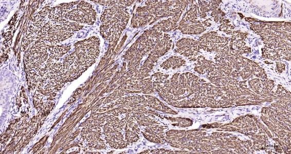
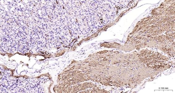
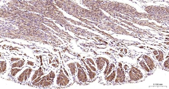
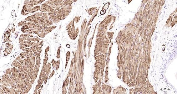
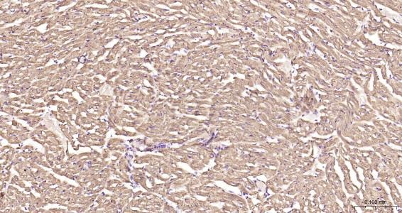
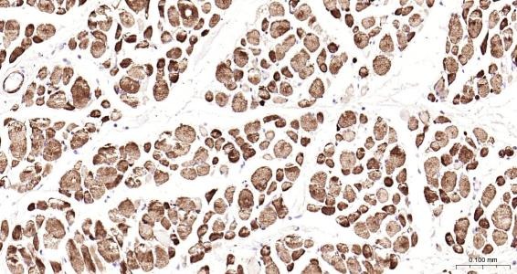
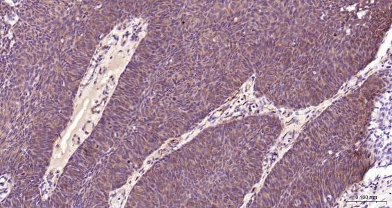
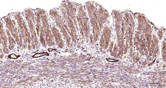
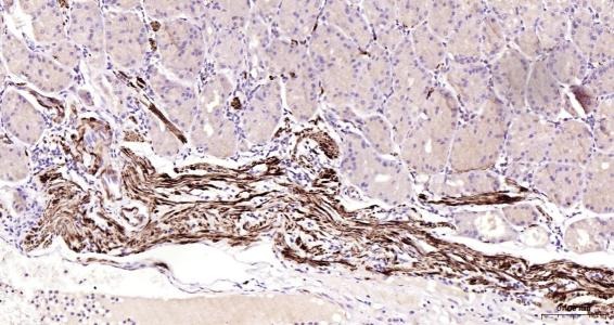
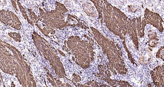
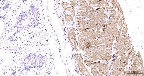
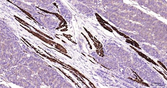
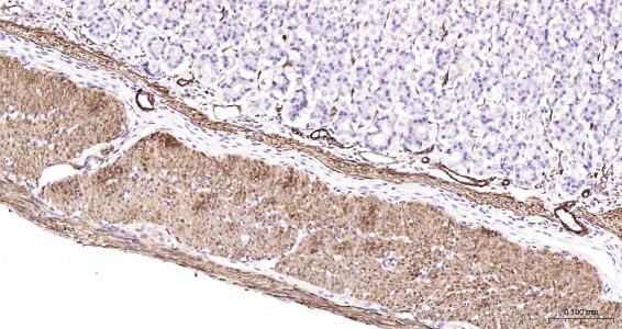
| Verified Activity | 1. 25 μg total protein per Lane of various lysates probed with Desmin monoclonal antibody, unconjugated (TMAB-00539) at 1:5000 dilution and 4°C overnight incubation. Followed by conjugated secondary antibody incubation at RT for 60 min. 2. Paraformaldehyde-fixed, paraffin embedded Rat Bladder; Antigen retrieval by boiling in sodium citrate buffer (pH6.0) for 15 min; Antibody incubation with Desmin Polyclonal Antibody, Unconjugated (TMAB-00539) at 1:200 overnight at 4°C, followed by conjugation to the secondary antibody and DAB staining. 3. Paraformaldehyde-fixed, paraffin embedded Mouse Bladder; Antigen retrieval by boiling in sodium citrate buffer (pH6.0) for 15 min; Antibody incubation with Desmin Polyclonal Antibody, Unconjugated (TMAB-00539) at 1:200 overnight at 4°C, followed by conjugation to the secondary antibody and DAB staining. 4. Paraformaldehyde-fixed, paraffin embedded Human Bladder; Antigen retrieval by boiling in sodium citrate buffer (pH6.0) for 15 min; Antibody incubation with Desmin Polyclonal Antibody, Unconjugated (TMAB-00539) at 1:200 overnight at 4°C, followed by conjugation to the secondary antibody and DAB staining. 5. Paraformaldehyde-fixed, paraffin embedded Rat Skeletal muscle; Antigen retrieval by boiling in sodium citrate buffer (pH6.0) for 15 min; Antibody incubation with Desmin Polyclonal Antibody, Unconjugated (TMAB-00539) at 1:200 overnight at 4°C, followed by conjugation to the secondary antibody and DAB staining. 6. Paraformaldehyde-fixed, paraffin embedded Mouse Skeletal muscle; Antigen retrieval by boiling in sodium citrate buffer (pH6.0) for 15 min; Antibody incubation with Desmin Polyclonal Antibody, Unconjugated (TMAB-00539) at 1:200 overnight at 4°C, followed by conjugation to the secondary antibody and DAB staining. 7. Paraformaldehyde-fixed, paraffin embedded Human Skeletal muscle; Antigen retrieval by boiling in sodium citrate buffer (pH6.0) for 15 min; Antibody incubation with Desmin Polyclonal Antibody, Unconjugated (TMAB-00539) at 1:200 overnight at 4°C, followed by conjugation to the secondary antibody and DAB staining. 8. Paraformaldehyde-fixed, paraffin embedded Rat Stomach; Antigen retrieval by boiling in sodium citrate buffer (pH6.0) for 15 min; Antibody incubation with Desmin Polyclonal Antibody, Unconjugated (TMAB-00539) at 1:200 overnight at 4°C, followed by conjugation to the secondary antibody and DAB staining. 9. Paraformaldehyde-fixed, paraffin embedded Mouse Stomach; Antigen retrieval by boiling in sodium citrate buffer (pH6.0) for 15 min; Antibody incubation with Desmin Polyclonal Antibody, Unconjugated (TMAB-00539) at 1:200 overnight at 4°C, followed by conjugation to the secondary antibody and DAB staining. 10. Paraformaldehyde-fixed, paraffin embedded Human Stomach; Antigen retrieval by boiling in sodium citrate buffer (pH6.0) for 15 min; Antibody incubation with Desmin Polyclonal Antibody, Unconjugated (TMAB-00539) at 1:200 overnight at 4°C, followed by conjugation to the secondary antibody and DAB staining. 11. Paraformaldehyde-fixed, paraffin embedded Rat Heart; Antigen retrieval by boiling in sodium citrate buffer (pH6.0) for 15 min; Antibody incubation with Desmin Polyclonal Antibody, Unconjugated (TMAB-00539) at 1:200 overnight at 4°C, followed by conjugation to the secondary antibody and DAB staining. 12. Paraformaldehyde-fixed, paraffin embedded Mouse Heart; Antigen retrieval by boiling in sodium citrate buffer (pH6.0) for 15 min; Antibody incubation with Desmin Polyclonal Antibody, Unconjugated (TMAB-00539) at 1:200 overnight at 4°C, followed by conjugation to the secondary antibody and DAB staining. 13. Paraformaldehyde-fixed, paraffin embedded Human Heart; Antigen retrieval by boiling in sodium citrate buffer (pH6.0) for 15 min; Antibody incubation with Desmin Polyclonal Antibody, Unconjugated (TMAB-00539) at 1:200 overnight at 4°C, followed by conjugation to the secondary antibody and DAB staining. 14. Paraformaldehyde-fixed, paraffin embedded Rat Uterus; Antigen retrieval by boiling in sodium citrate buffer (pH6.0) for 15 min; Antibody incubation with Desmin Polyclonal Antibody, Unconjugated (TMAB-00539) at 1:200 overnight at 4°C, followed by conjugation to the secondary antibody and DAB staining. 15. Paraformaldehyde-fixed, paraffin embedded Human Uterus; Antigen retrieval by boiling in sodium citrate buffer (pH6.0) for 15 min; Antibody incubation with Desmin Polyclonal Antibody, Unconjugated (TMAB-00539) at 1:200 overnight at 4°C, followed by conjugation to the secondary antibody and DAB staining. 16. Paraformaldehyde-fixed, paraffin embedded Mouse Uterus; Antigen retrieval by boiling in sodium citrate buffer (pH6.0) for 15 min; Antibody incubation with Desmin Polyclonal Antibody, Unconjugated (TMAB-00539) at 1:200 overnight at 4°C, followed by conjugation to the secondary antibody and DAB staining. 17. Paraformaldehyde-fixed, paraffin embedded Human Prostate Tumor; Antigen retrieval by boiling in sodium citrate buffer (pH6.0) for 15 min; Antibody incubation with Desmin Polyclonal Antibody, Unconjugated (TMAB-00539) at 1:200 overnight at 4°C, followed by conjugation to the secondary antibody and DAB staining. 18. Paraformaldehyde-fixed, paraffin embedded Human Endometrial; Antigen retrieval by boiling in sodium citrate buffer (pH6.0) for 15 min; Antibody incubation with Desmin Polyclonal Antibody, Unconjugated (TMAB-00539) at 1:200 overnight at 4°C, followed by conjugation to the secondary antibody and DAB staining. 19. Paraformaldehyde-fixed, paraffin embedded Human Esophageal Cancer; Antigen retrieval by boiling in sodium citrate buffer (pH6.0) for 15 min; Antibody incubation with Desmin Polyclonal Antibody, Unconjugated (TMAB-00539) at 1:200 overnight at 4°C, followed by conjugation to the secondary antibody and DAB staining. 20. 4% Paraformaldehyde-fixed C2C12 (M) cell; Triton X-100 at RT for 20 min; Antibody incubation with (Desmin) polyclonal Antibody, unconjugated (TMAB-00539) 1:100, 90 min at 37°C; followed by conjugated Goat Anti-Rabbit IgG antibody (green ) at 37°C for 90 min, DAPI (blue) was used to stain the cell nucleus. PBS instead of the primary antibody was used as the blank control. ![]() ![]() ![]() ![]() ![]() ![]() ![]() ![]() ![]() ![]() ![]() ![]() ![]() ![]() ![]() ![]() ![]() ![]() ![]() ![]() |
| Application | |
| Recommended Dose | ICC/IF=1:50-200; IF=1:100-500; IHC-Fr=1:100-500; IHC-P=1:100-500; WB=1:500-5000 |
| Antibody Type | Polyclonal |
| Host Species | Rabbit |
| Subcellular Localization | Cytoplasm. |
| Construction | Polyclonal Antibody |
| Purification | Protein A purified |
| Appearance | Liquid |
| Formulation | 0.01M TBS (pH7.4) with 1% BSA, 0.02% Proclin300 and 50% Glycerol. |
| Concentration | 1 mg/mL |
| Research Background | Desmin is a muscle-specific, type III intermediate filament that integrates the sarcolemma, Z disk, and nuclear membrane in sarcomeres and regulates sarcomere architecture. In adult striated muscle they form a fibrous network connecting myofibrils to each other and to the plasma membrane from the periphery of the Z line structures. Defects in Desmin are the cause of desmin related cardio skeletal myopathy (CSM) also known as desmin related myopathy (DRM). CSM is characterized by skeletal muscle weakness associated with cardiac conduction blocks, arrhythmias, restrictive heart failure, and by intracytoplasmic accumulation of desmin reactive deposits in cardiac and skeletal muscle cells. A desmin related myopathy can have a distal onset, it is then known as hereditary distal myopathy (HDM). Defects in Desmin are also the cause of dilated cardiomyopathy type 1I (CMD1I). CMD1I is an autosomal form of dilated cardiomyopathy characterized by ventricular dilatation and impaired systolic function. Antidesmin antibodies are useful in identification of tumours of myogenic origin |
| Immunogen | KLH conjugated synthetic peptide: human Desmin |
| Antigen Species | Human |
| Gene Name | DES |
| Gene ID | |
| Protein Name | Desmin |
| Uniprot ID | |
| Biology Area | Extracellular matrix,Cardiac arrhythmias,Desmin,Myogenesis |
| Function | Desmin are class-III intermediate filaments found in muscle cells. In adult striated muscle they form a fibrous network connecting myofibrils to each other and to the plasma membrane from the periphery of the Z-line structures. |
| Molecular Weight | Theoretical: 52 kDa. Actual: 53 kDa. |
| Stability & Storage | Store at -20°C or -80°C for 12 months. Avoid repeated freeze-thaw cycles. |
| Transport | Shipping with blue ice. |
| Size | Quantity | Unit Price | Amount | Operation |
|---|

Copyright © 2015-2026 TargetMol Chemicals Inc. All Rights Reserved.