Shopping Cart
Remove All
Your shopping cart is currently empty
Anti-Desmin Antibody (2D838) is a Rabbit antibody targeting Desmin. Anti-Desmin Antibody (2D838) can be used in FCM,ICC/IF,IHC,WB.
| Pack Size | Price | USA Warehouse | Global Warehouse | Quantity |
|---|---|---|---|---|
| 50 μL | $298 | 7-10 days | 7-10 days | |
| 100 μL | $496 | 7-10 days | 7-10 days |
| Description | Anti-Desmin Antibody (2D838) is a Rabbit antibody targeting Desmin. Anti-Desmin Antibody (2D838) can be used in FCM,ICC/IF,IHC,WB. |
| Synonyms | Desmin, DES |
| Ig Type | IgG |
| Clone | 2D838 |
| Reactivity | Human,Mouse,Rat,zebrafish |
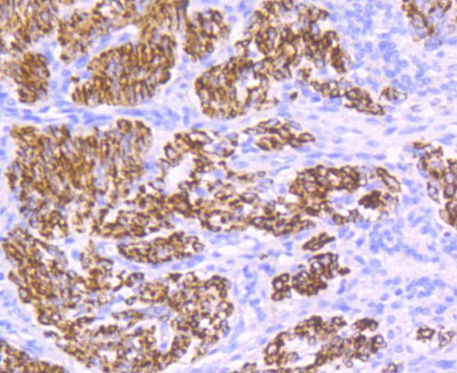
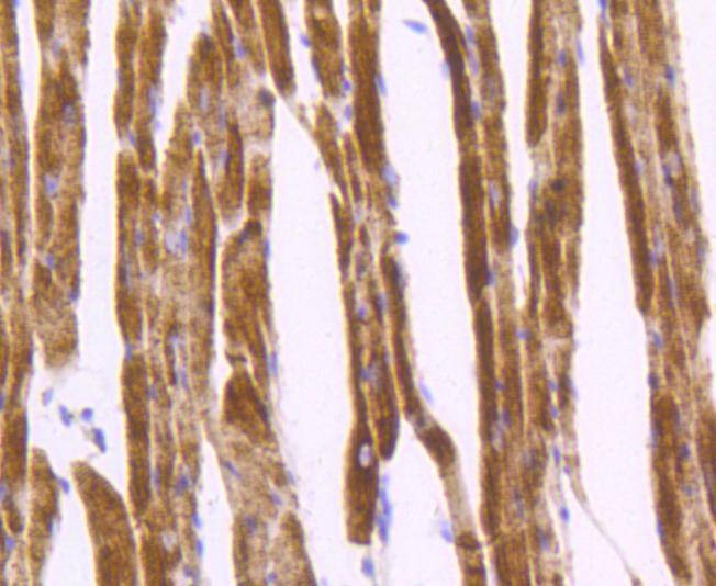
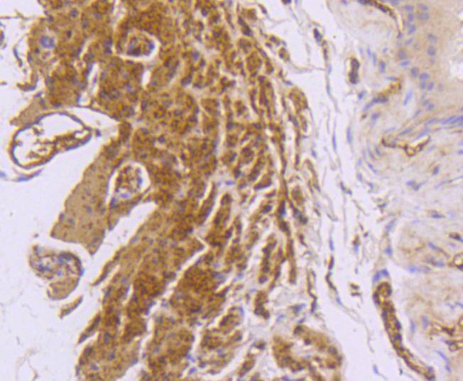
| Verified Activity | 1. Western blot analysis of Desmin on different lysates using anti-Desmin antibody at 1/1,000 dilution. Positive control: Lane 1: Human skeletal muscle, Lane 2: Mouse heart. 2. Immunohistochemical analysis of paraffin-embedded human uterus tissue using anti-Desmin antibody. Counter stained with hematoxylin. 3. Immunohistochemical analysis of paraffin-embedded mouse bladder tissue using anti-Desmin antibody. Counter stained with hematoxylin. 4. Immunohistochemical analysis of paraffin-embedded mouse skeletal muscle tissue using anti-Desmin antibody. Counter stained with hematoxylin. 5. Immunohistochemical analysis of paraffin-embedded mouse heart tissue using anti-Desmin antibody. Counter stained with hematoxylin. 6. ICC staining Desmin in C2C12 cells (green). The nuclear counter stain is DAPI (blue). Cells were fixed in paraformaldehyde, permeabilised with 0.25% Triton X100/PBS. 7. Flow cytometric analysis of C2C12 cells with Desmin antibody at 1/50 dilution (blue) compared with an unlabelled control (cells without incubation with primary antibody; red). Alexa Fluor 488-conjugated goat anti rabbit IgG was used as the secondary antibody. ![]() ![]() ![]() ![]() ![]() ![]() ![]() |
| Application | |
| Recommended Dose | WB: 1:1000-5000; IHC: 1:50-200; ICC/IF: 1:50-200; FCM: 1:50-100 |
| Antibody Type | Monoclonal |
| Host Species | Rabbit |
| Construction | Recombinant Antibody |
| Purification | ProA affinity purified |
| Appearance | Liquid |
| Formulation | 1*TBS (pH7.4), 1%BSA, 40%Glycerol. Preservative: 0.05% Sodium Azide. |
| Research Background | Cytoskeletal intermediate filaments (IFs) constitute a diverse group of proteins that are expressed in a highly tissue-specific manner. IFs are constructed from two-chain α-helical coiled-coil molecules arranged on an imperfect helical lattice, and have been widely used as markers for distinguishing individual cell types within a tissue and identifying the origins of metastatic tumors. Vimentin is an IF general marker of cells originating in the mesenchyme. Vimentin and Desmin, a related class III IF, are both expressed during skeletal muscle development. Desmin, a 469 amino acid protein found near the Z line in sarcomeres, is expressed more frequently in adult differentiated state tissues. Desmin makes up attachments between the terminal Z-disc and membrane-associated proteins to form a force-transmitting system. Mutations in the gene encoding for Desmin are associated with adult-onset skeletal myopathy, sporadic disease and mild cardiac involvement. |
| Conjucates | Unconjugated |
| Immunogen | Recombinant Protein |
| Uniprot ID |
| Molecular Weight | Theoretical: 53 kDa. |
| Color | Transparent |
| Appearance | Liquid |
| Stability & Storage | Store at -20°C or -80°C for 12 months. Avoid repeated freeze-thaw cycles. |
| Transport | Shipping with blue ice. |
| Size | Quantity | Unit Price | Amount | Operation |
|---|

Copyright © 2015-2026 TargetMol Chemicals Inc. All Rights Reserved.