Shopping Cart
Remove All
Your shopping cart is currently empty
Anti-DDX6 Antibody (4T946) is a Rabbit antibody targeting DDX6. Anti-DDX6 Antibody (4T946) can be used in IHC,WB.
| Pack Size | Price | USA Warehouse | Global Warehouse | Quantity |
|---|---|---|---|---|
| 50 μL | $296 | 7-10 days | 7-10 days | |
| 100 μL | $497 | 7-10 days | 7-10 days |
| Description | Anti-DDX6 Antibody (4T946) is a Rabbit antibody targeting DDX6. Anti-DDX6 Antibody (4T946) can be used in IHC,WB. |
| Synonyms | RCK, Probable ATP-dependent RNA helicase DDX6, Oncogene RCK, HLR2, EC 3.6.4.13, DEAD box protein 6, ATP-dependent RNA helicase p54 |
| Ig Type | IgG |
| Clone | 4T946 |
| Reactivity | Human,Mouse,Rat |
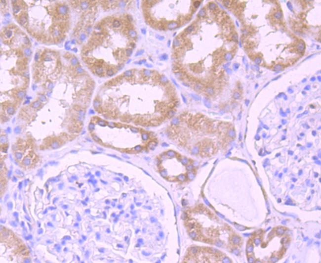
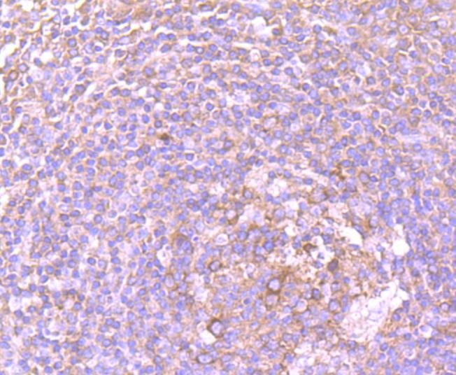
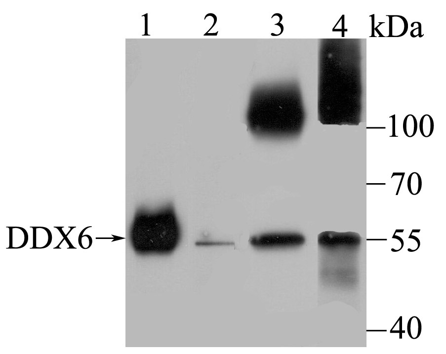
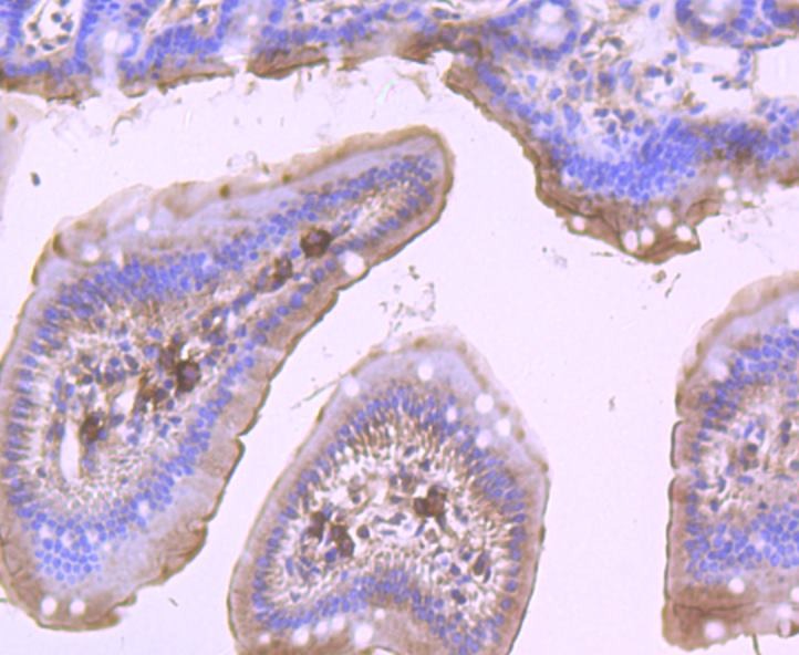
| Verified Activity | 1. Western blot analysis of DDX6 on different lysates using anti-DDX6 antibody at 1/500 dilution.Positive control:Lane 1: Human colon, Lane 2: SH-SY-5Y, Lane 3: SiHa, Lane 4: K562. 2. Immunohistochemical analysis of paraffin-embedded human tonsil tissue using anti-DDX6 antibody. Counter stained with hematoxylin. 3. Immunohistochemical analysis of paraffin-embedded human kidney tissue using anti-DDX6 antibody. Counter stained with hematoxylin. 4. Immunohistochemical analysis of paraffin-embedded mouse small intestine tissue using anti-DDX6 antibody. Counter stained with hematoxylin. 5. Immunohistochemical analysis of paraffin-embedded rat brain tissue using anti-DDX6 antibody. Counter stained with hematoxylin. ![]() ![]() ![]() ![]() ![]() |
| Application | |
| Recommended Dose | WB: 1:500-1000; IHC: 1:50-100 |
| Antibody Type | Monoclonal |
| Host Species | Rabbit |
| Construction | Recombinant Antibody |
| Purification | ProA affinity purified |
| Appearance | Liquid |
| Formulation | 1*TBS (pH7.4), 1%BSA, 40%Glycerol. Preservative: 0.05% Sodium Azide. |
| Research Background | RCK, also known as DDX6 and P54, is a member of the DEAD-box RNA helicase family of proteins, all of which share common protein motifs. Found in most tissues, RCK is an unwindase that exhibits ATP-dependent RNA un-winding activity, as well as the ability to decay RNA in the 5'-3' direction. In non-malignant cells, RCK is associated with all processes of normal RNA metabolism including splicing, export and translation initiation. Mutations in the gene encoding RCK can cause the protein to be overexpressed, changing its function to that of an oncogene that positively regulates the expression of genes involved in cell growth and proliferation. It is believed that, through its unwindase activity, the main function of RCK is to downregulate mRNA expression and maintain normal transcriptional levels within the cell. |
| Conjucates | Unconjugated |
| Immunogen | Recombinant Protein |
| Uniprot ID |
| Molecular Weight | Theoretical: 54 kDa. |
| Stability & Storage | Store at -20°C or -80°C for 12 months. Avoid repeated freeze-thaw cycles. |
| Transport | Shipping with blue ice. |
| Size | Quantity | Unit Price | Amount | Operation |
|---|

Copyright © 2015-2026 TargetMol Chemicals Inc. All Rights Reserved.