Shopping Cart
Remove All
Your shopping cart is currently empty
Synonyms: Growth arrest and DNA damage-inducible protein GADD153, GADD153, DNA damage-inducible transcript 3 protein, DDIT-3, DDIT3, CHOP-10, CHOP10, CHOP, CCAAT/enhancer-binding protein homologous protein, C/EBP-homologous protein 10, C/EBP-homologous protein, C/EBP zeta

| Pack Size | Price | USA Stock | Global Stock | Quantity |
|---|---|---|---|---|
| 50 μL | $218 | 7-10 days | 7-10 days | |
| 100 μL | $316 | 7-10 days | 7-10 days |
| Description | Anti-DDIT3 Antibody (2Y717) is a Mouse antibody targeting DDIT3. Anti-DDIT3 Antibody (2Y717) can be used in IHC,WB. |
| Synonyms | Growth arrest and DNA damage-inducible protein GADD153, GADD153, DNA damage-inducible transcript 3 protein, DDIT-3, DDIT3, CHOP-10, CHOP10, CHOP, CCAAT/enhancer-binding protein homologous protein, C/EBP-homologous protein 10, C/EBP-homologous protein, C/EBP zeta |
| Ig Type | IgG1 |
| Clone | 2Y717 |
| Reactivity | Human,Rat,Mouse |
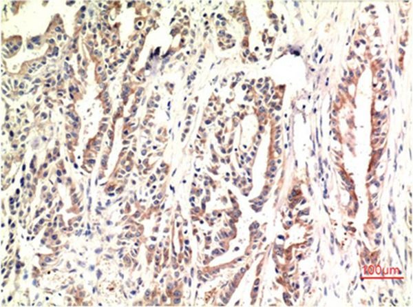
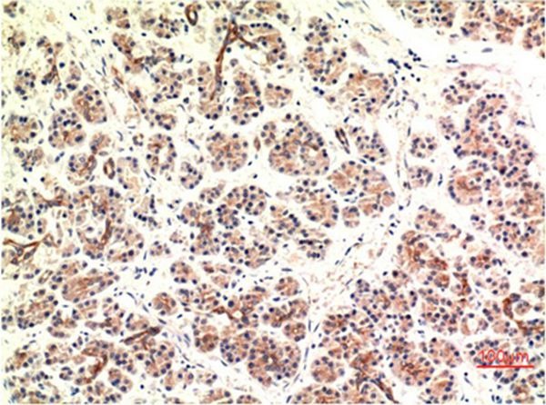
| Verified Activity | 1. Western blot analysis of Mouse Liver Tissue Lysate using CHOP Mouse mAb diluted at 1:2000. 2. Immunohistochemical analysis of paraffin-embedded Human Stomach Carcinoma Tissue using CHOP Mouse mAb diluted at 1:200. 3. Immunohistochemical analysis of paraffin-embedded Human Pancreas Carcinoma Tissue using CHOP Mouse mAb diluted at 1:200. |
| Application | |
| Recommended Dose | WB: 1:1000-2000; IHC: 1:100-200 |
| Antibody Type | Monoclonal |
| Host Species | Mouse |
| Construction | Hybridoma Monoclonal Antibody |
| Appearance | Liquid |
| Formulation | Liquid in PBS containing 50% glycerol, 0.5% BSA and 0.02% sodium azide. |
| Conjucates | Unconjugated |
| Immunogen | A synthesized peptide |
| Uniprot ID |
| Molecular Weight | Theoretical: 27 kDa. |
| Stability & Storage | Store at -20°C or -80°C for 12 months. Avoid repeated freeze-thaw cycles. |
| Transport | Shipping with blue ice. |
| Size | Quantity | Unit Price | Amount | Operation |
|---|

Copyright © 2015-2026 TargetMol Chemicals Inc. All Rights Reserved.