Shopping Cart
Remove All
Your shopping cart is currently empty
Anti-DDB2 Antibody (1O273) is a Rabbit antibody targeting DDB2. Anti-DDB2 Antibody (1O273) can be used in FCM,IHC,WB.
| Pack Size | Price | USA Warehouse | Global Warehouse | Quantity |
|---|---|---|---|---|
| 50 μL | $296 | 7-10 days | 7-10 days | |
| 100 μL | $497 | 7-10 days | 7-10 days |
| Description | Anti-DDB2 Antibody (1O273) is a Rabbit antibody targeting DDB2. Anti-DDB2 Antibody (1O273) can be used in FCM,IHC,WB. |
| Synonyms | UV-DDB 2, UV-damaged DNA-binding protein 2, DNA damage-binding protein 2, DDBb, DDB p48 subunit, DDB 2, Damage-specific DNA-binding protein 2 |
| Ig Type | IgG |
| Clone | 1O273 |
| Reactivity | Human |
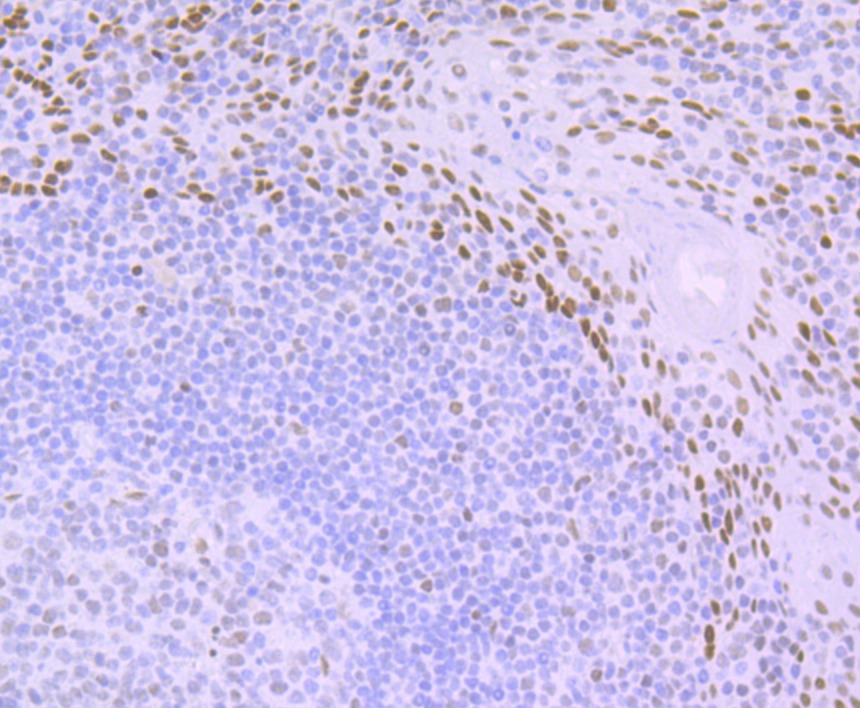
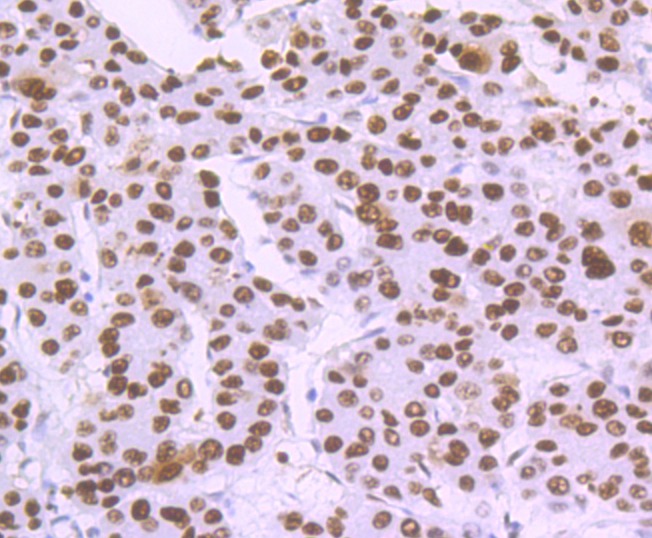
| Verified Activity | 1. Western blot analysis of DDB2 on Daudi cell using anti-DDB2 antibody at 1/1,000 dilution. 2. Immunohistochemical analysis of paraffin-embedded human tonsil tissue using anti-DDB2 antibody. Counter stained with hematoxylin. 3. Immunohistochemical analysis of paraffin-embedded human liver cancer tissue using anti-DDB2 antibody. Counter stained with hematoxylin. 4. Immunohistochemical analysis of paraffin-embedded human skin tissue using anti-DDB2 antibody. Counter stained with hematoxylin. 5. Flow cytometric analysis of A549 cells with DDB2 antibody at 1/100 dilution (purple) compared with an unlabelled control (cells without incubation with primary antibody; yellow). Alexa Fluor 488-conjugated goat anti-rabbit IgG was used as the secondary antibody. ![]() ![]() ![]() ![]() ![]() |
| Application | |
| Recommended Dose | WB: 1:500-2000; IHC: 1:50-200; FCM: 1:50-100 |
| Antibody Type | Monoclonal |
| Host Species | Rabbit |
| Construction | Recombinant Antibody |
| Purification | ProA affinity purified |
| Appearance | Liquid |
| Formulation | 1*TBS (pH7.4), 1%BSA, 40%Glycerol. Preservative: 0.05% Sodium Azide. |
| Research Background | Damaged DNA binding protein (DDB) is a heterodimer composed of two subunits, p127 and p48, which are designated DDB1 and DDB2, respectively. The DDB heterodimer is involved in repairing DNA damaged by ultraviolet light. Specifically, DDB, also designated UV-damaged DNA binding protein (UV-DDB), xeroderma pigmentosum group E binding factor (XPE-BF) and hepatitis B virus X-associated protein 1 (XAP-1), binds to damaged cyclobutane pyrimidine dimers (CPDs). Mutations in the DDB2 gene are implicated as causes of xeroderma pigmentosum group E, an autosomal recessive disease in which patients are defective in nucleotide excision DNA repair. XPE is characterized by hypersensitivity of the skin to sunlight with a high frequency of skin cancer as well as neurologic abnormalities. The hepatitis B virus (HBV) X protein interacts with DDB1, which may mediate HBx transactivation. |
| Conjucates | Unconjugated |
| Immunogen | Recombinant Protein: C-terminal human DDB2 |
| Antigen Species | human |
| Uniprot ID |
| Molecular Weight | Theoretical: 48 kDa. |
| Stability & Storage | Store at -20°C or -80°C for 12 months. Avoid repeated freeze-thaw cycles. |
| Transport | Shipping with blue ice. |
| Size | Quantity | Unit Price | Amount | Operation |
|---|

Copyright © 2015-2026 TargetMol Chemicals Inc. All Rights Reserved.