Shopping Cart
Remove All
Your shopping cart is currently empty
Anti-DAZL Antibody (5I552) is a Rabbit antibody targeting DAZL. Anti-DAZL Antibody (5I552) can be used in IHC,WB.
| Pack Size | Price | USA Warehouse | Global Warehouse | Quantity |
|---|---|---|---|---|
| 50 μL | $297 | 7-10 days | 7-10 days | |
| 100 μL | $497 | 7-10 days | 7-10 days |
| Description | Anti-DAZL Antibody (5I552) is a Rabbit antibody targeting DAZL. Anti-DAZL Antibody (5I552) can be used in IHC,WB. |
| Synonyms | Tpx2, SPGY-like-autosomal, SPGYLA, SPGY like autosomal, Spermatogenesis gene on the Y like autosomal, MGC26406, Germline specific RNA binding protein, Deleted in azoospermia-like 1, Deleted in azoospermia-like, Deleted in azoospermia like autosomal, Deleted in azoospermia like 1, Deleted in azoospermia like, DAZ-like autosomal, DAZLA, DAZL1, DAZL_HUMAN, DAZL 1, DAZL, DAZH, DAZ like autosomal, DAZ homolog |
| Ig Type | IgG |
| Clone | 5I552 |
| Reactivity | Human,Mouse,Rat |
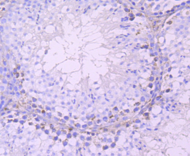
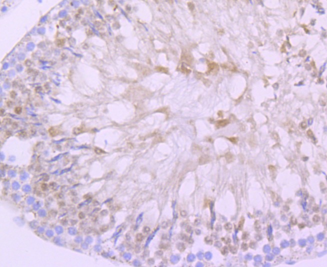
| Verified Activity | 1. Immunohistochemical analysis of paraffin-embedded rat testes tissue using anti-DAZL antibody. Counter stained with hematoxylin. 2. Immunohistochemical analysis of paraffin-embedded mouse testes tissue using anti-DAZL antibody. Counter stained with hematoxylin. ![]() ![]() |
| Application | |
| Recommended Dose | WB: 1:500; IHC: 1:50 |
| Antibody Type | Monoclonal |
| Host Species | Rabbit |
| Construction | Recombinant Antibody |
| Purification | ProA affinity purified |
| Appearance | Liquid |
| Formulation | 1*TBS (pH7.4), 1%BSA, 40%Glycerol. Preservative: 0.05% Sodium Azide. |
| Research Background | DAZL (deleted in azoospermia-like), an RNA-binding protein that effects spermatogenesis, is an autosomal homolog of the Y chromosome DAZ (deleted in azoospermia). The gene encoding human DAZL maps to chromosome locus 3p24. DAZL, like other members of The DAZ family members are included in germ cells in both male and female gonads. A Thr 54-to-Ala mutation within the RNA-recognition domain of DAZL proteins contributes to spermatogenic failure. Infertility in DAZL knockout catisatalities are unable to complete the first meiotic prophase in the first wave of spermatogenesis. |
| Conjucates | Unconjugated |
| Immunogen | Recombinant Protein |
| Uniprot ID |
| Molecular Weight | Theoretical: 33 kDa. |
| Stability & Storage | Store at -20°C or -80°C for 12 months. Avoid repeated freeze-thaw cycles. |
| Transport | Shipping with blue ice. |
| Size | Quantity | Unit Price | Amount | Operation |
|---|

Copyright © 2015-2026 TargetMol Chemicals Inc. All Rights Reserved.