Shopping Cart
Remove All
Your shopping cart is currently empty
Synonyms: TYRO protein tyrosine kinase binding protein, TYOBP, PLOSL, Killer-activating receptor-associated protein, KAR-associated protein, KARAP, DNAX-activation protein 12, DAP12, DAP 12
| Pack Size | Price | USA Stock | Global Stock | Quantity |
|---|---|---|---|---|
| 50 μL | $297 | 7-10 days | 7-10 days | |
| 100 μL | $497 | 7-10 days | 7-10 days |
| Description | Anti-DAP12 Antibody (2G400) is a Rabbit antibody targeting DAP12. Anti-DAP12 Antibody (2G400) can be used in FCM,IHC,WB. |
| Synonyms | TYRO protein tyrosine kinase binding protein, TYOBP, PLOSL, Killer-activating receptor-associated protein, KAR-associated protein, KARAP, DNAX-activation protein 12, DAP12, DAP 12 |
| Ig Type | IgG |
| Clone | 2G400 |
| Reactivity | Human |
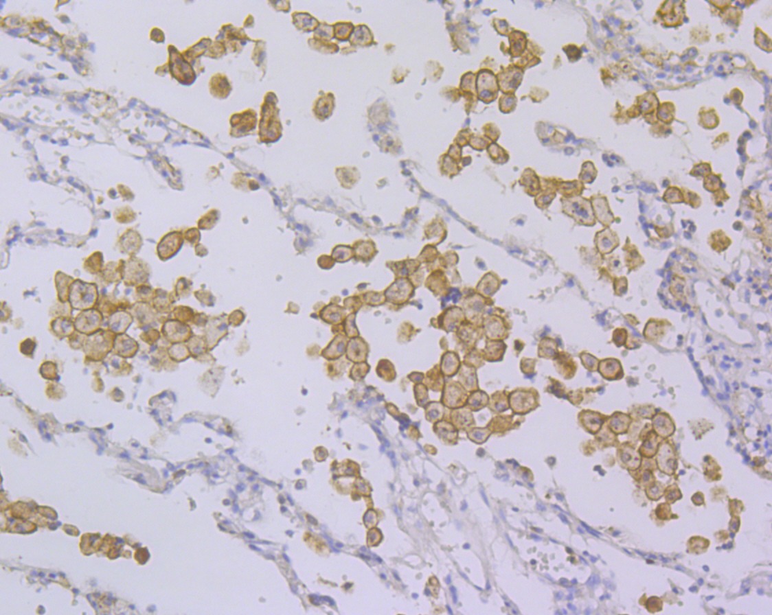
| Verified Activity | 1. Western blot analysis of DAP12 on THP-1 cell using anti-DAP12 antibody at 1/500 dilution. 2. Immunohistochemical analysis of paraffin-embedded human lung cancer tissue using anti-DAP12 antibody. Counter stained with hematoxylin. 3. Flow cytometric analysis of K562 cells with DAP12 antibody at 1/100 dilution (purple) compared with an unlabelled control (cells without incubation with primary antibody; yellow). Alexa Fluor 488-conjugated goat anti-rabbit IgG was used as the secondary antibody. |
| Application | |
| Recommended Dose | WB: 1:500-1000; IHC: 1:50-200; FCM: 1:50-100 |
| Antibody Type | Monoclonal |
| Host Species | Rabbit |
| Construction | Recombinant Antibody |
| Purification | ProA affinity purified |
| Appearance | Liquid |
| Formulation | 1*TBS (pH7.4), 1%BSA, 40%Glycerol. Preservative: 0.05% Sodium Azide. |
| Research Background | Natural killer (NK) cells are regulated by stimulatory and inhibitory signals from a variety of receptors. Three main receptor families are responsible for NK cells recognition of MHC I molecules, including Ly-49, CD94/NKG2 and KIR (killer-cell inhibitory receptor). DAP12 is a phosphoprotein that is involved in the activation of NK cells. This protein interacts with membrane glycoproteins of the KIR family, resulting in cellular activation. DAP12 also binds to CD94/NKG2C, an activating NK cell receptor belonging to the C-type lectin superfamily. Additional proteins that bind to DAP12 include Ly-49D and Ly-49H, which associate with DAP12 in the plasma membrane. Phosphorylated DAP12 binds to ZAP-70 and Syk, suggesting that the activation pathway may be similar to that of the T and B cell antigen receptors. |
| Conjucates | Unconjugated |
| Immunogen | A synthesized peptide: within human DAP12 aa 60-100 |
| Antigen Species | human |
| Uniprot ID |
| Molecular Weight | Theoretical: 12 kDa. |
| Stability & Storage | Store at -20°C or -80°C for 12 months. Avoid repeated freeze-thaw cycles. |
| Transport | Shipping with blue ice. |
| Size | Quantity | Unit Price | Amount | Operation |
|---|

Copyright © 2015-2026 TargetMol Chemicals Inc. All Rights Reserved.