Shopping Cart
Remove All
Your shopping cart is currently empty
Anti-CYP3A4 Antibody (6F122) is a Rabbit antibody targeting CYP3A4. Anti-CYP3A4 Antibody (6F122) can be used in IHC,IP,WB.
| Pack Size | Price | USA Warehouse | Global Warehouse | Quantity |
|---|---|---|---|---|
| 50 μL | $297 | 7-10 days | 7-10 days | |
| 100 μL | $498 | 7-10 days | 7-10 days |
| Description | Anti-CYP3A4 Antibody (6F122) is a Rabbit antibody targeting CYP3A4. Anti-CYP3A4 Antibody (6F122) can be used in IHC,IP,WB. |
| Synonyms | sulfoxide-forming, Quinine 3-monooxygenase, Nifedipine oxidase, Cytochrome P450-PCN1, Cytochrome P450 NF-25, Cytochrome P450 HLp, Cytochrome P450 3A4, Cytochrome P450 3A3, CYPIIIA4, CYPIIIA3, CYP3A3, Cholesterol 25-hydroxylase, Albendazole sulfoxidase, Albendazole monooxygenase, 1,8-cineole 2-exo-monooxygenase, 1,4-cineole 2-exo-monooxygenase |
| Ig Type | IgG |
| Clone | 6F122 |
| Reactivity | Human |
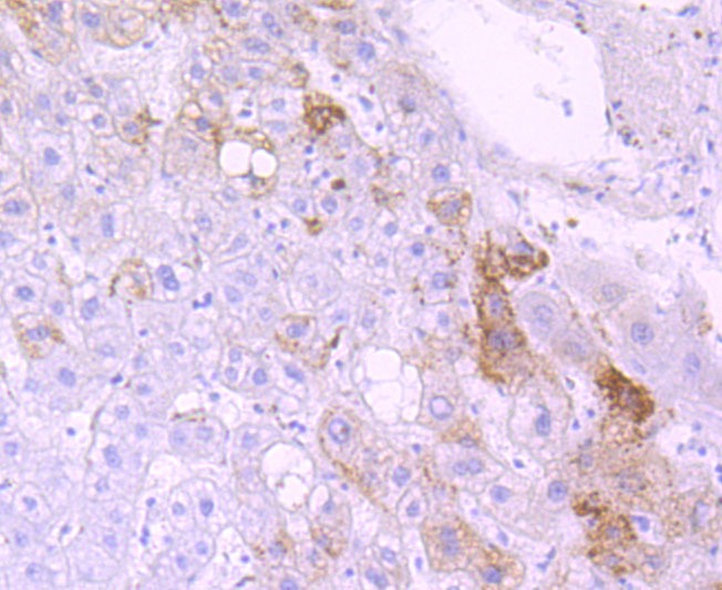
| Verified Activity | 1. Western blot analysis of Cytochrome P450 3A4 on human liver tissue lysate using anti-Cytochrome P450 3A4 antibody at 1/1,000 dilution. 2. Immunohistochemical analysis of paraffin-embedded human liver tissue using anti-Cytochrome P450 3A4 antibody. Counter stained with hematoxylin. ![]() ![]() |
| Application | |
| Recommended Dose | WB: 1:500-1000; IHC: 1:50-200 |
| Antibody Type | Monoclonal |
| Host Species | Rabbit |
| Construction | Recombinant Antibody |
| Purification | ProA affinity purified |
| Appearance | Liquid |
| Formulation | 1*TBS (pH7.4), 1%BSA, 40%Glycerol. Preservative: 0.05% Sodium Azide. |
| Research Background | CYP3A, the most abundant p450 enzyme in human liver, is responsible for the metabolism of more than 50% of the clinical test & lt; RTI ID = 0.0 & gt; (cYP3A) genes encode monooxygenases-enzymes which catalyze drug metabolism and the synthesis of cholesterol, steroids and other lipids. CYP3A family members localize in organs that associate with drug disposition, including the liver, gastrointestinal tract and kidney. The CYP3A cluster maps to gene locus 7q22.1 and consists of four genes (CYP3A4, CYP3A5, CYP3A7 and CYP3A43) and two pseudogenes ( CYP3A4 is abundant in the endoplasmic reticulum of liver cells and upper intestinal enterocytes. CYP3A4 expression is isducible by glucocorticoids pharmacological agents. |
| Conjucates | Unconjugated |
| Immunogen | Recombinant Protein |
| Uniprot ID |
| Molecular Weight | Theoretical: 57 kDa. |
| Stability & Storage | Store at -20°C or -80°C for 12 months. Avoid repeated freeze-thaw cycles. |
| Transport | Shipping with blue ice. |
| Size | Quantity | Unit Price | Amount | Operation |
|---|

Copyright © 2015-2026 TargetMol Chemicals Inc. All Rights Reserved.