Shopping Cart
Remove All
Your shopping cart is currently empty
Anti-CYP17A1 Antibody (1U433) is a Rabbit antibody targeting CYP17A1. Anti-CYP17A1 Antibody (1U433) can be used in FCM,ICC,IF,IHC,WB.
| Pack Size | Price | USA Warehouse | Global Warehouse | Quantity |
|---|---|---|---|---|
| 50 μL | $296 | 7-10 days | 7-10 days | |
| 100 μL | $498 | 7-10 days | 7-10 days |
| Description | Anti-CYP17A1 Antibody (1U433) is a Rabbit antibody targeting CYP17A1. Anti-CYP17A1 Antibody (1U433) can be used in FCM,ICC,IF,IHC,WB. |
| Synonyms | Steroid 17-alpha-monooxygenase, Steroid 17-alpha-hydroxylase/17,20 lyase, S17AH, Cytochrome P450-C17 (Cytochrome P450c17), Cytochrome P450 17A1, CYPXVII, CYP17A1, CYP17, 20 lyase, 17-alpha-hydroxyprogesterone aldolase |
| Ig Type | IgG |
| Clone | 1U433 |
| Reactivity | Human,Mouse,Rat |
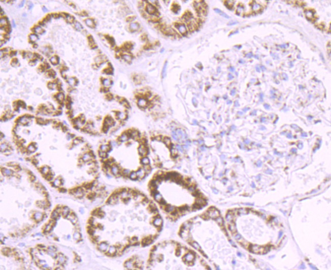
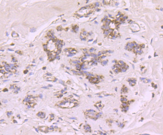
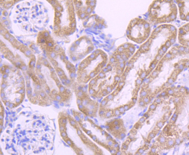
| Verified Activity | 1. Immunohistochemical analysis of paraffin-embedded human breast tissue using anti-Cytochrome P450 17A1 antibody. Counter stained with hematoxylin. 2. Immunohistochemical analysis of paraffin-embedded human kidney tissue using anti-Cytochrome P450 17A1 antibody. Counter stained with hematoxylin. 3. Immunohistochemical analysis of paraffin-embedded mouse kidney tissue using anti-Cytochrome P450 17A1 antibody. Counter stained with hematoxylin. 4. ICC staining Cytochrome P450 17A1 in Hela cells (green). The nuclear counter stain is DAPI (blue). Cells were fixed in paraformaldehyde, permeabilised with 0.25% Triton X100/PBS. 5. ICC staining Cytochrome P450 17A1 in HepG2 cells (green). The nuclear counter stain is DAPI (blue). Cells were fixed in paraformaldehyde, permeabilised with 0.25% Triton X100/PBS. 6. ICC staining Cytochrome P450 17A1 in SH-SY-5Y cells (green). The nuclear counter stain is DAPI (blue). Cells were fixed in paraformaldehyde, permeabilised with 0.25% Triton X100/PBS. 7. Flow cytometric analysis of SH-SY-5Y cells with Cytochrome P450 17A1 antibody at 1/100 dilution (red) compared with an unlabelled control (cells without incubation with primary antibody; black). Alexa Fluor 488-conjugated goat anti-rabbit IgG was used as the secondary antibody. ![]() ![]() ![]() ![]() ![]() ![]() ![]() |
| Application | |
| Recommended Dose | IHC: 1:50-200; ICC: 1:50-200; FCM: 1:50-100 |
| Antibody Type | Monoclonal |
| Host Species | Rabbit |
| Construction | Recombinant Antibody |
| Purification | ProA affinity purified |
| Appearance | Liquid |
| Formulation | 1*TBS (pH7.4), 1%BSA, 40%Glycerol. Preservative: 0.05% Sodium Azide. |
| Research Background | The cytochrome P450 proteins are monooxygenases that catalyze many reactions involved in drug metabolism and synthesis of cholesterol, steroids and other lipids. P450 enzymes are classified into subfamilies, such as CYP1A, CYP2A, CYP2C, CYP2D, CYP4A14, CYP7A, CYP7B, CYP8B, CYP11A, CYP17A1, CYPI9 and CYP27A, based on sequence similarities. CYP17A (17alpha-hydroxylase/17,20-lyase) is important for the conversion of pregnenolone and progesterone to dehydroepiandrosterone (DHEA) and androstenedione. In this process, it catalyzes both the 17-alpha-hydroxylation and the 17,20-lyase reaction. CYP17A1 is crucial during sexual development, both during fetal development and during puberty, and is intracellularly regulated by cAMP levels. Defects in the CYP17A1 gene, which encodes for the protein, may cause adrenal hyperplasia type V (AH-V) which is characterized by hypokalemia and hypertension. Male patients affected by AH-V do not undergo normal sexual differentiation and develop female external genitalia and do not undergo pubertal develoment. |
| Conjucates | Unconjugated |
| Immunogen | Recombinant Protein |
| Uniprot ID |
| Molecular Weight | Theoretical: 57 kDa. |
| Stability & Storage | Store at -20°C or -80°C for 12 months. Avoid repeated freeze-thaw cycles. |
| Transport | Shipping with blue ice. |
| Size | Quantity | Unit Price | Amount | Operation |
|---|

Copyright © 2015-2026 TargetMol Chemicals Inc. All Rights Reserved.