Shopping Cart
Remove All
Your shopping cart is currently empty
Anti-Cyclophilin F Antibody (6E743) is a Rabbit antibody targeting Cyclophilin F. Anti-Cyclophilin F Antibody (6E743) can be used in IHC,IP,WB.
| Pack Size | Price | USA Warehouse | Global Warehouse | Quantity |
|---|---|---|---|---|
| 50 μL | $298 | 7-10 days | 7-10 days | |
| 100 μL | $497 | 7-10 days | 7-10 days |
| Description | Anti-Cyclophilin F Antibody (6E743) is a Rabbit antibody targeting Cyclophilin F. Anti-Cyclophilin F Antibody (6E743) can be used in IHC,IP,WB. |
| Synonyms | peptidylprolyl isomerase F, CyP-M, Cyp-D, CypD, CYP3 |
| Ig Type | IgG |
| Clone | 6E743 |
| Reactivity | Human,Mouse,Rat |
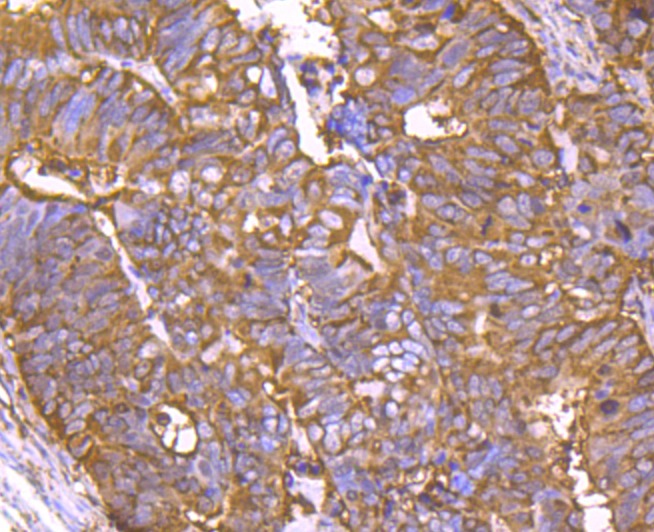
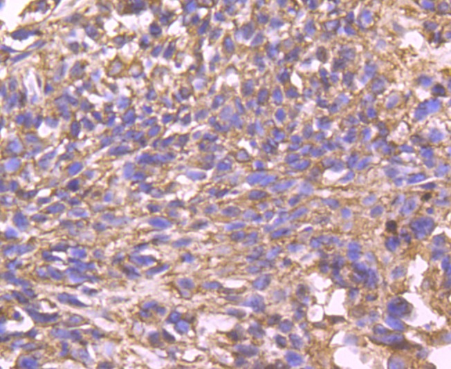
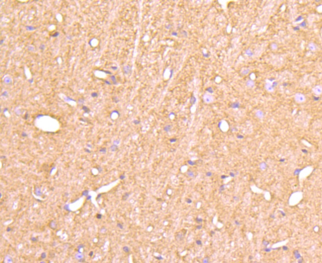
| Verified Activity | 1. Western blot analysis of Cyclophilin F on human heart (1) and human brain (2) tissue lysate using anti-Cyclophilin F antibody at 1/1,000 dilution. 2. Immunohistochemical analysis of paraffin-embedded human colon cancer tissue using anti-Cyclophilin F antibody. Counter stained with hematoxylin. 3. Immunohistochemical analysis of paraffin-embedded human breast cancer tissue using anti-Cyclophilin F antibody. Counter stained with hematoxylin. 4. Immunohistochemical analysis of paraffin-embedded mouse brain tissue using anti-Cyclophilin F antibody. Counter stained with hematoxylin. ![]() ![]() ![]() ![]() |
| Application | |
| Recommended Dose | WB: 1:500-2000; IHC: 1:50-200 |
| Antibody Type | Monoclonal |
| Host Species | Rabbit |
| Construction | Recombinant Antibody |
| Purification | ProA affinity purified |
| Appearance | Liquid |
| Formulation | 1*TBS (pH7.4), 1%BSA, 40%Glycerol. Preservative: 0.05% Sodium Azide. |
| Research Background | Cyclophilins are conserved, ubiquitous and abundant cytosolic peptidyl-prolyl cis-trans isomerases that accelerate the isomerization of XaaPro peptide bonds and the refolding of proteins. Human cyclophilin A (CyPA), an intracellular protein of 165 amino acids, is the target of cyclosporin A (CsA) and is encoded by a single unique gene conserved between yeast to humans. Cyclophilin B (CyPB) is secreted in biological fluids such as blood or milk, and binds to a specific receptor present on human peripheral blood lymphocytes and expressed in Jurkat cells, a line of human lymphoblasts. Cyclophilin D (CyP40) is a widely expressed cytoplasmic protein that catalyzes the cis-trans isomerization of proline imidic peptide bonds in oligopeptides. Cyclophilin F (CyP3), is also known as PPIF, Cyp-D or Rotamase F, is a 207 amino acid mitochondrial matrix protein involved in the induction of necrotic and apoptotic cell death through the activation of the mitochondrial permeability transition (mPT) pore. |
| Conjucates | Unconjugated |
| Immunogen | Recombinant Protein |
| Uniprot ID |
| Molecular Weight | Theoretical: 20 kDa. |
| Stability & Storage | Store at -20°C or -80°C for 12 months. Avoid repeated freeze-thaw cycles. |
| Transport | Shipping with blue ice. |
| Size | Quantity | Unit Price | Amount | Operation |
|---|

Copyright © 2015-2026 TargetMol Chemicals Inc. All Rights Reserved.