Shopping Cart
Remove All
Your shopping cart is currently empty
Anti-Cyclophilin A Antibody (4Y81) is a Rabbit antibody targeting Cyclophilin A. Anti-Cyclophilin A Antibody (4Y81) can be used in IHC,WB.
| Pack Size | Price | USA Warehouse | Global Warehouse | Quantity |
|---|---|---|---|---|
| 50 μL | $297 | 7-10 days | 7-10 days | |
| 100 μL | $496 | 7-10 days | 7-10 days |
| Description | Anti-Cyclophilin A Antibody (4Y81) is a Rabbit antibody targeting Cyclophilin A. Anti-Cyclophilin A Antibody (4Y81) can be used in IHC,WB. |
| Synonyms | peptidylprolyl isomerase A (cyclophilin A), HEL-S-69p, CYPH, CYPA |
| Ig Type | IgG |
| Clone | 4Y81 |
| Reactivity | Human,Mouse,Rat |
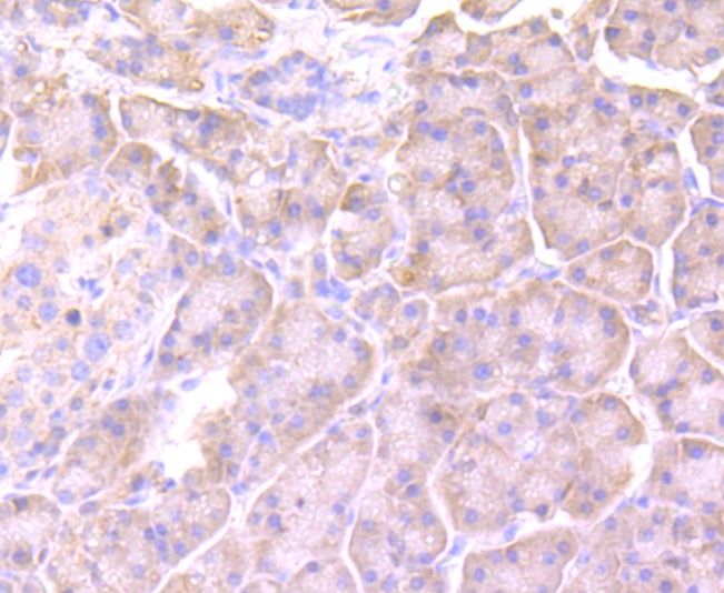
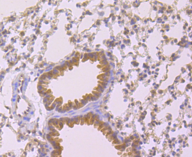
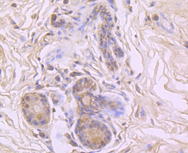
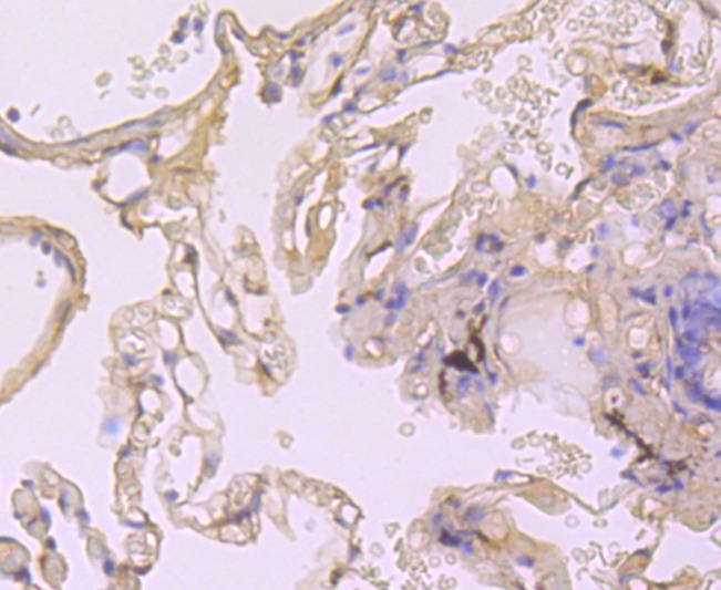
| Verified Activity | 1. Western blot analysis of Cyclophilin A on different cells lysates using anti-Cyclophilin A antibody at 1/1,000 dilution. Positive control: Lane 1: Hela, Lane 2: A431, Lane 3: HepG2. 2. Immunohistochemical analysis of paraffin-embedded human breast carcinoma tissue using anti-Cyclophilin A antibody. Counter stained with hematoxylin. 3. Immunohistochemical analysis of paraffin-embedded human lung tissue using anti-Cyclophilin A antibody. Counter stained with hematoxylin. 4. Immunohistochemical analysis of paraffin-embedded human pancreas tissue using anti-Cyclophilin A antibody. Counter stained with hematoxylin. 5. Immunohistochemical analysis of paraffin-embedded mouse lung tissue using anti-Cyclophilin A antibody. Counter stained with hematoxylin. ![]() ![]() ![]() ![]() ![]() |
| Application | |
| Recommended Dose | WB: 1:1000-5000; IHC: 1:50-200 |
| Antibody Type | Monoclonal |
| Host Species | Rabbit |
| Construction | Recombinant Antibody |
| Purification | ProA affinity purified |
| Appearance | Liquid |
| Formulation | 1*TBS (pH7.4), 1%BSA, 40%Glycerol. Preservative: 0.05% Sodium Azide. |
| Research Background | The immunosuppressant cyclosporin A (CsA) forms a trimolecular complex with cyclophilin and calcineurins to inhibit calcineurin phosphatase activity. Cyclophilins are conserved, ubiquitous and abundant cytosolic peptidyl-prolyl cis-trans isomerases that accelerate the isomerization of XaaPro peptide bonds and the refolding of proteins. Human cyclophilin A (CyPA), an intracellular protein of 165 amino acids, is the target of the CsA and is encoded by a single unique gene conserved from yeast to humans. CyPA is known for its involvement in T cell differentiation and proliferation and is highly expressed in brain. CyPA is incorporated into the virion of the type 1 human immunodeficiency virus (HIV-1) via a direct interaction with the capsid domain of the viral Gag polyprotein and is crucial for efficient viral replication. Cyclophilin B (CyPB) is a member of the cyclophilin family with specific N- and C-terminal extensions. Unlike CyPA, CyPB has a signal sequence leading to its translocation in the endoplasmic reticulum. CyPB is secreted in biological fluids such as blood or milk and binds to a specific receptor present on the human lymphoblastic cell line Jurkat and on human peripheral blood lymphocytes (9,10). |
| Conjucates | Unconjugated |
| Immunogen | Recombinant Protein |
| Uniprot ID |
| Molecular Weight | Theoretical: 18 kDa. |
| Stability & Storage | Store at -20°C or -80°C for 12 months. Avoid repeated freeze-thaw cycles. |
| Transport | Shipping with blue ice. |
| Size | Quantity | Unit Price | Amount | Operation |
|---|

Copyright © 2015-2026 TargetMol Chemicals Inc. All Rights Reserved.