Shopping Cart
Remove All
Your shopping cart is currently empty
Anti-CX3CR1 Polyclonal Antibody is a Rabbit antibody targeting CX3CR1. Anti-CX3CR1 Polyclonal Antibody can be used in FCM,IF,IHC-Fr,IHC-P,WB.
| Pack Size | Price | USA Stock | Global Stock | Quantity |
|---|---|---|---|---|
| 50 μL | $222 | 7-10 days | 7-10 days | |
| 100 μL | $374 | 7-10 days | 7-10 days | |
| 200 μL | $528 | 7-10 days | 7-10 days |
| Description | Anti-CX3CR1 Polyclonal Antibody is a Rabbit antibody targeting CX3CR1. Anti-CX3CR1 Polyclonal Antibody can be used in FCM,IF,IHC-Fr,IHC-P,WB. |
| Synonyms | V28, GPRV28, GPR13, CX3CR1, CMKDR1, CMKBRL1, CCRL1 |
| Ig Type | IgG |
| Reactivity | Mouse,Rat (predicted:Human,Dog,Cow,Rabbit) |
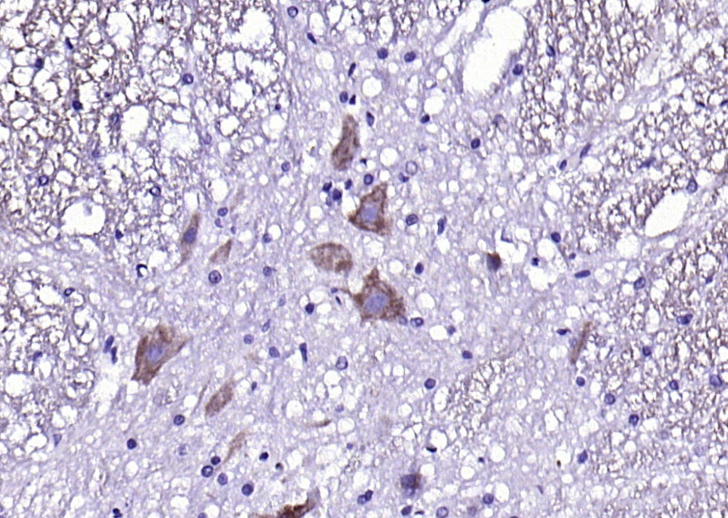
| Verified Activity | 1. Sample: Lane 1: Mouse Spinal cord tissue lysates Lane 2: Mouse Cerebrum tissue lysates Lane 3: Rat Spinal cord tissue lysates Lane 4: Rat Cerebrum tissue lysates Primary: Anti-CX3CR1 (TMAB-00494) at 1/1000 dilution Secondary: IRDye800CW Goat Anti-Rabbit IgG at 1/20000 dilution Predicted band size: 39 kDa Observed band size: 47 kDa 2. Paraformaldehyde-fixed, paraffin embedded (rat spinal cord); Antigen retrieval by boiling in sodium citrate buffer (pH6.0) for 15 min; Block endogenous peroxidase by 3% hydrogen peroxide for 20 min; Blocking buffer (normal goat serum) at 37°C for 30 min; Antibody incubation with (CX3CR1) Polyclonal Antibody, Unconjugated (TMAB-00494) at 1:1000 overnight at 4°C, followed by operating according to SP Kit (Rabbit) instructionsand DAB staining. 3. Blank control: Raw264.7. Primary Antibody (green line): Rabbit Anti-CX3CR1 antibody (TMAB-00494) Dilution: 1 μg/Test; Secondary Antibody: Goat anti-rabbit IgG-FITC Dilution: 0.5 μg/Test. Protocol The cells were incubated in 5% BSA to block non-specific protein-protein interactions for 30 min at room temperature. Cells stained with Primary Antibody for 30 min at room temperature. The secondary antibody used for 40 min at room temperature. 4. Sample: Heart (Mouse) Lysate at 40 μg Heart (Rat) Lysate at 40 μg Primary: Anti-CX3CR1 (TMAB-00494) at 1/1000 dilution Secondary: IRDye800CW Goat Anti-Rabbit IgG at 1/20000 dilution Predicted band size: 50/55 kDa Observed band size: 53 kD ![]() ![]() ![]() ![]() |
| Application | |
| Recommended Dose | WB: 1:500-2000; IHC-P: 1:100-500; IHC-Fr: 1:100-500; IF: 1:100-500; FCM: 1ug/Test |
| Antibody Type | Polyclonal |
| Host Species | Rabbit |
| Subcellular Localization | Cell membrane; Multi-pass membrane protein. |
| Tissue Specificity | Expressed in lymphoid and neural tissues. |
| Construction | Polyclonal Antibody |
| Purification | Protein A purified |
| Appearance | Liquid |
| Formulation | 0.01M TBS (pH7.4) with 1% BSA, 0.02% Proclin300 and 50% Glycerol. |
| Concentration | 1 mg/mL |
| Research Background | Fractalkine is a transmembrane protein and chemokine involved in the adhesion and migration of leukocytes. The protein encoded by this gene is a receptor for fractalkine. The encoded protein also is a coreceptor for HIV-1, and some variations in this gene lead to increased susceptibility to HIV-1 infection and rapid progression to AIDS. Four transcript variants encoding two different isoforms have been found for this gene. [provided by RefSeq, Jan 2010] |
| Immunogen | KLH conjugated synthetic peptide: human CX3CR1 |
| Antigen Species | Human |
| Gene Name | CX3CR1 |
| Gene ID | |
| Protein Name | CX3C chemokine receptor 1 |
| Uniprot ID | |
| Biology Area | Conjugates,Nociception,SARS Coronavirus,Host Virus Interaction,Delta Chemokine Receptors,HIV-related,Cell adhesion |
| Function | Receptor for the CX3C chemokine fractalkine and mediates both its adhesive and migratory functions. Acts as coreceptor with CD4 for HIV-1 virus envelope protein (in vitro). Isoform 2 and isoform 3 seem to be more potent HIV-1 coreceptors than isoform 1. |
| Molecular Weight | Theoretical: 39 kDa. Actual: 47 kDa. |
| Stability & Storage | Store at -20°C or -80°C for 12 months. Avoid repeated freeze-thaw cycles. |
| Transport | Shipping with blue ice. |
| Size | Quantity | Unit Price | Amount | Operation |
|---|

Copyright © 2015-2026 TargetMol Chemicals Inc. All Rights Reserved.