Shopping Cart
Remove All
Your shopping cart is currently empty
Anti-Cullin 2 Antibody (5U128) is a Rabbit antibody targeting Cullin 2. Anti-Cullin 2 Antibody (5U128) can be used in IHC,IP,WB.
| Pack Size | Price | USA Warehouse | Global Warehouse | Quantity |
|---|---|---|---|---|
| 50 μL | $296 | 7-10 days | 7-10 days | |
| 100 μL | $498 | 7-10 days | 7-10 days |
| Description | Anti-Cullin 2 Antibody (5U128) is a Rabbit antibody targeting Cullin 2. Anti-Cullin 2 Antibody (5U128) can be used in IHC,IP,WB. |
| Synonyms | MGC131970, Cullin-2, cullin2, cullin homolog 2, CUL2_HUMAN, CUL-2, Cul2, CUL2, CUL 2 |
| Ig Type | IgG |
| Clone | 5U128 |
| Reactivity | Human,Mouse,Rat |
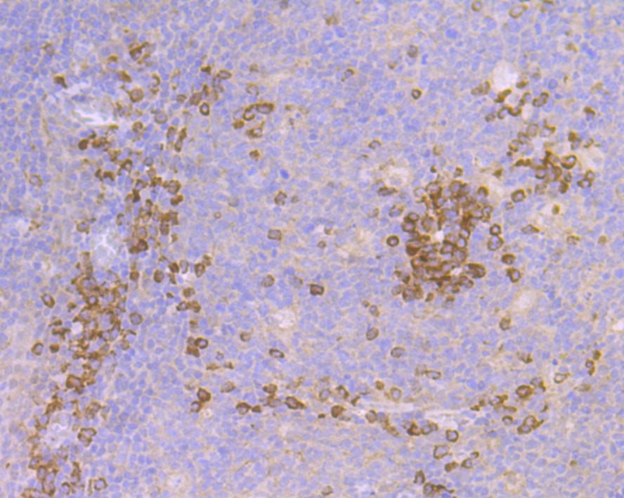
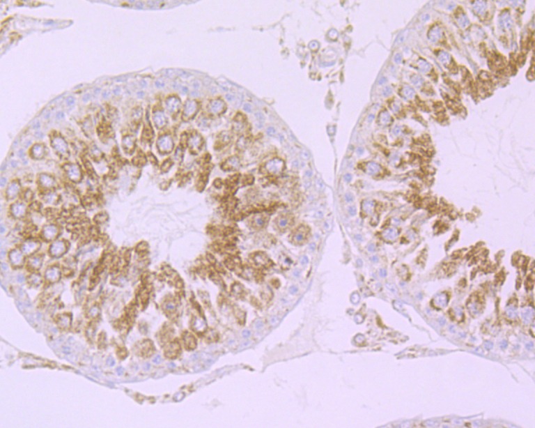
| Verified Activity | 1. Western blot analysis of Cullin 2 on PC-3M and K562 cell lysates using anti-Cullin 2 antibody at 1/1,000 dilution. 2. Immunohistochemical analysis of paraffin-embedded rat testis tissue using anti-Cullin 2 antibody. Counter stained with hematoxylin. 3. Immunohistochemical analysis of paraffin-embedded human tonsil tissue using anti-Cullin 2 antibody. Counter stained with hematoxylin. ![]() ![]() ![]() |
| Application | |
| Recommended Dose | WB: 1:500-2000; IHC: 1:50-200; IP: 1:10-50 |
| Antibody Type | Monoclonal |
| Host Species | Rabbit |
| Construction | Recombinant Antibody |
| Purification | ProA affinity purified |
| Appearance | Liquid |
| Formulation | 1*TBS (pH7.4), 1%BSA, 40%Glycerol. Preservative: 0.05% Sodium Azide. |
| Research Background | Cullin proteins comprise a distinct family of mediators that participate in the selective targeting of proteins for ubiquitin (Ub)-mediated proteolysis. CUL-1, which is the mammalian homolog of yeast Cdc53, is an integral component of the E3 ubiquitin ligase complex designated SCF. The SCF (Skp1/CUL-1/F-box protein complex) consists of Skp1 associating with both CUL-1 and an F-box protein, such as Skp2, which determines the substrate specificity of the complex. CUL-1-mediated ubiquitination results in the degradation of cell cycle proteins cyclin D, p21 and cyclin E. Another cullin, CUL-3, facilitates the degradation of cyclin E independent of SCF activity, while CUL-2 associates with the tumor suppressing protein VHL and elongin B to form VBC complexes, which structurally resemble the SCF ligase. Proteolysis also occurs by way of CUL-4 associating with Nedd-8, a ubiquitin-like protein, where it too functions as an active component of a multifunctional E3 complex. |
| Conjucates | Unconjugated |
| Uniprot ID |
| Molecular Weight | Theoretical: 89 kDa. |
| Stability & Storage | Store at -20°C or -80°C for 12 months. Avoid repeated freeze-thaw cycles. |
| Transport | Shipping with blue ice. |
| Size | Quantity | Unit Price | Amount | Operation |
|---|

Copyright © 2015-2026 TargetMol Chemicals Inc. All Rights Reserved.