Shopping Cart
Remove All
Your shopping cart is currently empty
Anti-CTNNB1 Antibody (2B924) is a Mouse antibody targeting CTNNB1. Anti-CTNNB1 Antibody (2B924) can be used in IHC,WB.
| Pack Size | Price | USA Warehouse | Global Warehouse | Quantity |
|---|---|---|---|---|
| 50 μL | $217 | 7-10 days | 7-10 days | |
| 100 μL | $318 | 7-10 days | 7-10 days |
| Description | Anti-CTNNB1 Antibody (2B924) is a Mouse antibody targeting CTNNB1. Anti-CTNNB1 Antibody (2B924) can be used in IHC,WB. |
| Synonyms | PRO2286, OK/SW-cl.35, NEDSDV, MRD19, EVR7, CTNNB, beta-catenin, armadillo |
| Clone | 2B924 |
| Reactivity | Human,Mouse,Rat |
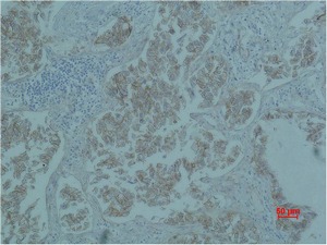
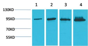
| Verified Activity | 1. Western blot analysis of 1) Hela, 2) 293T, 3) Mouse Liver Tissue, 4) Rat Liver Tissue using Catenin-β Monoclonal Antibody. 2. Immunohistochemical analysis of paraffin-embedded Human Lung caricnoma using Catenin-β Monoclonal Antibody. ![]() ![]() |
| Application | |
| Recommended Dose | WB: 1:1000-2000; IHC: 1:200-500 |
| Antibody Type | Monoclonal |
| Host Species | Mouse |
| Construction | Hybridoma Monoclonal Antibody |
| Purification | The antibody was affinity-purified from antiserum by affinity-chromatography |
| Appearance | Liquid |
| Formulation | Liquid in PBS containing 50% glycerol, 0.5% BSA and 0.02% sodium azide. |
| Conjucates | Unconjugated |
| Immunogen | Recombinant Protein |
| Uniprot ID |
| Molecular Weight | Actual: 92 kDa. |
| Stability & Storage | Store at -20°C or -80°C for 12 months. Avoid repeated freeze-thaw cycles. |
| Transport | Shipping with blue ice. |
| Size | Quantity | Unit Price | Amount | Operation |
|---|

Copyright © 2015-2026 TargetMol Chemicals Inc. All Rights Reserved.