Shopping Cart
Remove All
Your shopping cart is currently empty
Anti-CtBP1 Antibody (2M770) is a Rabbit antibody targeting CtBP1. Anti-CtBP1 Antibody (2M770) can be used in ICC,IF,IHC,IP,WB.
| Pack Size | Price | USA Warehouse | Global Warehouse | Quantity |
|---|---|---|---|---|
| 50 μL | $297 | 7-10 days | 7-10 days | |
| 100 μL | $497 | 7-10 days | 7-10 days |
| Description | Anti-CtBP1 Antibody (2M770) is a Rabbit antibody targeting CtBP1. Anti-CtBP1 Antibody (2M770) can be used in ICC,IF,IHC,IP,WB. |
| Synonyms | MGC104684, C-terminal-binding protein 1, CTBP1_HUMAN, CtBP 1, CTBP, C terminal binding protein 1, brefeldin A- ribosylated substrate, BARS |
| Ig Type | IgG |
| Clone | 2M770 |
| Reactivity | Human,Mouse,Rat |
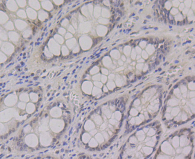
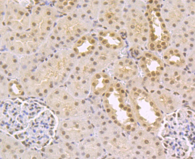
| Verified Activity | 1. Western blot analysis of CtBP1 on PC-3M cell lysate using anti-CtBP1 antibody at 1/1,000 dilution. 2. Immunohistochemical analysis of paraffin-embedded human colon tissue using anti-CtBP1 antibody. Counter stained with hematoxylin. 3. Immunohistochemical analysis of paraffin-embedded rat kidney tissue using anti-CtBP1 antibody. Counter stained with hematoxylin. 4. ICC staining CtBP1 in A549 cells (green). The nuclear counter stain is DAPI (blue). Cells were fixed in paraformaldehyde, permeabilised with 0.25% Triton X100/PBS. ![]() ![]() ![]() ![]() |
| Application | |
| Recommended Dose | WB: 1:500-2000; IHC: 1:50-200; ICC: 1:50-100; IP: 1:10-50 |
| Antibody Type | Monoclonal |
| Host Species | Rabbit |
| Construction | Recombinant Antibody |
| Purification | ProA affinity purified |
| Appearance | Liquid |
| Formulation | 1*TBS (pH7.4), 1%BSA, 40%Glycerol. Preservative: 0.05% Sodium Azide. |
| Research Background | CtBP1 is a cellular phosphoprotein that associates with various proteins and functions as a corepressor of transcription. CtBP1 and the related protein CtBP2 are characterized as C-terminal binding protein of adenovirus E1A, and they preferentially associate with the E1A via a 5-amino acid motif, PLDLS, to repress E1A induced oncogenesis and cellular transformation. CtBP1 is expressed from embryo to adult, but CtBP2 is mainly expressed during embryogenesis. During skeletal and T-cell development, CtBP1 and CtBP2 associate with the PLDLSL domain of δEF1, a cellular zinc finger-homeodomain protein, and thereby enhances δEF1 induced transcriptional silencing. In addition, CtBP complexes with CtIP, a protein that recognizes distinctly different protein motifs from CtBP. CtIP binds to the BRCT repeats within the breast cancer gene BRCA1 and enables CtBP to influence BRCA1 activity. CtIP/CtBP binding to BRCA1 inhibits the transactivation of the p21 promoter, and it is critical for regulating p21 transcription in response to DNA damage. |
| Conjucates | Unconjugated |
| Immunogen | Recombinant Protein: human CtBP1 aa 300-500 |
| Antigen Species | human |
| Uniprot ID |
| Molecular Weight | Theoretical: 47 kDa. |
| Stability & Storage | Store at -20°C or -80°C for 12 months. Avoid repeated freeze-thaw cycles. |
| Transport | Shipping with blue ice. |
| Size | Quantity | Unit Price | Amount | Operation |
|---|

Copyright © 2015-2026 TargetMol Chemicals Inc. All Rights Reserved.