Shopping Cart
Remove All
Your shopping cart is currently empty
Synonyms: Melanoma-associated chondroitin sulfate proteoglycan, Melanoma chondroitin sulfate proteoglycan, MCSP, CSPG4, Chondroitin sulfate proteoglycan NG2, Chondroitin sulfate proteoglycan 4
| Pack Size | Price | USA Stock | Global Stock | Quantity |
|---|---|---|---|---|
| 50 μL | $298 | 7-10 days | 7-10 days | |
| 100 μL | $496 | 7-10 days | 7-10 days |
| Description | Anti-CSPG4 Antibody (2L981) is a Rabbit antibody targeting CSPG4. Anti-CSPG4 Antibody (2L981) can be used in FCM,IHC,WB. |
| Synonyms | Melanoma-associated chondroitin sulfate proteoglycan, Melanoma chondroitin sulfate proteoglycan, MCSP, CSPG4, Chondroitin sulfate proteoglycan NG2, Chondroitin sulfate proteoglycan 4 |
| Ig Type | IgG |
| Clone | 2L981 |
| Reactivity | Human |
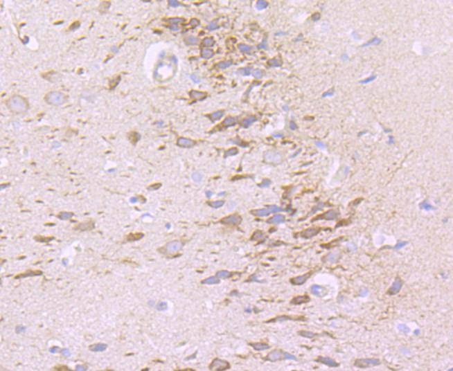
| Verified Activity | 1. Immunohistochemical analysis of paraffin-embedded rat brain tissue using anti-NG2 antibody. Counter stained with hematoxylin. 2. Immunohistochemical analysis of paraffin-embedded mouse brain tissue using anti-NG2 antibody. Counter stained with hematoxylin. 3. Flow cytometric analysis of SHG-44 cells with NG2 antibody at 1/50 dilution (red) compared with an unlabelled control (cells without incubation with primary antibody; black). Alexa Fluor 488-conjugated goat anti rabbit IgG was used as the secondary antibody. |
| Application | |
| Recommended Dose | WB: 1:500-1000; IHC: 1:50-200; FCM: 1:50-100 |
| Antibody Type | Monoclonal |
| Host Species | Rabbit |
| Construction | Recombinant Antibody |
| Purification | ProA affinity purified |
| Appearance | Liquid |
| Formulation | 1*TBS (pH7.4), 1%BSA, 40%Glycerol. Preservative: 0.05% Sodium Azide. |
| Research Background | NG2 (also known as melanoma-associated chondroitin sulfate proteoglycan 4, MCSP, MCSPG, MSK16 and MEL-CSPG) stabilizes cell-substratum interactions during early events of melanoma cell spreading on endothelial basement membranes. NG2 may facilitate primary melanoma progression by enhancing the activation of key signaling pathways important for tumor invasion and growth. Threonine 2256 phosphorylation of rat NG2 (Threonine 2252 phosphorylation of human NG2) leads to redistribution of NG2 on the surface of astrocytomas, polarization of the cell and a significant increase in cell motility. NG2 acts as a co-receptor for spreading and focal contact formation in association with α4 β1 integrin in malignant melanoma cells. NG2 is present on blood vessels throughout the rat embryo. Microvessels within the rat CNS express NG2 on endothelial cells, and outside the CNS, NG2 is present on smooth muscle cells. NG2 is a novel marker for epidermal stem cells that contributes to their patterned distribution by promoting stem cell clustering. |
| Conjucates | Unconjugated |
| Immunogen | Recombinant Protein |
| Uniprot ID |
| Molecular Weight | Theoretical: 251 kDa. |
| Stability & Storage | Store at -20°C or -80°C for 12 months. Avoid repeated freeze-thaw cycles. |
| Transport | Shipping with blue ice. |
| Size | Quantity | Unit Price | Amount | Operation |
|---|

Copyright © 2015-2026 TargetMol Chemicals Inc. All Rights Reserved.