Shopping Cart
Remove All
Your shopping cart is currently empty
Anti-CRYAB Antibody (6W222) is a Rabbit antibody targeting CRYAB. Anti-CRYAB Antibody (6W222) can be used in ICC/IF,IHC,IP,WB.
| Pack Size | Price | USA Warehouse | Global Warehouse | Quantity |
|---|---|---|---|---|
| 50 μL | $296 | 7-10 days | 7-10 days | |
| 100 μL | $498 | 7-10 days | 7-10 days |
| Description | Anti-CRYAB Antibody (6W222) is a Rabbit antibody targeting CRYAB. Anti-CRYAB Antibody (6W222) can be used in ICC/IF,IHC,IP,WB. |
| Synonyms | α-Crystallin B Chain, α(B)-Crystallin, Rosenthal Fiber Component, Renal Carcinoma Antigen NY-REN-27, HspB5, Heat Shock Protein β-5, Heat Shock Protein Beta-5, CRYAB, CRYA2, Alpha-Crystallin B Chain, Alpha(B)-Crystallin |
| Ig Type | IgG |
| Clone | 6W222 |
| Reactivity | Human,Rat |
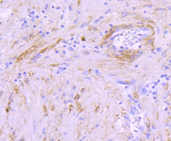
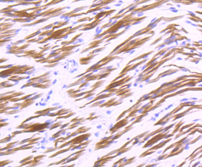
| Verified Activity | 1. Western blot analysis of Alpha B Crystallin on human skeleton musle (1) and mouse heart (2) tissues lysate using anti-Alpha B Crystallin antibody at 1/1,000 dilution. 2. Immunohistochemical analysis of paraffin-embedded human embryonic skeletal muscle tissue using anti-Alpha B Crystallin antibody. Counter stained with hematoxylin. 3. Immunohistochemical analysis of paraffin-embedded human prostate tissue using anti-Alpha B Crystallin antibody. Counter stained with hematoxylin. 4. ICC staining Alpha B Crystallin in Hela cells (green). The nuclear counter stain is DAPI (blue). Cells were fixed in paraformaldehyde, permeabilised with 0.25% Triton X100/PBS. ![]() ![]() ![]() ![]() |
| Application | |
| Recommended Dose | WB: 1:500-2000; IHC: 1:50-200; ICC/IF: 1:50-200; IP: 1:50 |
| Antibody Type | Monoclonal |
| Host Species | Rabbit |
| Construction | Recombinant Antibody |
| Purification | ProA affinity purified |
| Appearance | Liquid |
| Formulation | 1*TBS (pH7.4), 1%BSA, 40%Glycerol. Preservative: 0.05% Sodium Azide. |
| Research Background | Crystallins are the major proteins of the vertebrate eye lens, where they maintain the transparency and refractive index of the lens. Crystallins are divided into α, β and γ families, and the β- and γ-crystallins also compose a superfamily. Crystallins usually contain seven distinct protein regions, inclu-ding four homologous motifs, a connecting peptide, and N- and C-terminal extensions. α-crystallins consist of three gene products, αA-, αB- and αC-crystallin, which are members of the small heat shock protein family (HSP 20). α-crystallins act as molecular chaperones by holding denatured proteins in large soluble aggregates. However, unlike other molecular chaperones, α-crystallins do not renature these proteins. Expression of αA-crystallin is restricted to the lens and defects of this gene cause the development of autosomal dominant congenital cataracts (ADCC). The human αB-crystallin gene product is expressed in many tissues, including lens, heart and skeletal muscle. Elevated expression of αB-crystallin is associated with many neurological diseases, and a missense mutation in this gene has co-segregated in a family with a Desmin-related myopathy. |
| Conjucates | Unconjugated |
| Immunogen | Recombinant Protein |
| Uniprot ID |
| Molecular Weight | Theoretical: 20 kDa. |
| Stability & Storage | Store at -20°C or -80°C for 12 months. Avoid repeated freeze-thaw cycles. |
| Transport | Shipping with blue ice. |
| Size | Quantity | Unit Price | Amount | Operation |
|---|

Copyright © 2015-2026 TargetMol Chemicals Inc. All Rights Reserved.