Shopping Cart
Remove All
Your shopping cart is currently empty
Synonyms: Unc-33-like phosphoprotein 3 (ULIP-3), ULIP3, Inactive dihydropyrimidinase, DRP-1, DPYSL1, Dihydropyrimidinase-related protein 1, CRMP1, Collapsin response mediator protein 1 (CRMP-1)
| Pack Size | Price | USA Stock | Global Stock | Quantity |
|---|---|---|---|---|
| 50 μL | $298 | 7-10 days | 7-10 days | |
| 100 μL | $498 | 7-10 days | 7-10 days |
| Description | Anti-CRMP1 Antibody (1I169) is a Rabbit antibody targeting CRMP1. Anti-CRMP1 Antibody (1I169) can be used in FCM,ICC,IHC,IP,WB. |
| Synonyms | Unc-33-like phosphoprotein 3 (ULIP-3), ULIP3, Inactive dihydropyrimidinase, DRP-1, DPYSL1, Dihydropyrimidinase-related protein 1, CRMP1, Collapsin response mediator protein 1 (CRMP-1) |
| Ig Type | IgG |
| Clone | 1I169 |
| Reactivity | Human,Mouse,Rat |
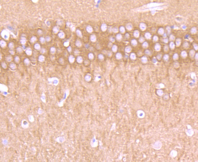
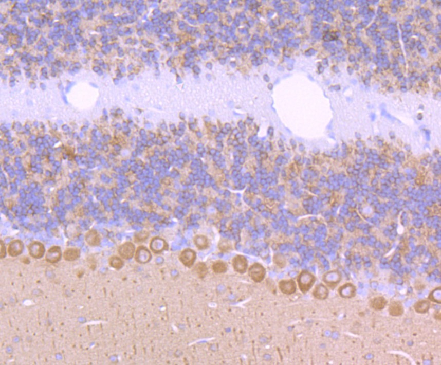
| Verified Activity | 1. Western blot analysis of CRMP1 on mouse brain tissue lysate using anti-CRMP1 antibody at 1/500 dilution. 2. Immunohistochemical analysis of paraffin-embedded rat brain tissue using anti-CRMP1 antibody. Counter stained with hematoxylin. 3. Immunohistochemical analysis of paraffin-embedded mouse brain tissue using anti-CRMP1 antibody. Counter stained with hematoxylin. 4. Immunohistochemical analysis of paraffin-embedded mouse cerebellum tissue using anti-CRMP1 antibody. Counter stained with hematoxylin. 5. ICC staining CRMP1 in N2A cells (green). The nuclear counter stain is DAPI (blue). Cells were fixed in paraformaldehyde, permeabilised with 0.25% Triton X100/PBS. 6. ICC staining CRMP1 in SHG-44 cells (green). The nuclear counter stain is DAPI (blue). Cells were fixed in paraformaldehyde, permeabilised with 0.25% Triton X100/PBS. 7. ICC staining CRMP1 in SH-SY5Y cells (green). The nuclear counter stain is DAPI (blue). Cells were fixed in paraformaldehyde, permeabilised with 0.25% Triton X100/PBS. 8. Flow cytometric analysis of SH-SY-5Y cells with CRMP1 antibody at 1/50 dilution (red) compared with an unlabelled control (cells without incubation with primary antibody; black). Alexa Fluor 488-conjugated goat anti rabbit IgG was used as the secondary antibody. |
| Application | |
| Recommended Dose | WB: 1:500-2000; IHC: 1:50-200; ICC: 1:50-200; FCM: 1:50-100 |
| Antibody Type | Monoclonal |
| Host Species | Rabbit |
| Construction | Recombinant Antibody |
| Purification | ProA affinity purified |
| Appearance | Liquid |
| Formulation | 1*TBS (pH7.4), 1%BSA, 40%Glycerol. Preservative: 0.05% Sodium Azide. |
| Research Background | Collapsin response mediator proteins (CRMPs), including CRMP-1 (DRP-1), CRMP-2 (DRP-2 or TOAD64), CRMP-3 (DRP-4), CRMP-4 (DRP-3) and CRMP-5 (DRP-5), mediate signal transduction after exposure of neural cells to the axon guidance molecule Semaphorin 3A (SEMA3A)/collapsin. CRMPs are present in the developing cerebral cortex and neocortical neurons and are responsive to SEMA3A. In the adult brain, the expression of CRMPs is dramatically downregulated. However, they remain expressed in structures that retain their capacity for differentiation and plasticity. CRMP-1 is also involved in cancer invasion and metastasis. |
| Conjucates | Unconjugated |
| Immunogen | Recombinant Protein |
| Uniprot ID |
| Molecular Weight | Theoretical: 74/62 kDa. |
| Stability & Storage | Store at -20°C or -80°C for 12 months. Avoid repeated freeze-thaw cycles. |
| Transport | Shipping with blue ice. |
| Size | Quantity | Unit Price | Amount | Operation |
|---|

Copyright © 2015-2026 TargetMol Chemicals Inc. All Rights Reserved.