Shopping Cart
Remove All
Your shopping cart is currently empty
Anti-COMT Antibody (7B935) is a Rabbit antibody targeting COMT. Anti-COMT Antibody (7B935) can be used in IHC,WB.
| Pack Size | Price | USA Warehouse | Global Warehouse | Quantity |
|---|---|---|---|---|
| 50 μL | $298 | 7-10 days | 7-10 days | |
| 100 μL | $497 | 7-10 days | 7-10 days |
| Description | Anti-COMT Antibody (7B935) is a Rabbit antibody targeting COMT. Anti-COMT Antibody (7B935) can be used in IHC,WB. |
| Synonyms | HEL-S-98n, catechol-O-methyltransferase |
| Ig Type | IgG |
| Clone | 7B935 |
| Reactivity | Human,Mouse,Rat |
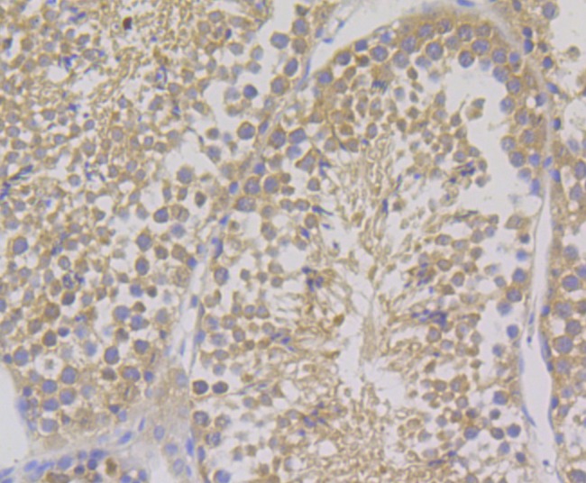
| Verified Activity | 1. Western blot analysis of COMT on MCF-7 cell (1) and rat testis tissue (2) lysate using anti-COMT antibody at 1/2,000 dilution. 2. Immunohistochemical analysis of paraffin-embedded mouse testis tissue using anti-COMT antibody. Counter stained with hematoxylin. ![]() ![]() |
| Application | |
| Recommended Dose | WB: 1:500-2000; IHC: 1:50-100 |
| Antibody Type | Monoclonal |
| Host Species | Rabbit |
| Construction | Recombinant Antibody |
| Purification | ProA affinity purified |
| Appearance | Liquid |
| Formulation | 1*TBS (pH7.4), 1%BSA, 40%Glycerol. Preservative: 0.05% Sodium Azide. |
| Research Background | Catechol-O-methyltransferase (COMT) plays a crucial role in the regulation of central dopaminergic systems by catalyzing the inactivation of catechol-amines. It is widely distributed in most tissues in soluble and membrane-bound forms. COMT-mediated methylation metabolism of catecholamine neurotransmitters is a first-line detoxification pathway. A Val158Met polymorphism of the COMT gene affects activity of the enzyme and influences performance and efficiency of the prefrontal cortex of the brain. Sequential conversion of estradiol to methoxyestradiol by COMT, contributes to the antimitogenic effects of estradiol on vascular smooth muscle cell growth via estrogen receptor-independent mechanisms. |
| Conjucates | Unconjugated |
| Immunogen | Recombinant Protein: C-terminal human COMT |
| Antigen Species | human |
| Uniprot ID |
| Molecular Weight | Theoretical: 24 kDa. |
| Stability & Storage | Store at -20°C or -80°C for 12 months. Avoid repeated freeze-thaw cycles. |
| Transport | Shipping with blue ice. |
| Size | Quantity | Unit Price | Amount | Operation |
|---|

Copyright © 2015-2026 TargetMol Chemicals Inc. All Rights Reserved.