Shopping Cart
Remove All
Your shopping cart is currently empty
Anti-Complement C3 Antibody (4V625) is a Rabbit antibody targeting Complement C3. Anti-Complement C3 Antibody (4V625) can be used in IHC,IP,WB.
| Pack Size | Price | USA Warehouse | Global Warehouse | Quantity |
|---|---|---|---|---|
| 50 μL | $296 | 7-10 days | 7-10 days | |
| 100 μL | $498 | 7-10 days | 7-10 days |
| Description | Anti-Complement C3 Antibody (4V625) is a Rabbit antibody targeting Complement C3. Anti-Complement C3 Antibody (4V625) can be used in IHC,IP,WB. |
| Synonyms | Complement Component C3a, C3a, Anaphylatoxin |
| Ig Type | IgG |
| Clone | 4V625 |
| Reactivity | Human |
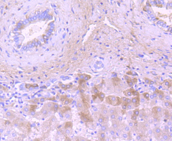
| Verified Activity | 1. Western blot analysis of C3 on SiHa cell lysates using anti-C3 antibody at 1/500 dilution. 2. Immunohistochemical analysis of paraffin-embedded human liver tissue using anti-C3 antibody. Counter stained with hematoxylin. 3. Immunohistochemical analysis of paraffin-embedded human kidney tissue using anti-C3 antibody. Counter stained with hematoxylin. ![]() ![]() ![]() |
| Application | |
| Recommended Dose | WB: 1:500; IHC: 1:50-100; IP: 1:10-50 |
| Antibody Type | Monoclonal |
| Host Species | Rabbit |
| Construction | Recombinant Antibody |
| Purification | ProA affinity purified |
| Appearance | Liquid |
| Formulation | 1*TBS (pH7.4), 1%BSA, 40%Glycerol. Preservative: 0.05% Sodium Azide. |
| Research Background | Complement C3 precursor contains complement C3 beta chain, complement C3 alpha chain, C3a anaphylatoxin, complement C3b alpha chain, complement C3c fragment, complement C3dg fragment, complement C3g fragment, complement C3d fragment and complement C3f fragment. C3a, C4a, and C5a are potent anaphylatoxins that are released during complement activation, a system of ligand-surface protein interactions specific to cells of hematopoietic lineage that aids in the elimination of pathogens. C3a and C5a secretion correlates with pathophysiological phenotypes such as asthma and bacterial meningitis. Binding of these proteins to their respective G protein-coupled receptors (C3aR, C5aR), which are present on the surface of myeloid leukocytes, induces proinflammatory events such as cellular degranulation, smooth muscle contraction, arachidonic acid metabolism, cytokine release, leukocyte activation and cellular chemotaxis. C3aR is expressed in brain and activated B-lymphocytes whereas C5aR is prevalent on the surface of hepatocyte, lung, smooth muscle, and endothelial cells. Upon activation, C3aR and C5aR are susceptible to rapid GRK-mediated phosphorylation and clathrin-coated vesicle targeting. C5aR utilizes the Ras-Raf-ERK1/2 cascade and couples to Gi/G16 proteins. |
| Conjucates | Unconjugated |
| Immunogen | Recombinant Protein |
| Uniprot ID |
| Molecular Weight | Theoretical: 187 kDa. |
| Stability & Storage | Store at -20°C or -80°C for 12 months. Avoid repeated freeze-thaw cycles. |
| Transport | Shipping with blue ice. |
| Size | Quantity | Unit Price | Amount | Operation |
|---|

Copyright © 2015-2026 TargetMol Chemicals Inc. All Rights Reserved.