Shopping Cart
Remove All
Your shopping cart is currently empty
Anti-Collagen II/COL2A1 Antibody (7X334) is a Mouse antibody targeting Collagen II/COL2A1. Anti-Collagen II/COL2A1 Antibody (7X334) can be used in IF,IHC-Fr,IHC-P.
| Pack Size | Price | USA Warehouse | Global Warehouse | Quantity |
|---|---|---|---|---|
| 50 μL | $221 | 7-10 days | 7-10 days | |
| 100 μL | $374 | 7-10 days | 7-10 days | |
| 200 μL | $527 | 7-10 days | 7-10 days |
| Description | Anti-Collagen II/COL2A1 Antibody (7X334) is a Mouse antibody targeting Collagen II/COL2A1. Anti-Collagen II/COL2A1 Antibody (7X334) can be used in IF,IHC-Fr,IHC-P. |
| Synonyms | STL1, SEDC, collagen, type II, α1, collagen, type II, alpha 1, COL11A3, AOM, ANFH |
| Ig Type | IgG |
| Clone | 7X334 |
| Reactivity | Human,Rat (predicted:Mouse) |
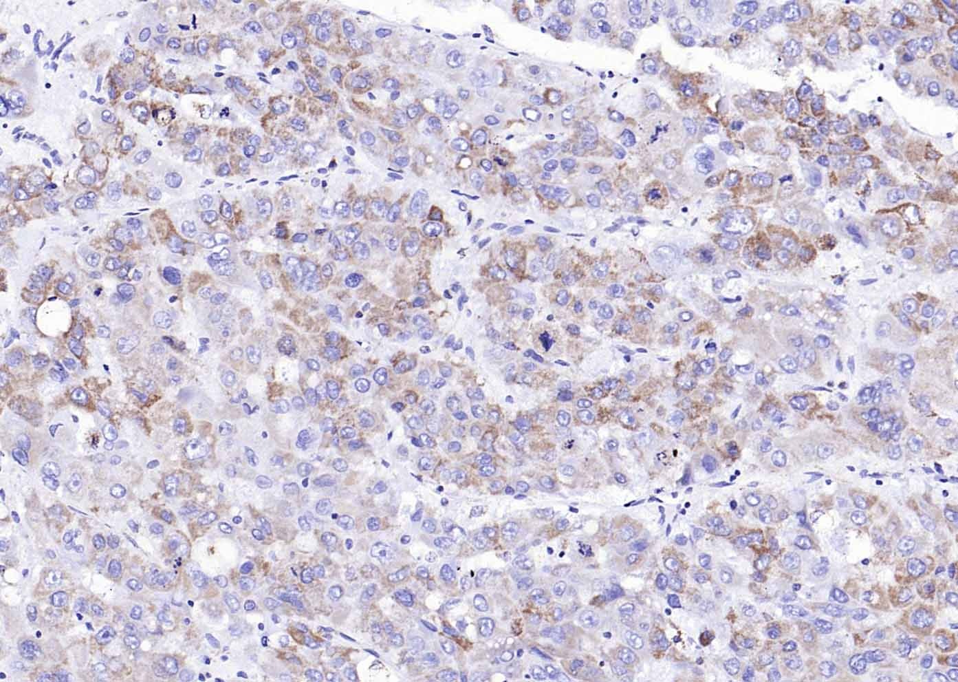
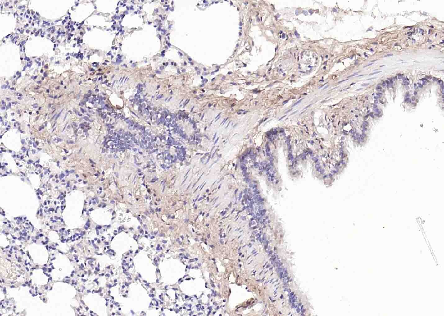
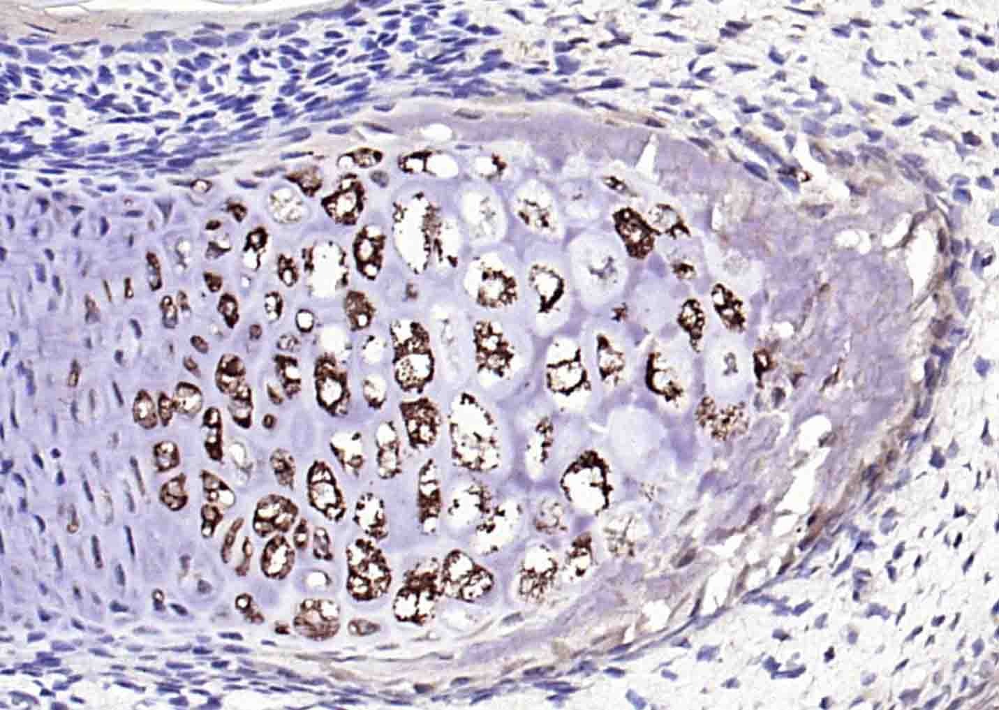
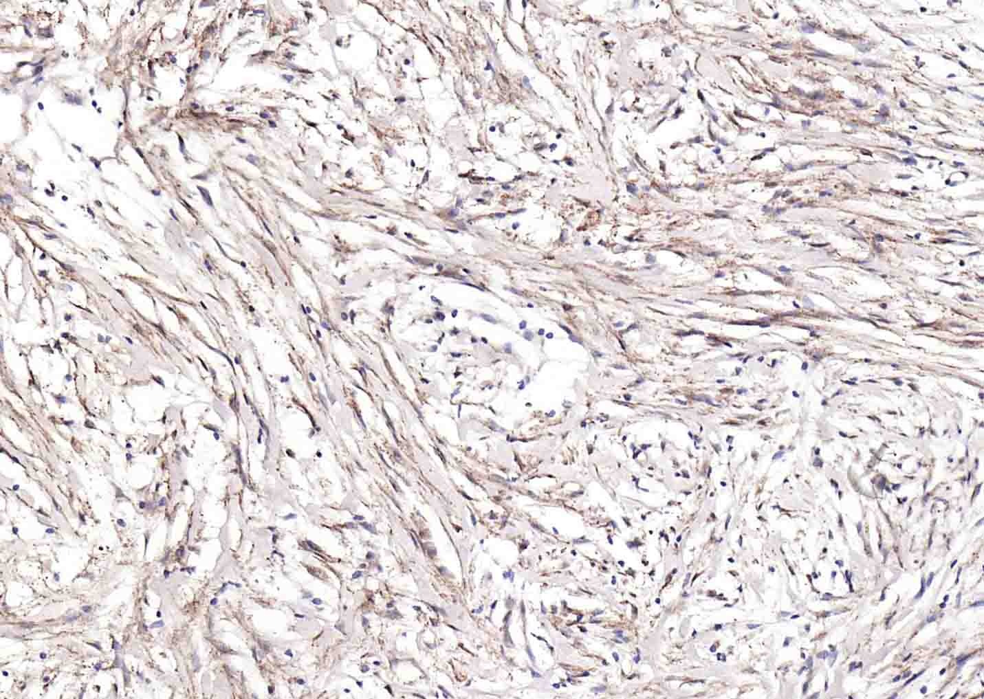
| Verified Activity | 1. Paraformaldehyde-fixed, paraffin embedded (Rat fetal bone); Antigen retrieval by boiling in sodium citrate buffer (pH6.0) for 15 min; Block endogenous peroxidase by 3% hydrogen peroxide for 20 min; Blocking buffer (normal goat serum) at 37°C for 30 min; Antibody incubation with (Collagen II) Monoclonal Antibody, Unconjugated (TMAB-00457) at 1:200 overnight at 4°C, followed by operating according to SP Kit (Mouse) instructionsand DAB staining. 2. Paraformaldehyde-fixed, paraffin embedded (human breast carcinoma); Antigen retrieval by boiling in sodium citrate buffer (pH6.0) for 15 min; Block endogenous peroxidase by 3% hydrogen peroxide for 20 min; Blocking buffer (normal goat serum) at 37°C for 30 min; Antibody incubation with (Collagen II) Monoclonal Antibody, Unconjugated (TMAB-00457) at 1:200 overnight at 4°C, followed by operating according to SP Kit (Mouse) instructionsand DAB staining. 3. Paraformaldehyde-fixed, paraffin embedded (rat lung); Antigen retrieval by boiling in sodium citrate buffer (pH6.0) for 15 min; Block endogenous peroxidase by 3% hydrogen peroxide for 20 min; Blocking buffer (normal goat serum) at 37°C for 30 min; Antibody incubation with (Collagen II) Monoclonal Antibody, Unconjugated (TMAB-00457) at 1:200 overnight at 4°C, followed by operating according to SP Kit (Mouse) instructionsand DAB staining. 4. Paraformaldehyde-fixed, paraffin embedded (human liver carcinoma); Antigen retrieval by boiling in sodium citrate buffer (pH6.0) for 15 min; Block endogenous peroxidase by 3% hydrogen peroxide for 20 min; Blocking buffer (normal goat serum) at 37°C for 30 min; Antibody incubation with (Collagen II) Monoclonal Antibody, Unconjugated (TMAB-00457) at 1:200 overnight at 4°C, followed by operating according to SP Kit (Mouse) instructionsand DAB staining. ![]() ![]() ![]() ![]() |
| Application | |
| Recommended Dose | IHC-P: 1:100-500; IHC-Fr: 1:100-500; IF: 1:100-500 |
| Antibody Type | Monoclonal |
| Host Species | Mouse |
| Subcellular Localization | Secreted, extracellular space, extracellular matrix. |
| Tissue Specificity | Isoform 2 is highly expressed in juvenile chondrocyte and low in fetal chondrocyte. |
| Construction | Hybridoma Monoclonal Antibody |
| Purification | Protein G purified |
| Appearance | Liquid |
| Formulation | 0.01M TBS (pH7.4) with 1% BSA, 0.02% Proclin300 and 50% Glycerol. |
| Concentration | 1 mg/mL |
| Research Background | This gene encodes the alpha-1 chain of type II collagen, a fibrillar collagen found in cartilage and the vitreous humor of the eye. Mutations in this gene are associated with achondrogenesis, chondrodysplasia, early onset familial osteoarthritis, SED congenita, Langer-Saldino achondrogenesis, Kniest dysplasia, Stickler syndrome type I, and spondyloepimetaphyseal dysplasia Strudwick type. In addition, defects in processing chondrocalcin, a calcium binding protein that is the C-propeptide of this collagen molecule, are also associated with chondrodysplasia. There are two transcripts identified for this gene. [provided by RefSeq, Jul 2008] |
| Immunogen | KLH conjugated synthetic peptide: human Collagen II |
| Antigen Species | Human |
| Gene Name | COL2A1 |
| Gene ID | |
| Protein Name | Procollagen Type II N-Terminal Propeptide |
| Uniprot ID | |
| Function | Type II collagen is specific for cartilaginous tissues. It is essential for the normal embryonic development of the skeleton, for linear growth and for the ability of cartilage to resist compressive forces. |
| Molecular Weight | Theoretical: 142 kDa. |
| Stability & Storage | Store at -20°C or -80°C for 12 months. Avoid repeated freeze-thaw cycles. |
| Transport | Shipping with blue ice. |
| Size | Quantity | Unit Price | Amount | Operation |
|---|

Copyright © 2015-2025 TargetMol Chemicals Inc. All Rights Reserved.