Shopping Cart
Remove All
Your shopping cart is currently empty
Synonyms: STL1, SEDC, collagen, type II, α1, collagen, type II, alpha 1, COL11A3, AOM, ANFH

| Pack Size | Price | USA Stock | Global Stock | Quantity |
|---|---|---|---|---|
| 50 μL | $216 | 7-10 days | 7-10 days | |
| 100 μL | $317 | 7-10 days | 7-10 days |
| Description | Anti-Collagen II/COL2A1 Antibody (1R829) is a Mouse antibody targeting Collagen II/COL2A1. Anti-Collagen II/COL2A1 Antibody (1R829) can be used in IHC. |
| Synonyms | STL1, SEDC, collagen, type II, α1, collagen, type II, alpha 1, COL11A3, AOM, ANFH |
| Ig Type | IgG1 |
| Clone | 1R829 |
| Reactivity | Human,Mouse,Rat |
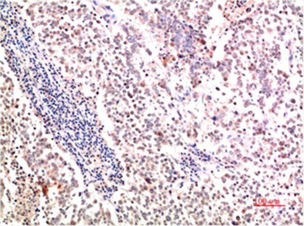
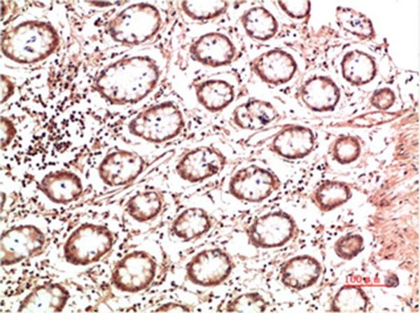
| Verified Activity | 1. Immunohistochemical analysis of paraffin-embedded Human Colon Carcinoma Tissue using Collagen II Mouse mAb diluted at 1:500. 2. Immunohistochemical analysis of paraffin-embedded Human Colon Carcinoma Tissue using Collagen II Mouse mAb diluted at 1:500. 3. Immunohistochemical analysis of paraffin-embedded Human Lung Carcinoma Tissue using Collagen II Mouse mAb diluted at 1:500. |
| Application | |
| Recommended Dose | IHC: 1:50-200 |
| Antibody Type | Monoclonal |
| Host Species | Mouse |
| Construction | Hybridoma Monoclonal Antibody |
| Appearance | Liquid |
| Formulation | Liquid in PBS containing 50% glycerol, 0.5% BSA and 0.02% sodium azide. |
| Conjucates | Unconjugated |
| Immunogen | A synthesized peptide: Collagen II |
| Molecular Weight | Theoretical: 142 kDa. |
| Stability & Storage | Store at -20°C or -80°C for 12 months. Avoid repeated freeze-thaw cycles. |
| Transport | Shipping with blue ice. |
| Size | Quantity | Unit Price | Amount | Operation |
|---|

Copyright © 2015-2026 TargetMol Chemicals Inc. All Rights Reserved.