Shopping Cart
Remove All
Your shopping cart is currently empty
Anti-CNR1 Polyclonal Antibody is a Rabbit antibody targeting CNR1. Anti-CNR1 Polyclonal Antibody can be used in IF, IHC-Fr, IHC-P, WB.
| Pack Size | Price | USA Stock | Global Stock | Quantity |
|---|---|---|---|---|
| 50 μL | $220 | 7-10 days | 7-10 days | |
| 100 μL | $373 | 7-10 days | 7-10 days | |
| 200 μL | $528 | 7-10 days | 7-10 days |
| Description | Anti-CNR1 Polyclonal Antibody is a Rabbit antibody targeting CNR1. Anti-CNR1 Polyclonal Antibody can be used in IF, IHC-Fr, IHC-P, WB. |
| Ig Type | IgG |
| Reactivity | Rat (predicted:Human,Mouse,Dog,Pig,Cow,Horse,Rabbit,GuineaPig) |
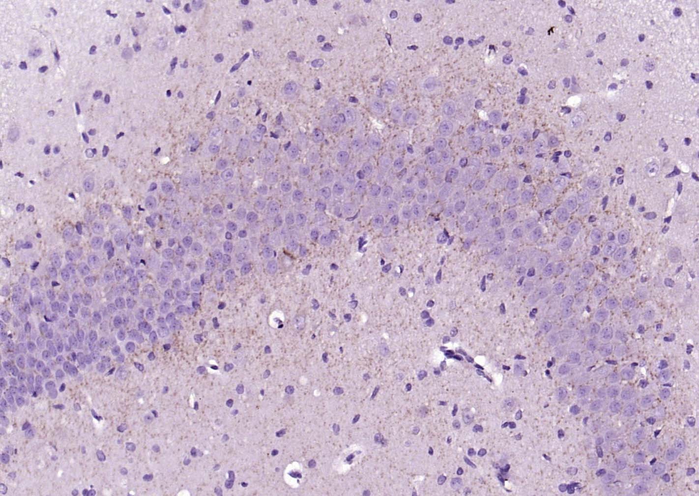
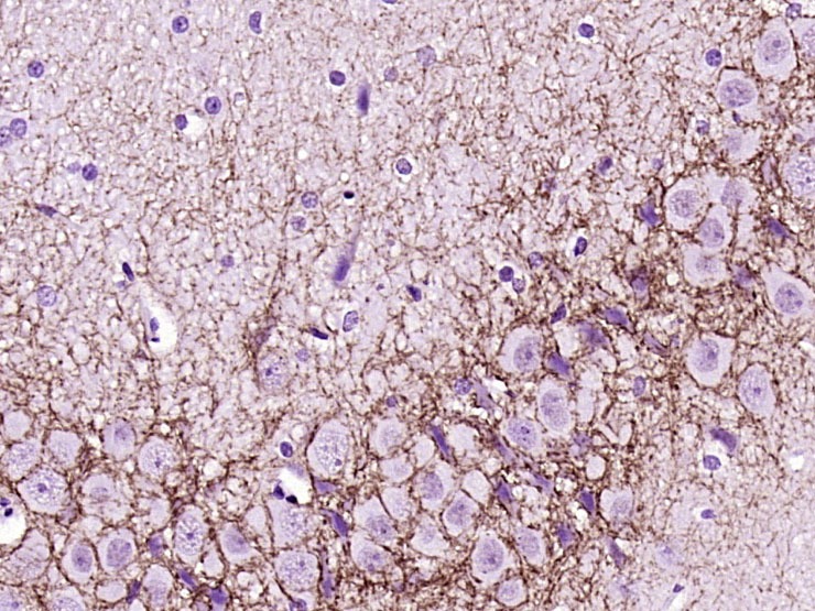
| Verified Activity | 1. Paraformaldehyde-fixed, paraffin embedded (Rat brain); Antigen retrieval by boiling in sodium citrate buffer (pH6.0) for 15 min; Block endogenous peroxidase by 3% hydrogen peroxide for 20 min; Blocking buffer (normal goat serum) at 37°C for 30 min; Antibody incubation with (CNR1) Polyclonal Antibody, Unconjugated (TMAB-00452) at 1:500 overnight at 4°C, followed by a conjugated secondary for 20 min and DAB staining. 2. Sample: Cerebrum (Rat) Lysate at 40 μg Primary: Anti-CNR1 (TMAB-00452) at 1/1000 dilution Secondary: IRDye800CW Goat Anti-Rabbit IgG at 1/20000 dilution Predicted band size: 52 kDa Observed band size: 52 kDa 3. Negative sample: Paraformaldehyde-fixed, paraffin embedded (rat liver);Antigen retrieval by boiling in sodium citrate buffer (pH6.0) for 15 min;Paraformaldehyde-fixed, paraffin embedded (rat liver); Antigen retrieval by boiling in sodium citrate buffer (pH6.0) for 15 min; Block endogenous peroxidase by 3% hydrogen peroxide for 20 min; Blocking buffer (normal goat serum) at 37°C for 30 min; Incubation with (CNR1) Polyclonal Antibody, Unconjugated (TMAB-00452) at 1:200 overnight at 4°C, followed by operating according to SP Kit (Rabbit) instructionsand DAB staining. 4. Paraformaldehyde-fixed, paraffin embedded (Rat hippocampus); Antigen retrieval by boiling in sodium citrate buffer (pH6.0) for 15 min; Block endogenous peroxidase by 3% hydrogen peroxide for 20 min; Blocking buffer (normal goat serum) at 37°C for 30 min; Incubation with (CNR1) Polyclonal Antibody, Unconjugated (TMAB-00452) at 1:200 overnight at 4°C, followed by operating according to SP Kit (Rabbit) instructionsand DAB staining. ![]() ![]() ![]() ![]() |
| Application | |
| Recommended Dose | WB: 1:500-2000; IHC-P: 1:100-500; IHC-Fr: 1:100-500; IF: 1:100-500 |
| Antibody Type | Polyclonal |
| Host Species | Rabbit |
| Subcellular Localization | Cell membrane. |
| Tissue Specificity | Widely expressed. |
| Construction | Polyclonal Antibody |
| Purification | Protein A purified |
| Appearance | Liquid |
| Formulation | 0.01M TBS (pH7.4) with 1% BSA, 0.02% Proclin300 and 50% Glycerol. |
| Concentration | 1 mg/mL |
| Research Background | This gene encodes one of two cannabinoid receptors. The cannabinoids, principally delta-9-tetrahydrocannabinol and synthetic analogs, are psychoactive ingredients of marijuana. The cannabinoid receptors are members of the guanine-nucleotide-binding protein (G-protein) coupled receptor family, which inhibit adenylate cyclase activity in a dose-dependent, stereoselective and pertussis toxin-sensitive manner. The two receptors have been found to be involved in the cannabinoid-induced CNS effects (including alterations in mood and cognition) experienced by users of marijuana. Multiple transcript variants encoding two different protein isoforms have been described for this gene. [provided by RefSeq, May 2009] |
| Immunogen | KLH conjugated synthetic peptide: human CNR-1 |
| Antigen Species | Human |
| Gene Name | CNR1 |
| Gene ID | |
| Protein Name | Cannabinoid receptor 1 |
| Biology Area | Lipoprotein metabolism,Cholesterol Metabolism,Cholesterol Metabolism,Lipoprotein metabolism,Heart disease,Cannabinoid Receptor |
| Function | Involved in cannabinoid-induced CNS effects. Acts by inhibiting adenylate cyclase. Could be a receptor for anandamide. Inhibits L-type Ca(2+) channel current. Isoform 2 and isoform 3 have altered ligand binding. |
| Molecular Weight | Theoretical: 52 kDa. Actual: 52 kDa. |
| Stability & Storage | Store at -20°C or -80°C for 12 months. Avoid repeated freeze-thaw cycles. |
| Transport | Shipping with blue ice. |
| Size | Quantity | Unit Price | Amount | Operation |
|---|

Copyright © 2015-2026 TargetMol Chemicals Inc. All Rights Reserved.