Shopping Cart
Remove All
Your shopping cart is currently empty
Anti-CNN1 Antibody (5Y848) is a Rabbit antibody targeting CNN1. Anti-CNN1 Antibody (5Y848) can be used in ICC/IF,IHC,WB.
| Pack Size | Price | USA Warehouse | Global Warehouse | Quantity |
|---|---|---|---|---|
| 50 μL | $297 | 7-10 days | 7-10 days | |
| 100 μL | $497 | 7-10 days | 7-10 days |
| Description | Anti-CNN1 Antibody (5Y848) is a Rabbit antibody targeting CNN1. Anti-CNN1 Antibody (5Y848) can be used in ICC/IF,IHC,WB. |
| Synonyms | smooth muscle, SMCC, Sm Calp, HEL S 14, Epididymis secretory protein Li 14, CNN 1, Calponins basic, Calponin-1, Calponin1, Calponin H1 smooth muscle, Calponin H1, Calponin 1 basic smooth muscle, Basic calponin |
| Ig Type | IgG |
| Clone | 5Y848 |
| Reactivity | Human,Mouse,Rat,Dog,Pig |
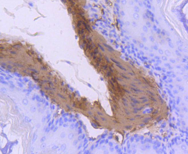
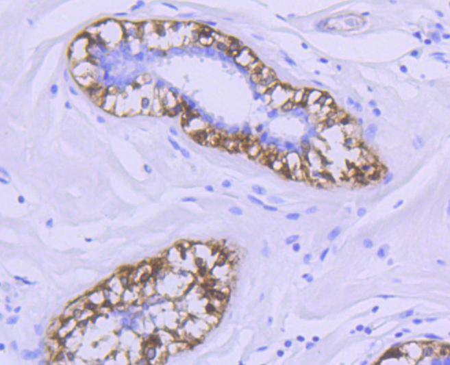
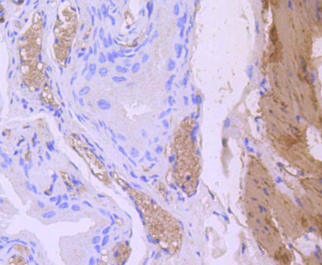
| Verified Activity | 1. Western blot analysis of Calponin on Hela cell lysates using anti-Calponin antibody at 1/1,000 dilution. 2. Immunohistochemical analysis of paraffin-embedded human breast tissue using anti-Calponin antibody. Counter stained with hematoxylin. 3. Immunohistochemical analysis of paraffin-embedded mouse bladder tissue using anti-Calponin antibody. Counter stained with hematoxylin. 4. Immunohistochemical analysis of paraffin-embedded mouse stomach tissue using anti-Calponin antibody. Counter stained with hematoxylin. 5. Immunohistochemical analysis of paraffin-embedded mouse heart tissue using anti-Calponin antibody. Counter stained with hematoxylin. 6. ICC staining Calponin in HepG2 cells (green). The nuclear counter stain is DAPI (blue). Cells were fixed in paraformaldehyde, permeabilised with 0.25% Triton X100/PBS. ![]() ![]() ![]() ![]() ![]() ![]() |
| Application | |
| Recommended Dose | WB: 1:1000-2000; IHC: 1:50-200; ICC/IF: 1:50-200 |
| Antibody Type | Monoclonal |
| Host Species | Rabbit |
| Construction | Recombinant Antibody |
| Purification | ProA affinity purified |
| Appearance | Liquid |
| Formulation | 1*TBS (pH7.4), 1%BSA, 40%Glycerol. Preservative: 0.05% Sodium Azide. |
| Research Background | Calponin regulates smooth muscle cell contraction and is a marker of smooth muscle cell differentiation. Calponin, an Actin- and Tropomyosin-binding protein, is characterized as an inhibitory factor of smooth-muscle actomyosin activity. Calponin is implicated in the regulation of smooth muscle contraction through its interaction with F-Actin and inhibition of the Actin-activated MgATPase activity of phosphorylated Myosin. Both properties are lost following phosphorylation (primarily at Serine 175) by protein kinase C or calmodulin-dependent protein kinase II. The three forms of Calponin, Calponin 1 (basic Calponin), Calponin 2 (neutral Calponin) and Calponin 3 (acidic Calponin), are found in smooth muscle tissue. Additionally, Calponin 2 is found in heart muscle tissue and Calponin 3 is found in the brain. |
| Conjucates | Unconjugated |
| Immunogen | Recombinant Protein |
| Uniprot ID |
| Molecular Weight | Theoretical: 33 kDa. |
| Stability & Storage | Store at -20°C or -80°C for 12 months. Avoid repeated freeze-thaw cycles. |
| Transport | Shipping with blue ice. |
| Size | Quantity | Unit Price | Amount | Operation |
|---|

Copyright © 2015-2026 TargetMol Chemicals Inc. All Rights Reserved.