Shopping Cart
Remove All
Your shopping cart is currently empty
Anti-CLEC3B Antibody (6K126) is a Rabbit antibody targeting CLEC3B. Anti-CLEC3B Antibody (6K126) can be used in ICC,IF,IHC,IP,WB.
| Pack Size | Price | USA Warehouse | Global Warehouse | Quantity |
|---|---|---|---|---|
| 50 μL | $296 | 7-10 days | 7-10 days | |
| 100 μL | $498 | 7-10 days | 7-10 days |
| Description | Anti-CLEC3B Antibody (6K126) is a Rabbit antibody targeting CLEC3B. Anti-CLEC3B Antibody (6K126) can be used in ICC,IF,IHC,IP,WB. |
| Synonyms | Tetranectin, Plasminogen kringle 4-binding protein, C-type lectin domain family 3 member B |
| Ig Type | IgG |
| Clone | 6K126 |
| Reactivity | Human,Mouse,Rat |
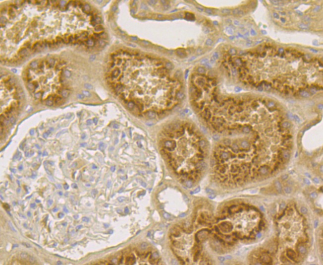
| Verified Activity | 1. Western blot analysis of Tetranectin on rat skin (1) and human skin (2) tissue lysates using anti-Tetranectin antibody at 1/1,000 dilution. 2. Immunohistochemical analysis of paraffin-embedded human liver cancer tissue using anti-Tetranectin antibody. Counter stained with hematoxylin. 3. Immunohistochemical analysis of paraffin-embedded human kidney tissue using anti-Tetranectin antibody. Counter stained with hematoxylin. 4. ICC staining Tetranectin in HepG2 cells (green). The nuclear counter stain is DAPI (blue). Cells were fixed in paraformaldehyde, permeabilised with 0.25% Triton X100/PBS. 5. ICC staining Tetranectin in MCF-7 cells (green). The nuclear counter stain is DAPI (blue). Cells were fixed in paraformaldehyde, permeabilised with 0.25% Triton X100/PBS. ![]() ![]() ![]() ![]() ![]() |
| Application | |
| Recommended Dose | WB: 1:1000-5000; IHC: 1:50-200; ICC: 1:50-200; IP: 1:10-50 |
| Antibody Type | Monoclonal |
| Host Species | Rabbit |
| Construction | Recombinant Antibody |
| Purification | ProA affinity purified |
| Appearance | Liquid |
| Formulation | 1*TBS (pH7.4), 1%BSA, 40%Glycerol. Preservative: 0.05% Sodium Azide. |
| Research Background | Tetranectin is a homotrimeric glycoprotein present in plasma and various tissue locations that binds to calcium, heparin, and plasminogen kringle 4. Tetranectin may play a prominent role in tissue remodeling as well as in the regulation of proteolytic processes via its binding and indirect activation of plasminogen. Tetranectin is found in the extracellular matrix (ECM) of certain carcinomas, but is not present in the ECM of normal tissues. Extracellular proteolysis is an important factor in the ability of malignant cells to penetrate normal tissues and metastasize. Decreased plasma tetranectin or increased tetranectin in stroma of cancers correlates with cancer progression and a grim prognosis. Tetranectin may also influence cancer growth by altering activities of plasminogen or the plasminogen fragment, angiostatin which inhibits tumor cell proliferation. |
| Conjucates | Unconjugated |
| Uniprot ID |
| Molecular Weight | Theoretical: 22 kDa. |
| Stability & Storage | Store at -20°C or -80°C for 12 months. Avoid repeated freeze-thaw cycles. |
| Transport | Shipping with blue ice. |
| Size | Quantity | Unit Price | Amount | Operation |
|---|

Copyright © 2015-2026 TargetMol Chemicals Inc. All Rights Reserved.