Shopping Cart
Remove All
Your shopping cart is currently empty
Anti-Claudin-5 Antibody (7Z609) is a Rabbit antibody targeting Claudin-5. Anti-Claudin-5 Antibody (7Z609) can be used in IHC,WB.
| Pack Size | Price | USA Warehouse | Global Warehouse | Quantity |
|---|---|---|---|---|
| 50 μL | $296 | 7-10 days | 7-10 days | |
| 100 μL | $498 | 7-10 days | 7-10 days |
| Description | Anti-Claudin-5 Antibody (7Z609) is a Rabbit antibody targeting Claudin-5. Anti-Claudin-5 Antibody (7Z609) can be used in IHC,WB. |
| Synonyms | Transmembrane protein deleted in VCFS, TMDVCF, CLDN5, Claudin5, AWAL TMVCF |
| Ig Type | IgG |
| Clone | 7Z609 |
| Reactivity | Human |
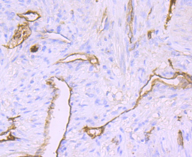
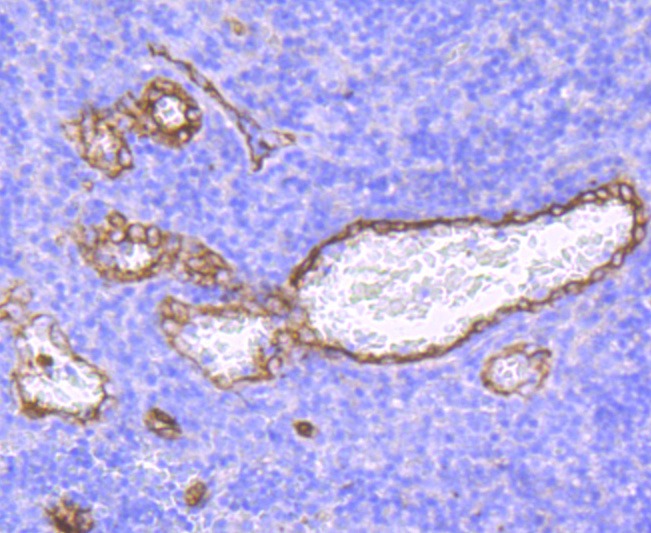
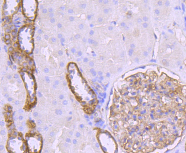
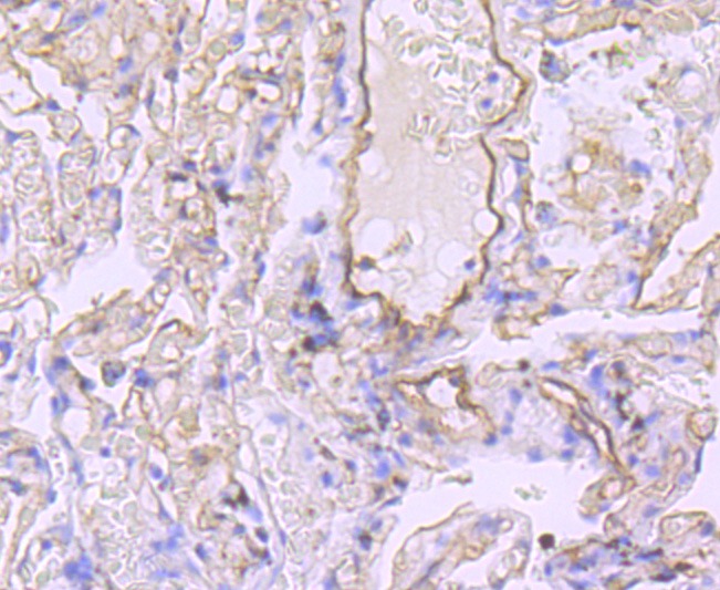
| Verified Activity | 1. Western blot analysis of Claudin 5 on human lung cells lysates using anti-Claudin 5 antibody at 1/500 dilution. 2. Immunohistochemical analysis of paraffin-embedded human tonsil tissue using anti-Claudin 5 antibody. Counter stained with hematoxylin. 3. Immunohistochemical analysis of paraffin-embedded human kidney tissue using anti-Claudin 5 antibody. Counter stained with hematoxylin. 4. Immunohistochemical analysis of paraffin-embedded human lung tissue using anti-Claudin 5 antibody. Counter stained with hematoxylin. 5. Immunohistochemical analysis of paraffin-embedded human uterus tissue using anti-Claudin 5 antibody. Counter stained with hematoxylin. ![]() ![]() ![]() ![]() ![]() |
| Application | |
| Recommended Dose | WB: 1:2000-5000; IHC: 1:50-200 |
| Antibody Type | Monoclonal |
| Host Species | Rabbit |
| Construction | Recombinant Antibody |
| Purification | ProA affinity purified |
| Appearance | Liquid |
| Formulation | 1*TBS (pH7.4), 1%BSA, 40%Glycerol. Preservative: 0.05% Sodium Azide. |
| Research Background | The claudin superfamily consists of many structurally related proteins in humans. These proteins are important structural and functional components of tight junctions in paracellular transport. Claudins are located in both epithelial and endothelial cells in all tight junction-bearing tissues. Three classes of proteins are known to localize to tight junctions, including the claudins, Occludin and Junction adhesion molecule. Claudins, which consist of four transmembrane domains and two extracellular loops make up tight junction strands. Claudin expression is highly restricted to specfic regions of different tissues and may have an important role in transcellular transport through tight junctions. Claudin-5 is expressed in the endothelial junctions of the rat liver and in junctions of acinar cells of the pancreas. Human Claudin-5 is abundantly expressed in adult lung, heart and skeletal muscle and is deleted in patients with velocardiofacial syndrone, which is characterized by cleft palate, facial dysmorphology and conotruncal heart defects. |
| Conjucates | Unconjugated |
| Immunogen | Recombinant Protein |
| Uniprot ID |
| Molecular Weight | Theoretical: 24 kDa. |
| Stability & Storage | Store at -20°C or -80°C for 12 months. Avoid repeated freeze-thaw cycles. |
| Transport | Shipping with blue ice. |
| Size | Quantity | Unit Price | Amount | Operation |
|---|

Copyright © 2015-2026 TargetMol Chemicals Inc. All Rights Reserved.