Shopping Cart
Remove All
Your shopping cart is currently empty
Anti-Citrate Synthase Antibody (7Y580) is a Rabbit antibody targeting Citrate Synthase. Anti-Citrate Synthase Antibody (7Y580) can be used in FCM,IHC,WB.
| Pack Size | Price | USA Warehouse | Global Warehouse | Quantity |
|---|---|---|---|---|
| 50 μL | $298 | 7-10 days | 7-10 days | |
| 100 μL | $496 | 7-10 days | 7-10 days |
| Description | Anti-Citrate Synthase Antibody (7Y580) is a Rabbit antibody targeting Citrate Synthase. Anti-Citrate Synthase Antibody (7Y580) can be used in FCM,IHC,WB. |
| Synonyms | gltA, Citrate synthase |
| Ig Type | IgG |
| Clone | 7Y580 |
| Reactivity | Human,Mouse,Rat |
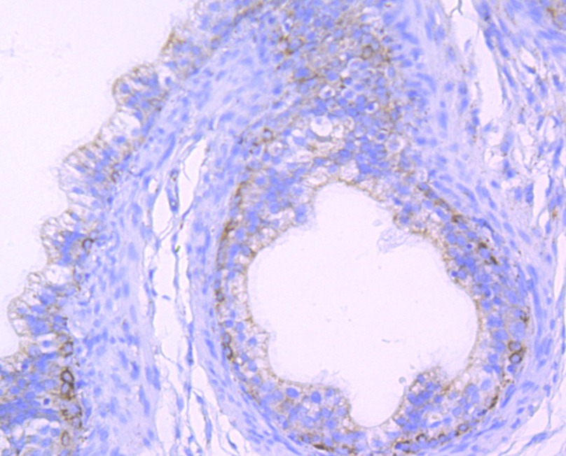
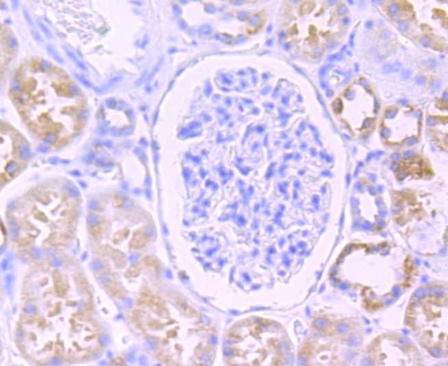
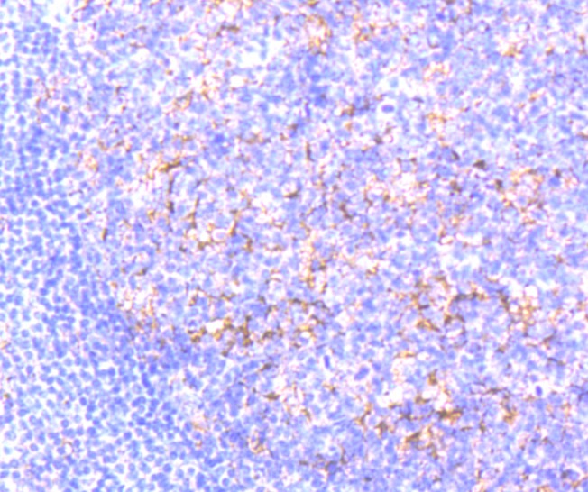
| Verified Activity | 1. Western blot analysis of Citrate synthetase on Hela cell using anti-Citrate synthetase antibody at 1/1,000 dilution.Positive control: Lane 1: Rat kidney tissue, Lane 2: Hela, Lane 3: Mouse brain tissue. 2. Immunohistochemical analysis of paraffin-embedded rat epididymis tissue using anti-Citrate synthetase antibody. Counter stained with hematoxylin. 3. Immunohistochemical analysis of paraffin-embedded human tonsil tissue using anti-Citrate synthetase antibody. Counter stained with hematoxylin. 4. Immunohistochemical analysis of paraffin-embedded human kidney tissue using anti-Citrate synthetase antibody. Counter stained with hematoxylin. 5. Flow cytometric analysis of 293T cells with Citrate synthetase antibody at 1/50 dilution (blue) compared with an unlabelled control (cells without incubation with primary antibody; red). Alexa Fluor 488-conjugated goat anti rabbit IgG was used as the secondary antibody. ![]() ![]() ![]() ![]() ![]() |
| Application | |
| Recommended Dose | WB: 1:500-1000; IHC: 1:50-100; FCM: 1:50-200 |
| Antibody Type | Monoclonal |
| Host Species | Rabbit |
| Construction | Recombinant Antibody |
| Purification | ProA affinity purified |
| Appearance | Liquid |
| Formulation | 1*TBS (pH7.4), 1%BSA, 40%Glycerol. Preservative: 0.05% Sodium Azide. |
| Research Background | Citrate synthase is found in nearly all cells capable of oxidative metabolism.The enzyme citrate synthase exists in nearly all living cells and stands as a pace-making enzyme in the first step of the citric acid cycle (or Krebs cycle). Citrate synthase is localized within eukaryotic cells in the mitochondrial matrix, but is encoded by nuclear DNA rather than mitochondrial. It is synthesized using cytoplasmic ribosomes, then transported into the mitochondrial matrix. Citrate synthase is commonly used as a quantitative enzyme marker for the presence of intact mitochondria. |
| Conjucates | Unconjugated |
| Immunogen | Recombinant Protein |
| Uniprot ID |
| Molecular Weight | Theoretical: 52 kDa. |
| Stability & Storage | Store at -20°C or -80°C for 12 months. Avoid repeated freeze-thaw cycles. |
| Transport | Shipping with blue ice. |
| Size | Quantity | Unit Price | Amount | Operation |
|---|

Copyright © 2015-2026 TargetMol Chemicals Inc. All Rights Reserved.