Shopping Cart
Remove All
Your shopping cart is currently empty
Anti-CILP Polyclonal Antibody is a Rabbit antibody targeting CILP. Anti-CILP Polyclonal Antibody can be used in IF,IHC-Fr,IHC-P,WB.
| Pack Size | Price | USA Stock | Global Stock | Quantity |
|---|---|---|---|---|
| 50 μL | $220 | 7-10 days | 7-10 days | |
| 100 μL | $373 | 7-10 days | 7-10 days | |
| 200 μL | $529 | 7-10 days | 7-10 days |
| Description | Anti-CILP Polyclonal Antibody is a Rabbit antibody targeting CILP. Anti-CILP Polyclonal Antibody can be used in IF,IHC-Fr,IHC-P,WB. |
| Synonyms | CILP-1, CILP, Cartilage intermediate-layer protein, Cartilage intermediate layer protein 1 |
| Ig Type | IgG |
| Reactivity | Human,Mouse,Rat (predicted:Cow,Horse,Sheep) |
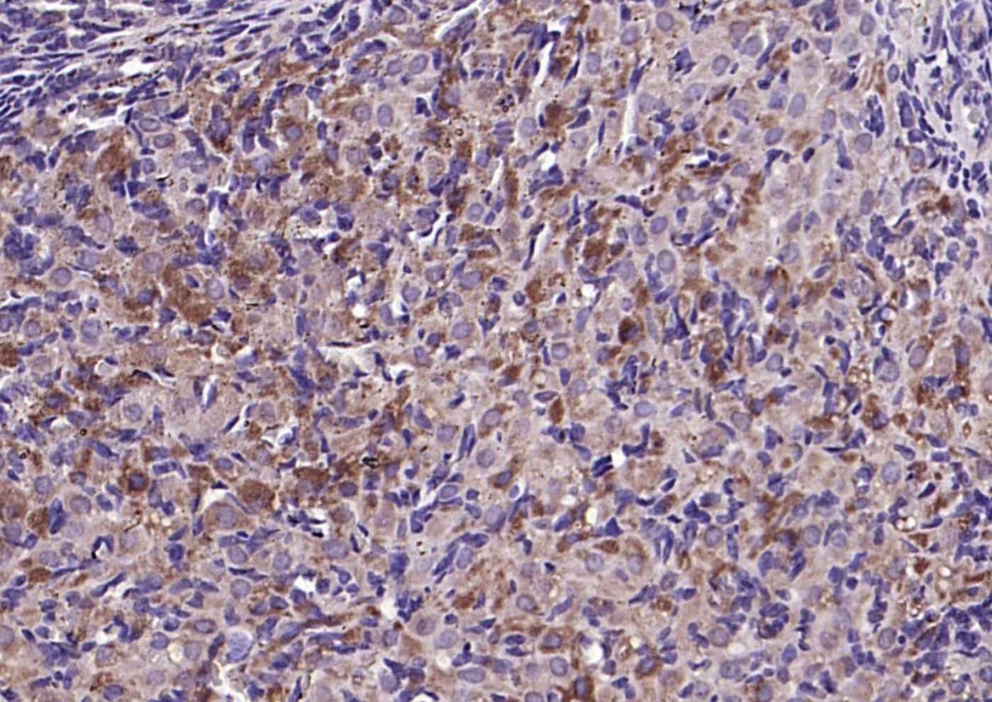
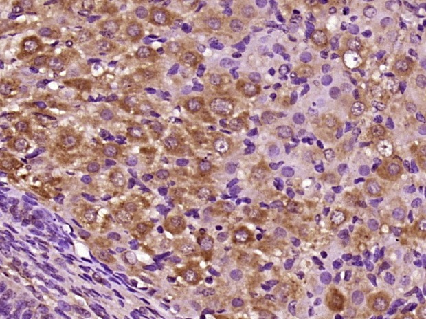
| Verified Activity | 1. Paraformaldehyde-fixed, paraffin embedded (Rat ovary); Antigen retrieval by boiling in sodium citrate buffer (pH6.0) for 15 min; Block endogenous peroxidase by 3% hydrogen peroxide for 20 min; Blocking buffer (normal goat serum) at 37°C for 30 min; Antibody incubation with (CILP) Polyclonal Antibody, Unconjugated (TMAB-00434) at 1:400 overnight at 4°C, followed by operating according to SP Kit (Rabbit) instructionsand DAB staining. 2. Sample: MCF-7 Cell (Human) Lysate at 30 μg Primary: Anti-CILP (TMAB-00434) at 1/300 dilution Secondary: IRDye800CW Goat Anti-Rabbit IgG at 1/20000 dilution Predicted band size: 132 kDa Observed band size: 132 kDa 3. Paraformaldehyde-fixed, paraffin embedded (mouse ovary); Antigen retrieval by boiling in sodium citrate buffer (pH6.0) for 15 min; Block endogenous peroxidase by 3% hydrogen peroxide for 20 min; Blocking buffer (normal goat serum) at 37°C for 30 min; Incubation with (CILP) Polyclonal Antibody, Unconjugated (TMAB-00434) at 1:200 overnight at 4°C, followed by operating according to SP Kit (Rabbit) instructionsand DAB staining. ![]() ![]() ![]() |
| Application | |
| Recommended Dose | WB: 1:500-2000; IHC-P: 1:100-500; IHC-Fr: 1:100-500; IF: 1:100-500 |
| Antibody Type | Polyclonal |
| Host Species | Rabbit |
| Subcellular Localization | Secreted > extracellular space > extracellular matrix. |
| Tissue Specificity | Specifically expressed in cartilage. Localizes in the intermediates layer of articular cartilage but neither in the superficial nor in the deepest regions. Specifically and highly expressed in intervertebral disk tissue. Expression increases with aging in |
| Construction | Polyclonal Antibody |
| Purification | Protein A purified |
| Appearance | Liquid |
| Formulation | 0.01M TBS (pH7.4) with 1% BSA, 0.02% Proclin300 and 50% Glycerol. |
| Concentration | 1 mg/mL |
| Research Background | Major alterations in the composition of the cartilage extracellular matrix occur in joint disease, such as osteoarthrosis. This gene encodes the cartilage intermediate layer protein (CILP), which increases in early osteoarthrosis cartilage. The encoded protein was thought to encode a protein precursor for two different proteins; an N-terminal CILP and a C-terminal homolog of NTPPHase, however, later studies identified no nucleotide pyrophosphatase phosphodiesterase (NPP) activity. The full-length and the N-terminal domain of this protein was shown to function as an IGF-1 antagonist. An allelic variant of this gene has been associated with lumbar disc disease. [provided by RefSeq, Sep 2010] |
| Immunogen | KLH conjugated synthetic peptide: human CILP |
| Antigen Species | Human |
| Gene Name | CILP |
| Gene ID | |
| Protein Name | Cartilage intermediate layer protein 1 |
| Uniprot ID | |
| Biology Area | Other ECM Proteins,Autoimmune |
| Function | Probably plays a role in cartilage scaffolding. May act by antagonizing TGF-beta1 (TGFB1) and IGF1 functions. Has the ability to suppress IGF1-induced proliferation and sulfated proteoglycan synthesis, and inhibits ligand-induced IGF1R autophosphorylation. May inhibit TGFB1-mediated induction of cartilage matrix genes via its interaction with TGFB1. Overexpression may lead to impair chondrocyte growth and matrix repair and indirectly promote inorganic pyrophosphate (PPi) supersaturation in aging and osteoarthritis cartilage. |
| Molecular Weight | Theoretical: 132 kDa. Actual: 132 kDa. |
| Stability & Storage | Store at -20°C or -80°C for 12 months. Avoid repeated freeze-thaw cycles. |
| Transport | Shipping with blue ice. |
| Size | Quantity | Unit Price | Amount | Operation |
|---|

Copyright © 2015-2026 TargetMol Chemicals Inc. All Rights Reserved.