Shopping Cart
- Remove All
 Your shopping cart is currently empty Your shopping cart is currently empty
Anti-CHRM3 Polyclonal Antibody is a Rabbit antibody targeting CHRM3. Anti-CHRM3 Polyclonal Antibody can be used in IF,IHC-Fr,IHC-P,WB.
| Pack Size | Price | Availability | Quantity | 
|---|---|---|---|
| 50 μL | $222 | 7-10 days | |
| 100 μL | $374 | 7-10 days | |
| 200 μL | $527 | 7-10 days | 
| Description | Anti-CHRM3 Polyclonal Antibody is a Rabbit antibody targeting CHRM3. Anti-CHRM3 Polyclonal Antibody can be used in IF,IHC-Fr,IHC-P,WB. | 
| Synonyms | Muscarinic acetylcholine receptor M3, CHRM3 | 
| Ig Type | IgG | 
| Reactivity | Human (predicted:Mouse,Rat) | 
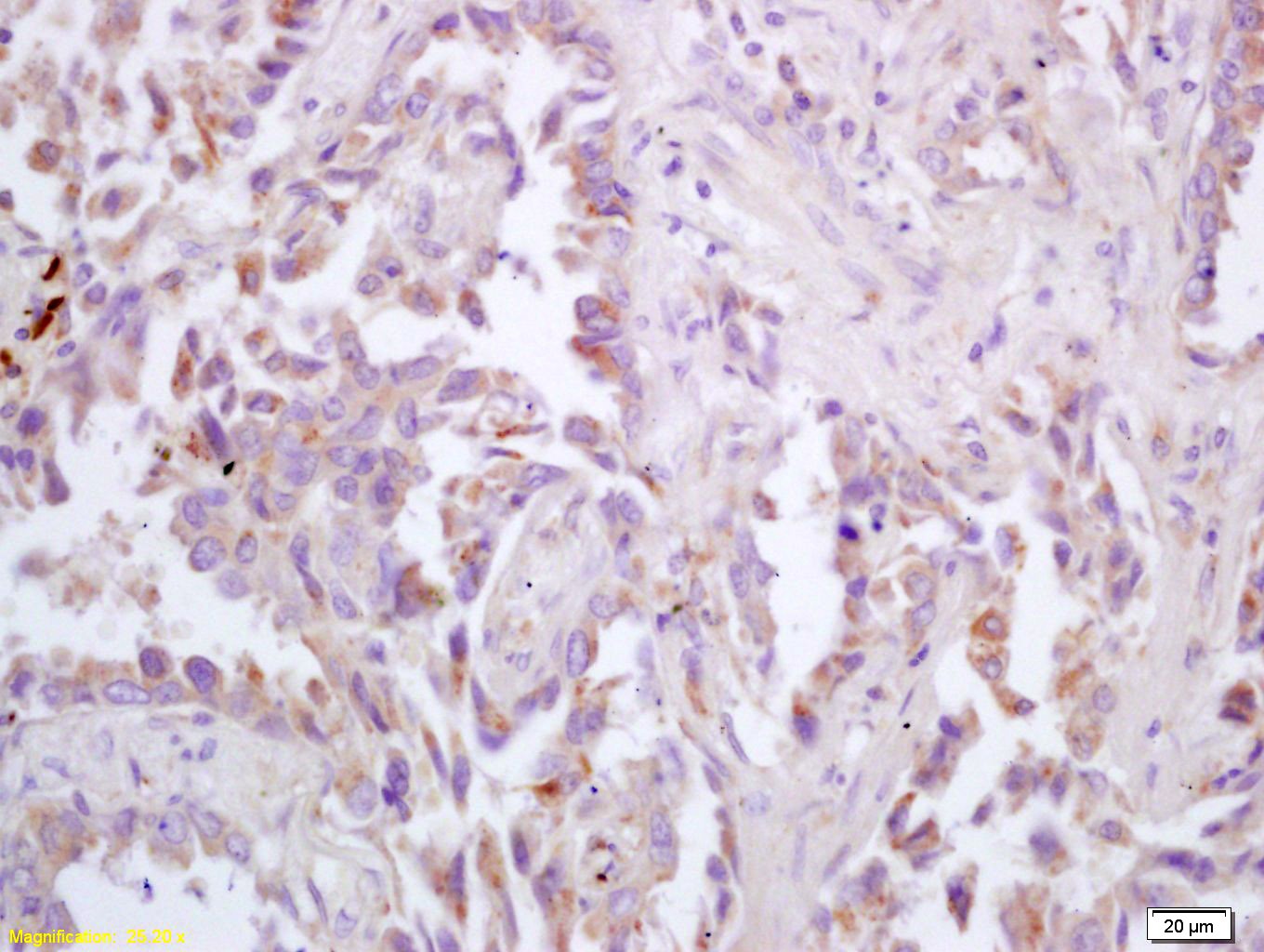
| Verified Activity | 1. Sample: Mcf-7 Cell Lysate at 40 μg Primary: Anti-Muscarinic Acetylcholine receptor (TMAB-00429) at 1/300 dilution Secondary: IRDye800CW Goat Anti-Rabbit IgG at 1/20000 dilution Predicted band size: 65 kDa Observed band size: 65 kDa 2. Tissue/cell: human lung carcinoma; 4% Paraformaldehyde-fixed and paraffin-embedded; Antigen retrieval: citrate buffer (0.01M, pH6.0), Boiling bathing for 15 min; Block endogenous peroxidase by 3% Hydrogen peroxide for 30 min; Blocking buffer (normal goat serum) at 37°C for 20 min; Incubation: Anti-ChRM3/Acetylcholine receptor (M3) Polyclonal Antibody, Unconjugated (TMAB-00429) 1:200, overnight at 4°C, followed by conjugation to the secondary antibody and DAb staining   | 
| Application | |
| Recommended Dose | WB: 1:500-2000; IHC-P: 1:100-500; IHC-Fr: 1:100-500; IF: 1:100-500 | 
| Antibody Type | Polyclonal | 
| Host Species | Rabbit | 
| Subcellular Localization | Cell membrane; Multi-pass membrane protein. Cell junction, synapse, postsynaptic cell membrane; Multi-pass membrane protein. Basolateral cell membrane; Multi-pass membrane protein. | 
| Construction | Polyclonal Antibody | 
| Purification | Protein A purified | 
| Appearance | Liquid | 
| Formulation | 0.01M TBS (pH7.4) with 1% BSA, 0.02% Proclin300 and 50% Glycerol. | 
| Concentration | 1 mg/mL | 
| Research Background | The muscarinic cholinergic receptors belong to a larger family of G protein-coupled receptors. The functional diversity of these receptors is defined by the binding of acetylcholine and includes cellular responses such as adenylate cyclase inhibition, phosphoinositide degeneration, and potassium channel mediation. Muscarinic receptors influence many effects of acetylcholine in the central and peripheral nervous system. The muscarinic cholinergic receptor 3 controls smooth muscle contraction and its stimulation causes secretion of glandular tissue. [provided by RefSeq]. | 
| Immunogen | KLH conjugated synthetic peptide: human ChRM3 | 
| Antigen Species | Human | 
| Gene Name | CHRM3 | 
| Gene ID | |
| Protein Name | Muscarinic acetylcholine receptor M3 | 
| Uniprot ID | |
| Biology Area | Muscarinic Receptors,Acetylcholine | 
| Function | The muscarinic acetylcholine receptor mediates various cellular responses, including inhibition of adenylate cyclase, breakdown of phosphoinositides and modulation of potassium channels through the action of G proteins. Primary transducing effect is Pi turnover. | 
| Molecular Weight | Theoretical: 65 kDa. | 
| Stability & Storage | Store at -20°C or -80°C for 12 months. Avoid repeated freeze-thaw cycles. | 
| Transport | Shipping with blue ice. | 

Copyright © 2015-2025 TargetMol Chemicals Inc. All Rights Reserved.