Shopping Cart
Remove All
Your shopping cart is currently empty
Anti-Chorionic Gonadotropin/CGA Antibody (5Q170) is a Mouse antibody targeting Chorionic Gonadotropin/CGA. Anti-Chorionic Gonadotropin/CGA Antibody (5Q170) can be used in ICC,IHC,WB.
| Pack Size | Price | USA Warehouse | Global Warehouse | Quantity |
|---|---|---|---|---|
| 50 μL | $297 | 7-10 days | 7-10 days | |
| 100 μL | $427 | 7-10 days | 7-10 days |
| Description | Anti-Chorionic Gonadotropin/CGA Antibody (5Q170) is a Mouse antibody targeting Chorionic Gonadotropin/CGA. Anti-Chorionic Gonadotropin/CGA Antibody (5Q170) can be used in ICC,IHC,WB. |
| Synonyms | TSHA, LHA, HCG, GPHA1, GPHa, glycoprotein hormones, α polypeptide, glycoprotein hormones, alpha polypeptide, FSHA, FSH α, FSH alpha, CG-α, CG-ALPHA |
| Clone | 5Q170 |
| Reactivity | Human,Mouse |
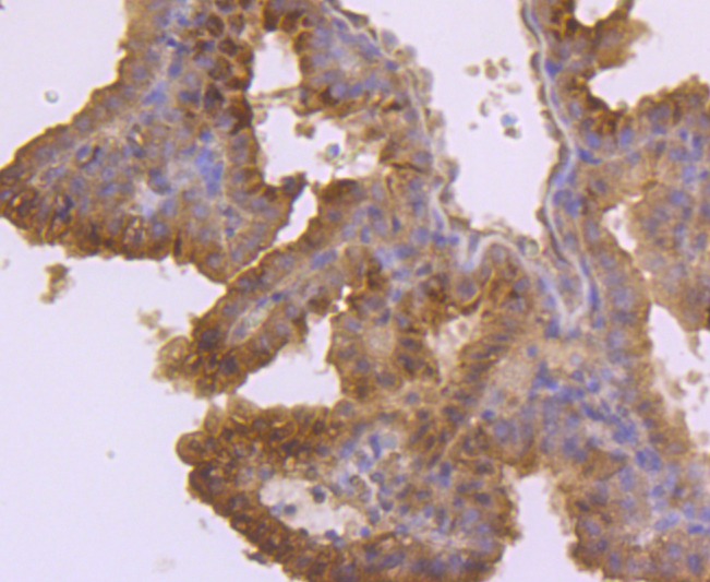
| Verified Activity | 1. Immunohistochemical analysis of paraffin-embedded mouse placenta tissue using anti-TSH antibody. Counter stained with hematoxylin. 2. ICC staining TSH in HepG2 cells (red). The nuclear counter stain is DAPI (blue). Cells were fixed in paraformaldehyde, permeabilised with 0.25% Triton X100/PBS. 3. ICC staining TSH in JAR cells (red). The nuclear counter stain is DAPI (blue). Cells were fixed in paraformaldehyde, permeabilised with 0.25% Triton X100/PBS. ![]() ![]() ![]() |
| Application | |
| Recommended Dose | WB: 1:1000; IHC: 1:50-200; ICC: 1:50-200 |
| Antibody Type | Monoclonal |
| Host Species | Mouse |
| Construction | Hybridoma Monoclonal Antibody |
| Appearance | Liquid |
| Formulation | 1*TBS (pH7.4), 1%BSA, 40%Glycerol. Preservative: 0.23% Sodium Azide. |
| Research Background | Various hormones are secreted from the anterior pituitary during development and growth, including thyroid-stimulating hormone (TSH, also known as thyrotropin), follicle-stimulating hormone (FSH) and leutinizing hormone (LH). TSH, FSH, and LH are heterodimers formed from a common α chain and a unique β chain. TSH is a glycoprotein involved in the control of thyroid structure and metabolism, which stimulates the release of the thyroid hormones. TSHβ is regulated by thyroid hormone (T3) and various retinoid compounds. TSHβ binds to the thyroid-stimulating hormone receptor (TSHR), which plays a major role in regulating thyroid function. TSHR is thought to exist in multiple glycosylation states. The third cytoplasmic loop of TSHR has been identified as critical for its role in regulating inositol phosphate and cAMP formation. |
| Conjucates | Unconjugated |
| Immunogen | Recombinant Protein |
| Uniprot ID |
| Molecular Weight | Theoretical: 42 kDa. |
| Stability & Storage | Store at -20°C or -80°C for 12 months. Avoid repeated freeze-thaw cycles. |
| Transport | Shipping with blue ice. |
| Size | Quantity | Unit Price | Amount | Operation |
|---|

Copyright © 2015-2026 TargetMol Chemicals Inc. All Rights Reserved.