Shopping Cart
Remove All
Your shopping cart is currently empty
Anti-Chorionic Gonadotropin/CGA Antibody (3J474) is a Mouse antibody targeting Chorionic Gonadotropin/CGA. Anti-Chorionic Gonadotropin/CGA Antibody (3J474) can be used in ELISA,IF,IHC-Fr,IHC-P.
| Pack Size | Price | USA Warehouse | Global Warehouse | Quantity |
|---|---|---|---|---|
| 50 μL | $221 | 7-10 days | 7-10 days | |
| 100 μL | $374 | 7-10 days | 7-10 days | |
| 200 μL | $529 | 7-10 days | 7-10 days |
| Description | Anti-Chorionic Gonadotropin/CGA Antibody (3J474) is a Mouse antibody targeting Chorionic Gonadotropin/CGA. Anti-Chorionic Gonadotropin/CGA Antibody (3J474) can be used in ELISA,IF,IHC-Fr,IHC-P. |
| Synonyms | TSHA, LHA, HCG, GPHA1, GPHa, glycoprotein hormones, α polypeptide, glycoprotein hormones, alpha polypeptide, FSHA, FSH α, FSH alpha, CG-α, CG-ALPHA |
| Ig Type | IgG |
| Clone | 3J474 |
| Reactivity | Human |
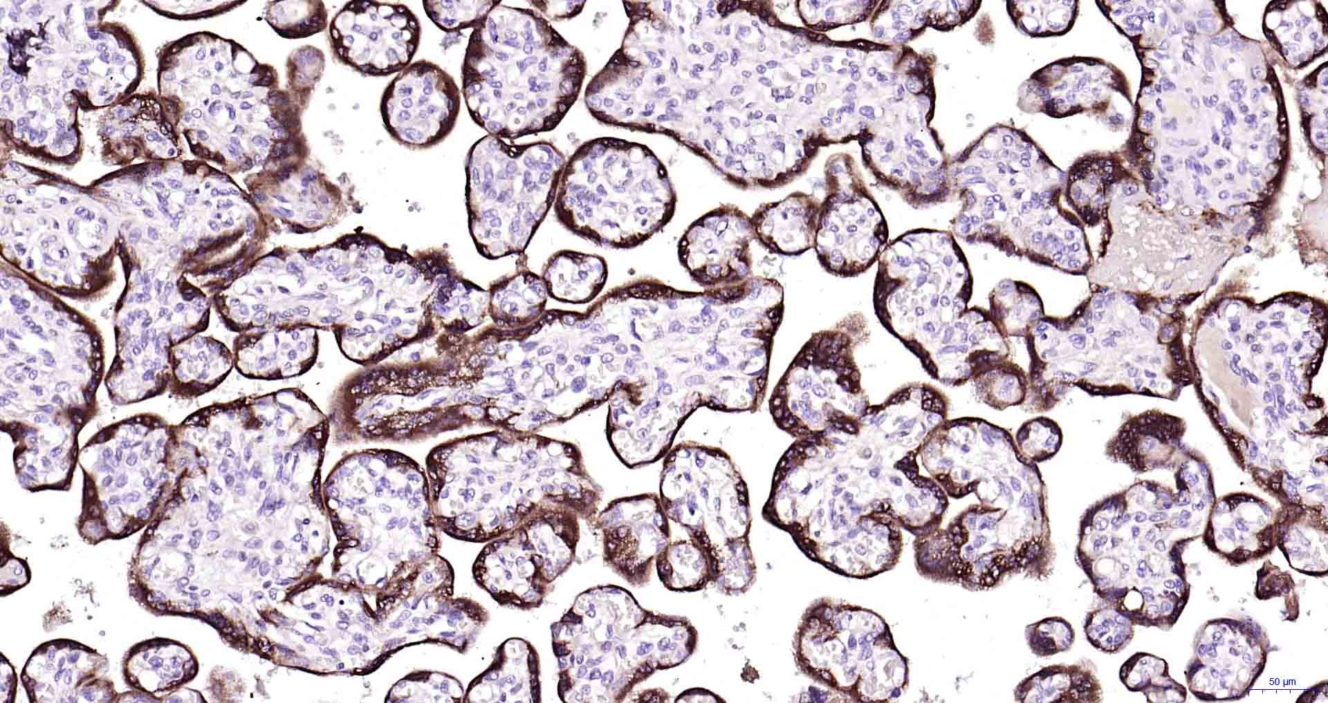
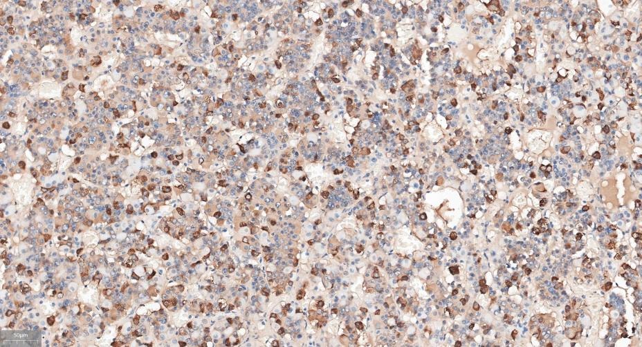
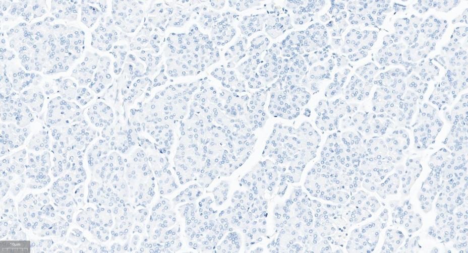
| Verified Activity | 1. Measured by its binding ability in a indirect ELISA. Immobilized Human HCG alpha protein, HisTag at 2 μg/mL (100 μL/well) can bind Mouse Anti-Human HCG alpha Antibody, the EC50 is 40.93 ng/mL. 2. Paraformaldehyde-fixed, paraffin embedded Human Placenta; Antigen retrieval by boiling in sodium citrate buffer (pH6.0) for 15 min; Antibody incubation with CGA Monoclonal Antibody, Unconjugated (TMAB-00428) at 1:200 overnight at 4°C, followed by conjugation to the SP Kit (Mouse) and DAB staining. 3. Paraformaldehyde-fixed, paraffin embedded Human pituitary gland; Antigen retrieval by boiling in sodium citrate buffer (pH6.0) for 15 min; Antibody incubation with CGA Monoclonal Antibody, Unconjugated (TMAB-00428) at 1:200 overnight at 4°C, followed by conjugation to the SP Kit (Mouse) and DAB staining. 4. (Negative control) Paraformaldehyde-fixed, paraffin embedded Human Pancreas; Antigen retrieval by boiling in sodium citrate buffer (pH6.0) for 15 min; Antibody incubation with CGA Monoclonal Antibody, Unconjugated (TMAB-00428) at 1:200 overnight at 4°C, followed by conjugation to the SP Kit (Mouse) and DAB staining. ![]() ![]() ![]() ![]() |
| Application | |
| Recommended Dose | IHC-P: 1:100-500; IHC-Fr: 1:100-500; IF: 1:100-500; ELISA: 1:5000-10000 |
| Antibody Type | Monoclonal |
| Host Species | Mouse |
| Subcellular Localization | Secreted. |
| Construction | Hybridoma Monoclonal Antibody |
| Purification | Protein A purified |
| Appearance | Liquid |
| Formulation | 0.01M PBS (pH7.4) with 0.02% Proclin300. |
| Concentration | 1 mg/mL |
| Research Background | The four human glycoprotein hormones chorionic gonadotropin (CG), luteinizing hormone (LH), follicle stimulating hormone (FSH), and thyroid stimulating hormone (TSH) are dimers consisting of alpha and beta subunits that are associated noncovalently. The alpha subunits of these hormones are identical, however, their beta chains are unique and confer biological specificity. The protein encoded by this gene is the alpha subunit and belongs to the glycoprotein hormones alpha chain family. Two transcript variants encoding different isoforms have been found for this gene. [provided by RefSeq, Nov 2011] |
| Immunogen | Natural human hCG protein |
| Antigen Species | Human |
| Gene Name | CGA |
| Gene ID | |
| Protein Name | Glycoprotein hormones alpha chain |
| Uniprot ID | |
| Biology Area | Hormone biosynthesis,Hormone biosynthesis,Cancer,Gonadotrophic axis,Thyroid axis,Hormones |
| Function | Stimulates the ovaries to synthesize the steroids that are essential for the maintenance of pregnancy. |
| Molecular Weight | Theoretical: 10 kDa. |
| Stability & Storage | Store at -20°C or -80°C for 12 months. Avoid repeated freeze-thaw cycles. |
| Transport | Shipping with blue ice. |
| Size | Quantity | Unit Price | Amount | Operation |
|---|

Copyright © 2015-2026 TargetMol Chemicals Inc. All Rights Reserved.