Your shopping cart is currently empty

Synonyms: RNA-binding protein BRUNOL-2, RNA binding protein BRUNOL2, RNA binding protein BRUNOL 2, Nuclear polyadenylated RNA binding protein 50 kD, Nuclear polyadenylated RNA binding protein, NAPOR, NAB50, NAB 50, hNab50, hNab 50, Embryo deadenylation element-binding protein homolog, embryo deadenylation element binding protein homolog, embryo deadenylation element binding protein, EDEN-BP homolog, EDEN-BP, EDEN BP homolog, EDEN BP, Deadenylation factor CUG-BP, Deadenylation factor CUGBP, Deadenylation factor CUG BP, Cytidine uridine guanosine binding protein 1, CUG-BP1, CUGBP1, CUGBP Elav-like family member 1, CUGBP Elav like family member 1, CUG-BP- and ETR-3-like factor 1, CUGBP and ETR3 like factor 1, CUGBP 1, CUG-BP, CUGBP, CUG triplet repeat RNA-binding protein 1, CUG triplet repeat RNA binding protein 1, CUG RNA binding protein, CUG BP1, CUG BP and ETR 3 like factor 1, CUG BP, CELF1_HUMAN, CELF1 CUGBP, Elav like family member 1, CELF-1, celf1, CELF 1, Bruno-like protein 2, BRUNOL2, BRUNOL 2, bruno like protein 2, Bruno like 2, 50 kDa nuclear polyadenylated RNA-binding protein, 50 kDa Nuclear polyadenylated RNA binding protein
| Pack Size | Price | USA Stock | Global Stock | Quantity |
|---|---|---|---|---|
| 50 μL | $296 | 7-10 days | 7-10 days | |
| 100 μL | $427 | 7-10 days | 7-10 days |
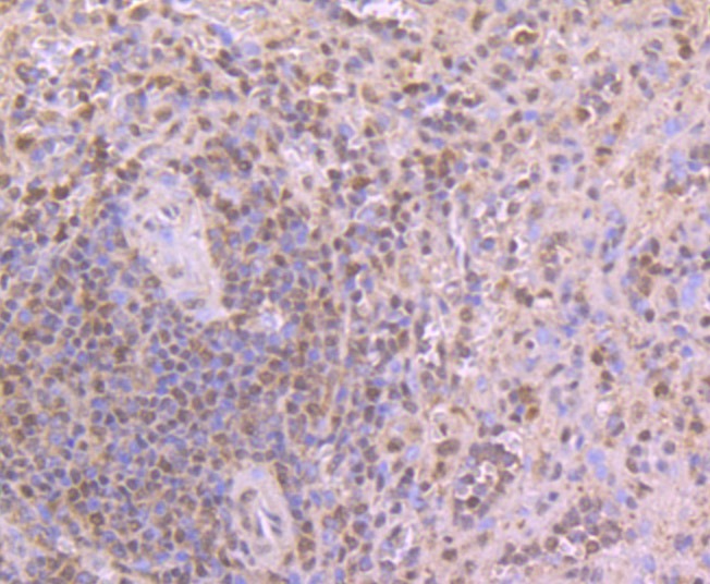
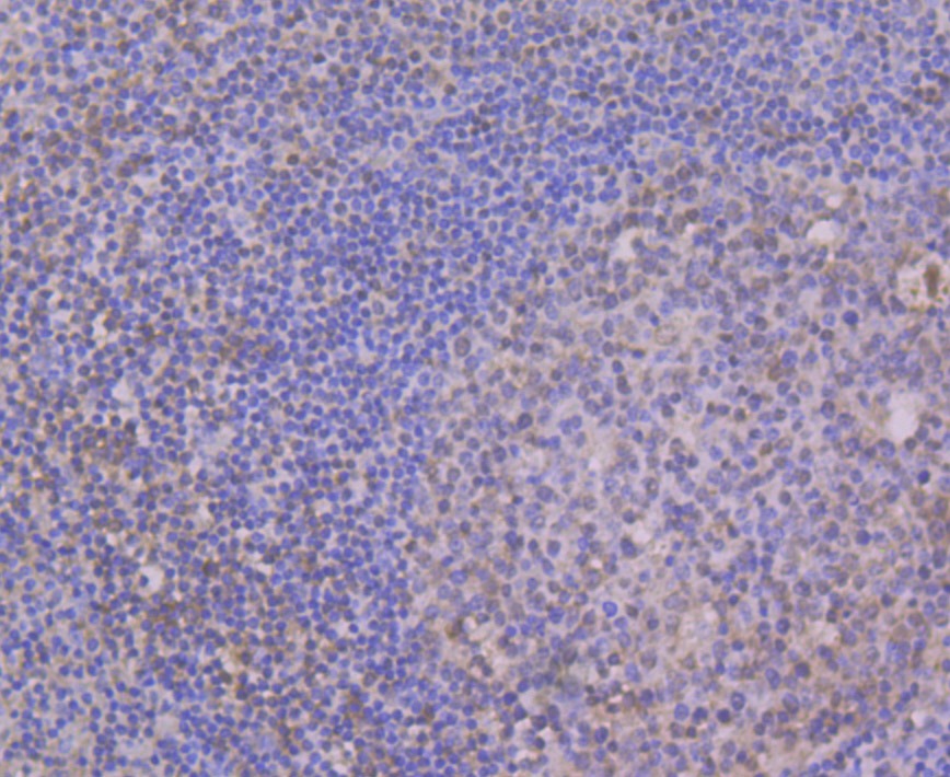
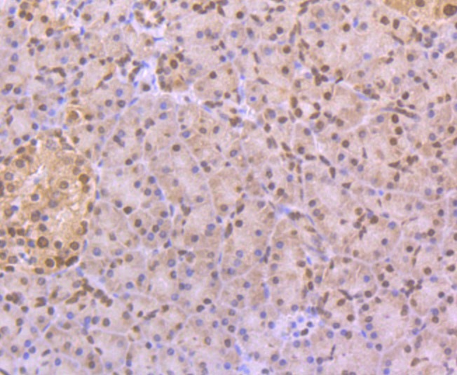
| Description | Anti-CELF1 Antibody (3Z245) is a Mouse antibody targeting CELF1. Anti-CELF1 Antibody (3Z245) can be used in IHC,WB. |
| Synonyms | RNA-binding protein BRUNOL-2, RNA binding protein BRUNOL2, RNA binding protein BRUNOL 2, Nuclear polyadenylated RNA binding protein 50 kD, Nuclear polyadenylated RNA binding protein, NAPOR, NAB50, NAB 50, hNab50, hNab 50, Embryo deadenylation element-binding protein homolog, embryo deadenylation element binding protein homolog, embryo deadenylation element binding protein, EDEN-BP homolog, EDEN-BP, EDEN BP homolog, EDEN BP, Deadenylation factor CUG-BP, Deadenylation factor CUGBP, Deadenylation factor CUG BP, Cytidine uridine guanosine binding protein 1, CUG-BP1, CUGBP1, CUGBP Elav-like family member 1, CUGBP Elav like family member 1, CUG-BP- and ETR-3-like factor 1, CUGBP and ETR3 like factor 1, CUGBP 1, CUG-BP, CUGBP, CUG triplet repeat RNA-binding protein 1, CUG triplet repeat RNA binding protein 1, CUG RNA binding protein, CUG BP1, CUG BP and ETR 3 like factor 1, CUG BP, CELF1_HUMAN, CELF1 CUGBP, Elav like family member 1, CELF-1, celf1, CELF 1, Bruno-like protein 2, BRUNOL2, BRUNOL 2, bruno like protein 2, Bruno like 2, 50 kDa nuclear polyadenylated RNA-binding protein, 50 kDa Nuclear polyadenylated RNA binding protein |
| Clone | 3Z245 |
| Reactivity | Human |
| Application | |
| Recommended Dose | IHC: 1:50-200 |
| Antibody Type | Monoclonal |
| Host Species | Mouse |
| Construction | Hybridoma Monoclonal Antibody |
| Purification | Protein affinity purified |
| Appearance | Liquid |
| Formulation | 1*TBS (pH7.4), 0.5%BSA, 50%Glycerol. Preservative: 0.05% Sodium Azide. |
| Research Background | Myotonic dystrophy (DM) is an autosomal dominant neuromuscular disease that is associated with a (CTG)n repeat expansion in the 3'-untranslated region of the myotonin protein kinase gene (DMPK). CUG-BP1 and CUG-BP2 are proteins that bind specifically to (CUG)8 oligonucleotides in vitro. While CUG-BP1 has the major binding activity in normal cells, nuclear CUG-BP2 binding activity increases in DM cells. Both CUG-BP1 and CUG-BP2 are isoforms of a novel heterogeneous nuclear ribonucleoprotein (hnRNP), hNab50. CUG-BP1, an RNA CUG triplet repeat binding protein, regulates splicing and translation of various RNAs. Expansion of RNA CUG repeats in the DMPK in DM is associated with alterations in binding activity of CUG-BP1 as well as alterations in the translation of the C/EBPb transcription factor. CUG-BP1 is an important regulator of initiation from different AUG codons of C/EBPb mRNA. In normal cells, CUG-BP1 up-regulates the p21 protein during differentiation by inducing the translation of p21 via binding to a GC-rich sequence located within the 5' region of p21 mRNA. In DM cells, failure to accumulate CUG-BP1 leads to a reduction of p21 and alterations in other proteins responsible for cell cycle withdrawl. |
| Conjucates | Unconjugated |
| Immunogen | Recombinant Protein: human CELF1 aa 1-180 |
| Antigen Species | Human |
| Uniprot ID |
| Molecular Weight | Theoretical: 52 kDa. |
| Stability & Storage | Store at -20°C or -80°C for 12 months. Avoid repeated freeze-thaw cycles. |
| Transport | Shipping with blue ice. |
| Size | Quantity | Unit Price | Amount | Operation |
|---|

Copyright © 2015-2026 TargetMol Chemicals Inc. All Rights Reserved.