Shopping Cart
Remove All
Your shopping cart is currently empty
Anti-CEACAM8 Polyclonal Antibody is a Rabbit antibody targeting CEACAM8. Anti-CEACAM8 Polyclonal Antibody can be used in FCM,IF,IHC-Fr,IHC-P.
| Pack Size | Price | USA Warehouse | Global Warehouse | Quantity |
|---|---|---|---|---|
| 50 μL | $222 | 7-10 days | 7-10 days | |
| 100 μL | $374 | 7-10 days | 7-10 days | |
| 200 μL | $529 | 7-10 days | 7-10 days |
| Description | Anti-CEACAM8 Polyclonal Antibody is a Rabbit antibody targeting CEACAM8. Anti-CEACAM8 Polyclonal Antibody can be used in FCM,IF,IHC-Fr,IHC-P. |
| Synonyms | NCA-95, CGM6, CEACAM8, CD67, CD66b |
| Ig Type | IgG |
| Reactivity | Human |
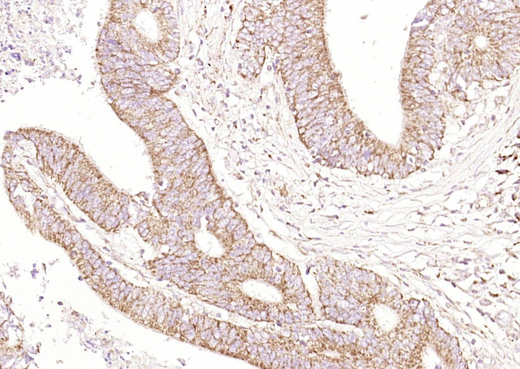
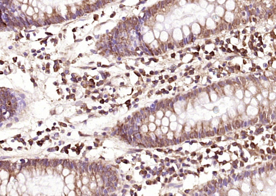
| Verified Activity | 1. Paraformaldehyde-fixed, paraffin embedded (human colon carcinoma); Antigen retrieval by boiling in sodium citrate buffer (pH6.0) for 15 min; Block endogenous peroxidase by 3% hydrogen peroxide for 20 min; Blocking buffer (normal goat serum) at 37°C for 30 min; Antibody incubation with (CEAcam8) Polyclonal Antibody, Unconjugated (TMAB-00414) at 1:400 overnight at 4°C, followed by operating according to SP Kit (Rabbit) instructionsand DAB staining. 2. Paraformaldehyde-fixed, paraffin embedded (human rectal carcinoma); Antigen retrieval by boiling in sodium citrate buffer (pH6.0) for 15 min; Block endogenous peroxidase by 3% hydrogen peroxide for 20 min; Blocking buffer (normal goat serum) at 37°C for 30 min; Antibody incubation with (CEAcam8) Polyclonal Antibody, Unconjugated (TMAB-00414) at 1:400 overnight at 4°C, followed by operating according to SP Kit (Rabbit) instructionsand DAB staining. ![]() ![]() |
| Application | |
| Recommended Dose | IHC-P: 1:100-500; IHC-Fr: 1:100-500; IF: 1:100-500; FCM: 1ug/Test |
| Antibody Type | Polyclonal |
| Host Species | Rabbit |
| Subcellular Localization | Cell membrane; Lipid-anchor, GPI-anchor. |
| Tissue Specificity | Expressed in leukocytes of chronic myeloid Leukemia patients and bone marrow. |
| Construction | Polyclonal Antibody |
| Purification | Protein A purified |
| Appearance | Liquid |
| Formulation | 0.01M TBS (pH7.4) with 1% BSA, 0.02% Proclin300 and 50% Glycerol. |
| Concentration | 1 mg/mL |
| Research Background | Carcinoembryonic antigen-related cell adhesion molecule 8 (CEACAM8) is a highly glycosylated protein expressed only in neutrophils and eosinophils in humans. The precise function of CEACAM8 remains unclear. As a member of the family of carcinoembryonic antigen (CEA), it may play a role in the interaction between granulocytes or between granulocytes and epithelial cells. Expressed in leukocytes of chronic myeloid Leukemia patients and bone marrow. |
| Immunogen | KLH conjugated synthetic peptide: human CEAcam8 |
| Antigen Species | Human |
| Gene Name | CEACAM8 |
| Gene ID | |
| Protein Name | Carcinoembryonic antigen-related cell adhesion molecule 8 |
| Uniprot ID |
| Molecular Weight | Theoretical: 38 kDa. |
| Stability & Storage | Store at -20°C or -80°C for 12 months. Avoid repeated freeze-thaw cycles. |
| Transport | Shipping with blue ice. |
| Size | Quantity | Unit Price | Amount | Operation |
|---|

Copyright © 2015-2026 TargetMol Chemicals Inc. All Rights Reserved.