Shopping Cart
Remove All
Your shopping cart is currently empty
Anti-CDX2 Antibody (1E543) is a Mouse antibody targeting CDX2. Anti-CDX2 Antibody (1E543) can be used in IHC,WB.
| Pack Size | Price | USA Warehouse | Global Warehouse | Quantity |
|---|---|---|---|---|
| 50 μL | $216 | 7-10 days | 7-10 days | |
| 100 μL | $317 | 7-10 days | 7-10 days |
| Description | Anti-CDX2 Antibody (1E543) is a Mouse antibody targeting CDX2. Anti-CDX2 Antibody (1E543) can be used in IHC,WB. |
| Synonyms | CDX2, caudal type homeobox transcription factor 2, caudal type homeobox 2, caudal type homeo box transcription factor 2 |
| Clone | 1E543 |
| Reactivity | Human,Mouse,Rat |
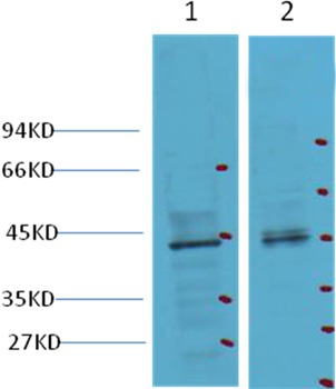
| Verified Activity | 1. Western blot analysis of 293T (lane 1) and Mouse Heart (lane 2) tissue, using TMAC-00808 diluted at 1:2,000. 2. IHC staining of human rectal cancer tissue with CDX2 mouse mAb(14H6) diluted at 1:200. ![]() ![]() |
| Application | |
| Recommended Dose | WB: 1:1000-2000; IHC: 1:200; |
| Antibody Type | Monoclonal |
| Host Species | Mouse |
| Construction | Hybridoma Monoclonal Antibody |
| Purification | Affinity purification using immunogen. |
| Appearance | Liquid |
| Formulation | Mouse IgG1 in phosphate buffered saline (without Mg2+ and Ca2+), pH 7.4, 150mM NaCl, 0.02% sodium azide and 50% glycerol. |
| Research Background | CDX2 is a caudal type homeobox gene that encodes an intestine-specific transcription factor that is expressed early in intestinal development and may be involved in the regulation of proliferation and differentiation of intestinal epithelial cells. It is expressed in the nuclei of epithelial cells throughout the intestine, from duodenum to rectum. The CDX2 protein is expressed in primary and metastatic colorectal carcinomas and has also been demonstrated in the intestinal metaplasia of the stomach and intestinal-type gastric cancer, while it is not expressed in the normal gastric mucosa. Studies have shown that CDX2 is superior marker compared to CK20. |
| Conjucates | Unconjugated |
| Uniprot ID |
| Molecular Weight | Actual: 42 kDa. |
| Stability & Storage | Store at -20°C or -80°C for 12 months. Avoid repeated freeze-thaw cycles. |
| Transport | Shipping with blue ice. |
| Size | Quantity | Unit Price | Amount | Operation |
|---|

Copyright © 2015-2026 TargetMol Chemicals Inc. All Rights Reserved.