Shopping Cart
Remove All
Your shopping cart is currently empty
Anti-CDC5L Antibody (8R159) is a Rabbit antibody targeting CDC5L. Anti-CDC5L Antibody (8R159) can be used in ICC/IF,IHC,WB.
| Pack Size | Price | USA Warehouse | Global Warehouse | Quantity |
|---|---|---|---|---|
| 50 μL | $297 | 7-10 days | 7-10 days | |
| 100 μL | $496 | 7-10 days | 7-10 days |
| Description | Anti-CDC5L Antibody (8R159) is a Rabbit antibody targeting CDC5L. Anti-CDC5L Antibody (8R159) can be used in ICC/IF,IHC,WB. |
| Synonyms | Pombe Cdc5 related protein, PCDC5RP, KIAA0432, dJ319D22.1, Cell division cycle 5-like protein, Cell division cycle 5 S. pombe homolog, CEF1, CDC5-LIKE, Cdc5 related protein, CDC5 cell division cycle 5-like (S. pombe), CDC5 |
| Ig Type | IgG |
| Clone | 8R159 |
| Reactivity | Human,Mouse,Rat |
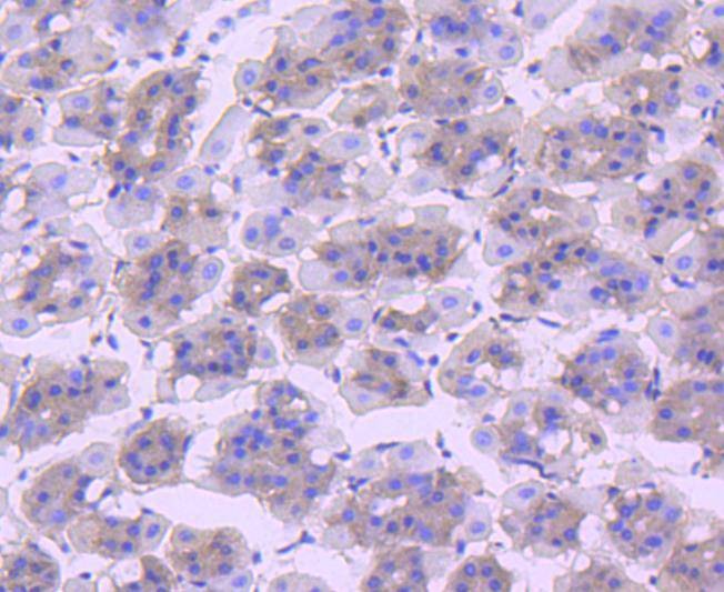
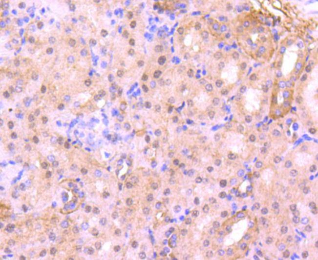
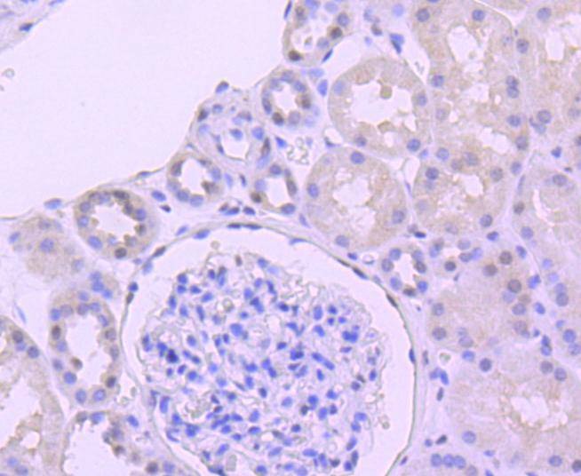
| Verified Activity | 1. Immunohistochemical analysis of paraffin-embedded mouse kidney tissue using anti-CDC5L antibody. Counter stained with hematoxylin. 2. Immunohistochemical analysis of paraffin-embedded mouse stomach tissue using anti-CDC5L antibody. Counter stained with hematoxylin. 3. Immunohistochemical analysis of paraffin-embedded human kidney tissue using anti-CDC5L antibody. Counter stained with hematoxylin. 4. Immunohistochemical analysis of paraffin-embedded mouse lung tissue using anti-CDC5L antibody. Counter stained with hematoxylin. 5. ICC staining CDC5L in Hela cells (green). The nuclear counter stain is DAPI (blue). Cells were fixed in paraformaldehyde, permeabilised with 0.25% Triton X100/PBS. 6. ICC staining CDC5L in NIH/3T3 cells (green). The nuclear counter stain is DAPI (blue). Cells were fixed in paraformaldehyde, permeabilised with 0.25% Triton X100/PBS. 7. ICC staining CDC5L in 293T cells (green). The nuclear counter stain is DAPI (blue). Cells were fixed in paraformaldehyde, permeabilised with 0.25% Triton X100/PBS. 8. ICC staining CDC5L in HepG2 cells (green). The nuclear counter stain is DAPI (blue). Cells were fixed in paraformaldehyde, permeabilised with 0.25% Triton X100/PBS. 9. ICC staining CDC5L in SH-SY-5Y cells (green). The nuclear counter stain is DAPI (blue). Cells were fixed in paraformaldehyde, permeabilised with 0.25% Triton X100/PBS. ![]() ![]() ![]() ![]() ![]() ![]() ![]() ![]() ![]() |
| Application | |
| Recommended Dose | WB: 1:1000; IHC: 1:50-200; ICC/IF: 1:50-200 |
| Antibody Type | Monoclonal |
| Host Species | Rabbit |
| Construction | Recombinant Antibody |
| Purification | ProA affinity purified |
| Appearance | Liquid |
| Formulation | 1*TBS (pH7.4), 1%BSA, 40%Glycerol. Preservative: 0.05% Sodium Azide. |
| Research Background | Cdc5L (Cell division cycle 5-like protein, Pombe Cdc5-related protein) is a DNA-binding protein encoded by the human gene CDC5L. Cdc5L contains 2 HTH myb-type DNA-binding domains and may shuttle between cytoplasm and nucleus. It is involved in cell cycle control and may act as a transcription activator. CDC5L is a spliceosomal protein that is highly conserved across species. It is a member of a protein group that comprise the core of spliceosomal complexes and are essential for pre-mRNA splicing. Cdc5L is involved in the second catalytic step of pre-mRNA splicing, which involves cleavage at the 3' splice site and the ligation of the exons. This process releases the intact intron lariat. A chromosomal aberration involving Cdc5L is found in multicystic renal dysplasia. This aberration is caused by a translocation with USF-2. |
| Conjucates | Unconjugated |
| Immunogen | Recombinant Protein |
| Uniprot ID |
| Molecular Weight | Theoretical: 92/100 kDa. |
| Stability & Storage | Store at -20°C or -80°C for 12 months. Avoid repeated freeze-thaw cycles. |
| Transport | Shipping with blue ice. |
| Size | Quantity | Unit Price | Amount | Operation |
|---|

Copyright © 2015-2026 TargetMol Chemicals Inc. All Rights Reserved.