Shopping Cart
Remove All
Your shopping cart is currently empty
Anti-CDC42 Polyclonal Antibody is a Rabbit antibody targeting CDC42. Anti-CDC42 Polyclonal Antibody can be used in IF, IHC-Fr, IHC-P, WB.
| Pack Size | Price | USA Stock | Global Stock | Quantity |
|---|---|---|---|---|
| 50 μL | $222 | 7-10 days | 7-10 days | |
| 100 μL | $374 | 7-10 days | 7-10 days | |
| 200 μL | $528 | 7-10 days | 7-10 days |
| Description | Anti-CDC42 Polyclonal Antibody is a Rabbit antibody targeting CDC42. Anti-CDC42 Polyclonal Antibody can be used in IF, IHC-Fr, IHC-P, WB. |
| Synonyms | G25K, cell division cycle 42, CDC42Hs |
| Ig Type | IgG |
| Reactivity | Mouse,Rat (predicted:Human,Chicken,Dog,Pig,Cow,Horse,Rabbit) |
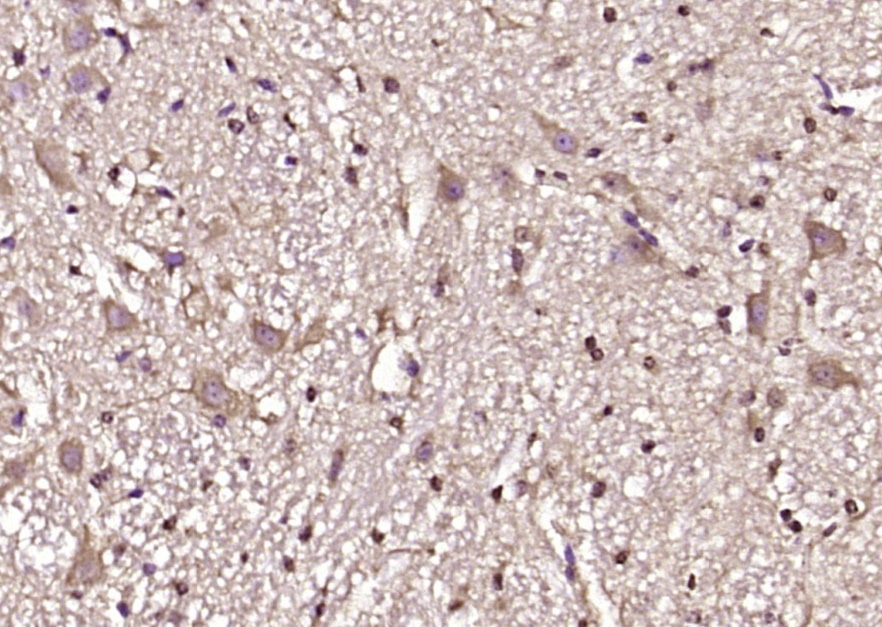
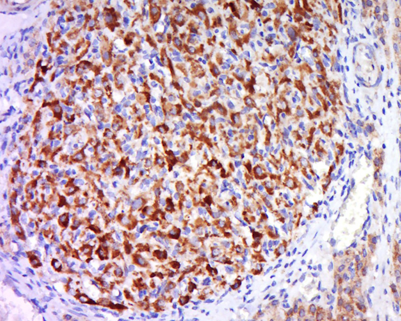
| Verified Activity | 1. Sample: placenta (Mouse) Lysate at 40 μg Primary: Anti-CDC42 (TMAB-00401) at 1/300 dilution Secondary: IRDye800CW Goat Anti-Rabbit IgG at 1/20000 dilution Predicted band size: 25 kDa Observed band size: 25 kDa 2. Sample: LympHnode (Mouse) Lysate at 40 μg Primary: Anti-CDC42 (TMAB-00401) at 1/300 dilution Secondary: IRDye800CW Goat Anti-Rabbit IgG at 1/20000 dilution Predicted band size: 25 kDa Observed band size: 28 kDa 3. Tissue/cell: rat ovary tissue; 4% Paraformaldehyde-fixed and paraffin-embedded; Antigen retrieval: citrate buffer (0.01M, pH6.0), Boiling bathing for 15 min; Block endogenous peroxidase by 3% Hydrogen peroxide for 30 min; Blocking buffer (normal goat serum) at 37°C for 20 min; Incubation: Anti-CDC42 Polyclonal Antibody, Unconjugated (TMAB-00401) 1:600, overnight at 4°C, followed by conjugation to the secondary antibody and DAb staining. 4. Paraformaldehyde-fixed, paraffin embedded (rat cerebellum); Antigen retrieval by boiling in sodium citrate buffer (pH6.0) for 15 min; Block endogenous peroxidase by 3% hydrogen peroxide for 20 min; Blocking buffer (normal goat serum) at 37°C for 30 min; Antibody incubation with (CDC42) Polyclonal Antibody, Unconjugated (TMAB-00401) at 1:200 overnight at 4°C, followed by operating according to SP Kit (Rabbit) instructionsand DAB staining. ![]() ![]() ![]() ![]() |
| Application | |
| Recommended Dose | WB: 1:500-2000; IHC-P: 1:100-500; IHC-Fr: 1:100-500; IF: 1:100-500 |
| Antibody Type | Polyclonal |
| Host Species | Rabbit |
| Subcellular Localization | Cell membrane; Lipid-anchor; Cytoplasmic side (Potential). Cytoplasm, cytoskeleton, centrosome. Cytoplasm, cytoskeleton, spindle. Midbody. |
| Construction | Polyclonal Antibody |
| Purification | Protein A purified |
| Appearance | Liquid |
| Formulation | 0.01M TBS (pH7.4) with 1% BSA, 0.02% Proclin300 and 50% Glycerol. |
| Concentration | 1 mg/mL |
| Research Background | The protein encoded by this gene is a small GTPase of the Rho-subfamily, which regulates signaling pathways that control diverse cellular functions including cell morphology, migration, endocytosis and cell cycle progression. This protein is highly similar to Saccharomyces cerevisiae Cdc 42, and is able to complement the yeast cdc42-1 mutant. The product of oncogene Dbl was reported to specifically catalyze the dissociation of GDP from this protein. This protein could regulate actin polymerization through its direct binding to Neural Wiskott-Aldrich syndrome protein (N-WASP), which subsequently activates Arp2/3 complex. Alternative splicing of this gene results in multiple transcript variants. Pseudogenes of this gene have been identified on chromosomes 3, 4, 5, 7, 8 and 20. [provided by RefSeq, Apr 2013] |
| Immunogen | KLH conjugated synthetic peptide: human CDC42 |
| Antigen Species | Human |
| Gene Name | CDC42 |
| Gene ID | |
| Protein Name | Cell division control protein 42 homolog |
| Uniprot ID | |
| Biology Area | Ras family,Cytokinesis,Kinases/Phosphatases,Regulation,Small G Proteins |
| Function | Plasma membrane-associated small GTPase which cycles between an active GTP-bound and an inactive GDP-bound state. In active state binds to a variety of effector proteins to regulate cellular responses. Involved in epithelial cell polarization processes. Regulates the bipolar attachment of spindle microtubules to kinetochores before chromosome congression in metaphase. Plays a role in the extension and maintenance of the formation of thin, actin-rich surface projections called filopodia. Mediates CDC42-dependent cell migration. |
| Molecular Weight | Theoretical: 25 kDa. Actual: 28 kDa. |
| Stability & Storage | Store at -20°C or -80°C for 12 months. Avoid repeated freeze-thaw cycles. |
| Transport | Shipping with blue ice. |
| Size | Quantity | Unit Price | Amount | Operation |
|---|

Copyright © 2015-2026 TargetMol Chemicals Inc. All Rights Reserved.