Shopping Cart
Remove All
Your shopping cart is currently empty
Anti-CDC40 Antibody (4S858) is a Rabbit antibody targeting CDC40. Anti-CDC40 Antibody (4S858) can be used in FCM,ICC/IF,IHC,WB.
| Pack Size | Price | USA Warehouse | Global Warehouse | Quantity |
|---|---|---|---|---|
| 50 μL | $297 | 7-10 days | 7-10 days | |
| 100 μL | $497 | 7-10 days | 7-10 days |
| Description | Anti-CDC40 Antibody (4S858) is a Rabbit antibody targeting CDC40. Anti-CDC40 Antibody (4S858) can be used in FCM,ICC/IF,IHC,WB. |
| Synonyms | PRPF17, PRP17_HUMAN, PRP17 homolog, PRP17, Pre-mRNA-processing factor 17, Pre mRNA splicing factor 17, Pre mRNA processing factor 17, hPRP17, EH-binding protein 3, Ehb3, EH binding protein 3, Cell division cycle 40 homolog, Cell division cycle 40, Cdc 40 |
| Ig Type | IgG |
| Clone | 4S858 |
| Reactivity | Human,Mouse,Rat |
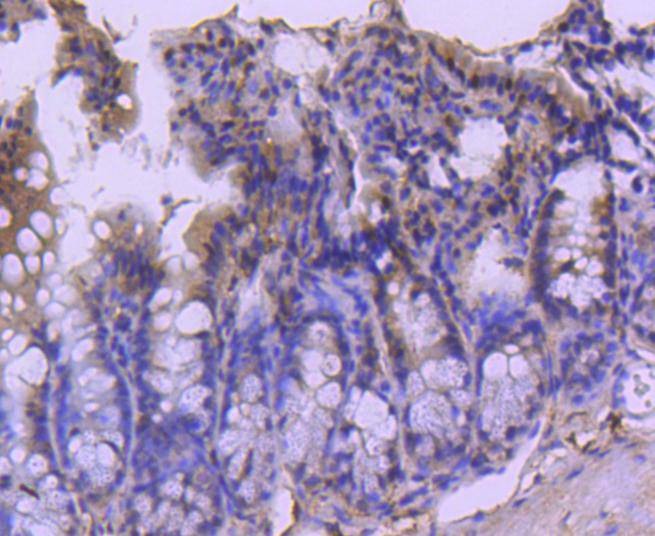
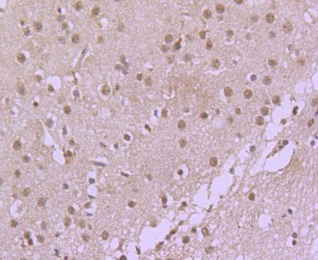
| Verified Activity | 1. Western blot analysis of CDC40 on Hela cells lysates using anti-CDC40 antibody at 1/2,000 dilution. 2. Immunohistochemical analysis of paraffin-embedded rat brain tissue using anti-CDC40 antibody. Counter stained with hematoxylin. 3. Immunohistochemical analysis of paraffin-embedded mouse colon tissue using anti-CDC40 antibody. Counter stained with hematoxylin. 4. Immunohistochemical analysis of paraffin-embedded mouse brain tissue using anti-CDC40 antibody. Counter stained with hematoxylin. 5. ICC staining CDC40 in Hela cells (green). The nuclear counter stain is DAPI (blue). Cells were fixed in paraformaldehyde, permeabilised with 0.25% Triton X100/PBS. 6. ICC staining CDC40 in HUVEC cells (green). The nuclear counter stain is DAPI (blue). Cells were fixed in paraformaldehyde, permeabilised with 0.25% Triton X100/PBS. 7. ICC staining CDC40 in SHG-44 cells (green). The nuclear counter stain is DAPI (blue). Cells were fixed in paraformaldehyde, permeabilised with 0.25% Triton X100/PBS. 8. Flow cytometric analysis of K562 cells with CDC40 antibody at 1/50 dilution (red) compared with an unlabelled control (cells without incubation with primary antibody; black). Alexa Fluor 488-conjugated goat anti rabbit IgG was used as the secondary antibody. ![]() ![]() ![]() ![]() ![]() ![]() ![]() ![]() |
| Application | |
| Recommended Dose | WB: 1:1000-5000; IHC: 1:50-200; ICC/IF: 1:50-200; FCM: 1:50-100 |
| Antibody Type | Monoclonal |
| Host Species | Rabbit |
| Construction | Recombinant Antibody |
| Purification | ProA affinity purified |
| Appearance | Liquid |
| Formulation | 1*TBS (pH7.4), 1%BSA, 40%Glycerol. Preservative: 0.05% Sodium Azide. |
| Research Background | Cell cycle events are regulated by the sequential activation and deactivation of cyclin dependent kinases (Cdks) and by the proteolysis of cyclins. The cell division control (Cdc) genes are required at various points in the cell cycle. Cdc40, also known as pre-mRNA-processing factor 17 (PRPF17) or EH-binding protein 3 (EHB3), is a 579 amino acid nuclear protein. Cdc40 is essential for the catalytic step II of the pre-mRNA splicing process, in which Cdc40 associates with the spliceosome C complex. Cdc40 contains seven WD repeats, which are important in protein-protein interactions. Cdc40 has sequence similarity to the yeast protein Prp17, which is involved in pre-mRNA splicing and cell cycle progression. The sequence similarity between the mammalian Cdc40 and the yeast Prp17 may indicate an additional role in cell cycle progression for mammalian Cdc40. |
| Conjucates | Unconjugated |
| Immunogen | Recombinant Protein |
| Uniprot ID |
| Molecular Weight | Theoretical: 66 kDa. |
| Stability & Storage | Store at -20°C or -80°C for 12 months. Avoid repeated freeze-thaw cycles. |
| Transport | Shipping with blue ice. |
| Size | Quantity | Unit Price | Amount | Operation |
|---|

Copyright © 2015-2026 TargetMol Chemicals Inc. All Rights Reserved.