Shopping Cart
Remove All
Your shopping cart is currently empty
Anti-CD9 Antibody (7S503) is a Rabbit antibody targeting CD9. Anti-CD9 Antibody (7S503) can be used in FCM,ICC/IF,IHC,IP,WB.
| Pack Size | Price | USA Warehouse | Global Warehouse | Quantity |
|---|---|---|---|---|
| 50 μL | $298 | 7-10 days | 7-10 days | |
| 100 μL | $498 | 7-10 days | 7-10 days |
| Description | Anti-CD9 Antibody (7S503) is a Rabbit antibody targeting CD9. Anti-CD9 Antibody (7S503) can be used in FCM,ICC/IF,IHC,IP,WB. |
| Synonyms | TSPAN-29, TSPAN29, MRP-1, MIC3, DRAP-27, CD9 molecule, BTCC-1 |
| Ig Type | IgG |
| Clone | 7S503 |
| Reactivity | Human,Mouse,Rat |
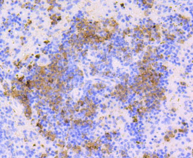
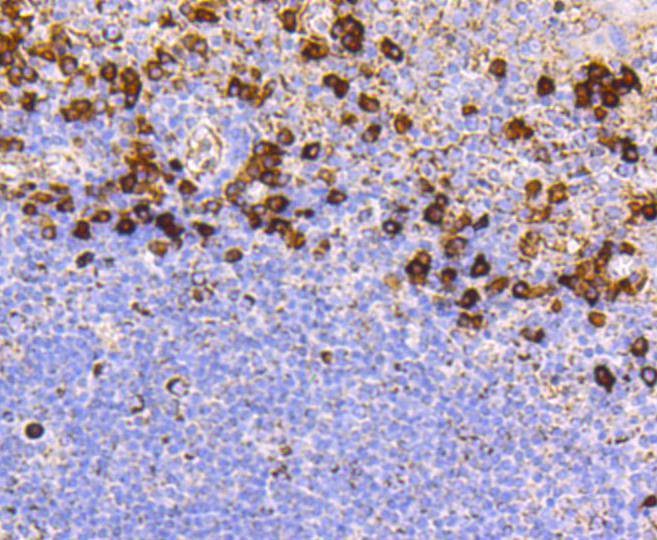
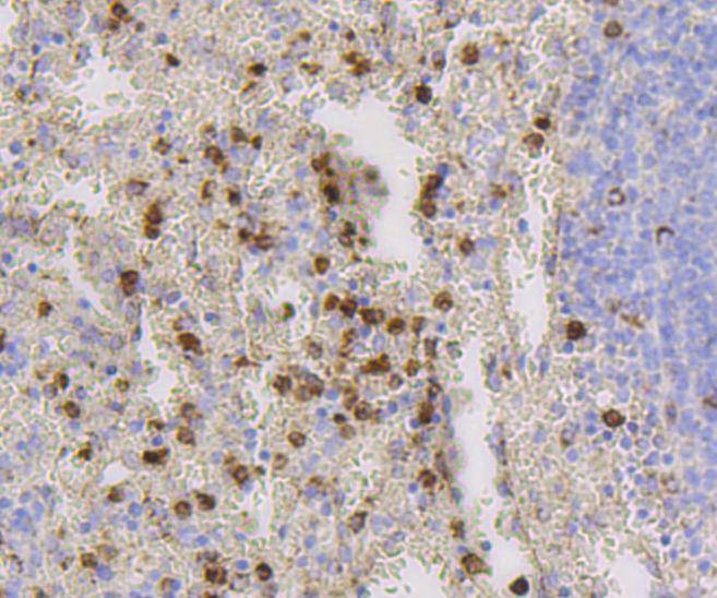
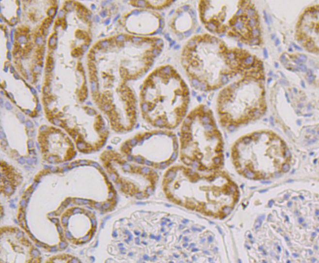
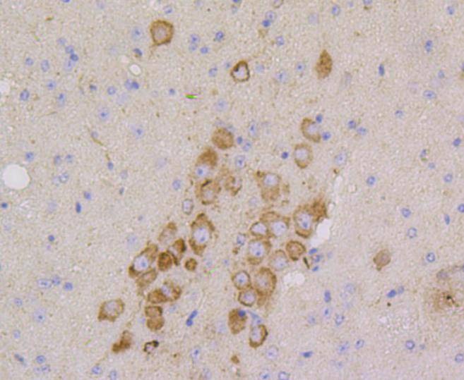
| Verified Activity | 1. Western blot analysis of CD9 on different lysates using anti-CD9 antibody at 1/500 dilution. Positive control: Lane 1: Mouse heart, Lane 2: Jurkat. 2. Immunohistochemical analysis of paraffin-embedded human tonsil tissue using anti-CD9 antibody. Counter stained with hematoxylin. 3. Immunohistochemical analysis of paraffin-embedded human spleen tissue using anti-CD9 antibody. Counter stained with hematoxylin. 4. Immunohistochemical analysis of paraffin-embedded human kidney tissue using anti-CD9 antibody. Counter stained with hematoxylin. 5. Immunohistochemical analysis of paraffin-embedded mouse brain tissue using anti-CD9 antibody. Counter stained with hematoxylin. 6. Immunohistochemical analysis of paraffin-embedded mouse spleen tissue using anti-CD9 antibody. Counter stained with hematoxylin. 7. ICC staining CD9 in SW480 cells (green). The nuclear counter stain is DAPI (blue). Cells were fixed in paraformaldehyde, permeabilised with 0.25% Triton X100/PBS. 8. ICC staining CD9 in CRC cells (green). The nuclear counter stain is DAPI (blue). Cells were fixed in paraformaldehyde, permeabilised with 0.25% Triton X100/PBS. ![]() ![]() ![]() ![]() ![]() ![]() ![]() ![]() |
| Application | |
| Recommended Dose | WB: 1:500-1000; IHC: 1:50-200; ICC/IF: 1:50-200; FCM: 1:20-50 |
| Antibody Type | Monoclonal |
| Host Species | Rabbit |
| Construction | Recombinant Antibody |
| Purification | ProA affinity purified |
| Appearance | Liquid |
| Formulation | 1*TBS (pH7.4), 1%BSA, 40%Glycerol. Preservative: 0.05% Sodium Azide. |
| Research Background | CD9 is a type IV transmembrane glycoprotein with four transmembrane domains. CD9 on pre-B cells may play a role in cell-cell adhesion. In addition, CD9 may play a role in signal transduction mediated by interaction with low molecular weight GTP-binding proteins. CD9 is expressed on early B cells, eosinophils, basophils and activated T cells and is a major component of the platelet cell surface. It is also expressed on most non-T acute lymphoblastic leukemia cells and on some acute myeloid and chronic lymphoid leukemias. |
| Conjucates | Unconjugated |
| Immunogen | Recombinant Protein |
| Uniprot ID |
| Molecular Weight | Theoretical: 25 kDa. |
| Stability & Storage | Store at -20°C or -80°C for 12 months. Avoid repeated freeze-thaw cycles. |
| Transport | Shipping with blue ice. |
| Size | Quantity | Unit Price | Amount | Operation |
|---|

Copyright © 2015-2026 TargetMol Chemicals Inc. All Rights Reserved.