Shopping Cart
Remove All
Your shopping cart is currently empty
Anti-CD80 Antibody (2K870) is a Rabbit antibody targeting CD80. Anti-CD80 Antibody (2K870) can be used in IHC,WB.
| Pack Size | Price | USA Warehouse | Global Warehouse | Quantity |
|---|---|---|---|---|
| 50 μL | $297 | 7-10 days | 7-10 days | |
| 100 μL | $498 | 7-10 days | 7-10 days |
| Description | Anti-CD80 Antibody (2K870) is a Rabbit antibody targeting CD80. Anti-CD80 Antibody (2K870) can be used in IHC,WB. |
| Synonyms | LAB7, CD80 molecule, CD80, CD28LG1, BB1, B7-1, B71, B7.1, B7 |
| Ig Type | IgG |
| Clone | 2K870 |
| Reactivity | Human |
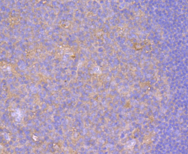
| Verified Activity | 1. Immunohistochemical analysis of paraffin-embedded human tonsil tissue using anti-CD80 antibody. Counter stained with hematoxylin. ![]() |
| Application | |
| Recommended Dose | WB: 1:500-1000; IHC: 1:50-100 |
| Antibody Type | Monoclonal |
| Host Species | Rabbit |
| Construction | Recombinant Antibody |
| Purification | ProA affinity purified |
| Appearance | Liquid |
| Formulation | 1*TBS (pH7.4), 1%BSA, 40%Glycerol. Preservative: 0.05% Sodium Azide. |
| Research Background | T cell proliferation and lymphokine production are triggered by occupation of the TCR by antigen, followed by a costimulatory signal that is delivered by a ligand expressed on antigen presenting cells. The B7-related cell surface proteins CD80 (B7-1) and CD86 (B7-2) are expressed on antigen presenting cells, bind the homologous T cell receptors CTLA-4 (cytotoxic T lymphocyte-associated protein-4) and CD28 and trigger costimulatory signals for optimal T cell activation. CTLA-4 shares 31% overall amino acid identity with CD28 and it has been proposed that CD28 and CTLA-4 are functionally redundant. SLAM is a novel receptor on T cells that, when engaged, potentiates T cell expansion in a CD28-independent manner. B7, also designated BB1, is another ligand or counterreceptor for CD28 and CTLA-4 that is expressed on the antigen-presenting cell. |
| Conjucates | Unconjugated |
| Immunogen | Recombinant Protein |
| Uniprot ID |
| Molecular Weight | Theoretical: 60 kDa. |
| Stability & Storage | Store at -20°C or -80°C for 12 months. Avoid repeated freeze-thaw cycles. |
| Transport | Shipping with blue ice. |
| Size | Quantity | Unit Price | Amount | Operation |
|---|

Copyright © 2015-2026 TargetMol Chemicals Inc. All Rights Reserved.