Shopping Cart
Remove All
Your shopping cart is currently empty
Anti-CD74 Antibody (9A482) is a Rabbit antibody targeting CD74. Anti-CD74 Antibody (9A482) can be used in FCM,ICC/IF,IHC,WB.
| Pack Size | Price | USA Warehouse | Global Warehouse | Quantity |
|---|---|---|---|---|
| 50 μL | $297 | 7-10 days | 7-10 days | |
| 100 μL | $497 | 7-10 days | 7-10 days |
| Description | Anti-CD74 Antibody (9A482) is a Rabbit antibody targeting CD74. Anti-CD74 Antibody (9A482) can be used in FCM,ICC/IF,IHC,WB. |
| Synonyms | Ii, Ia-γ, Ia-GAMMA, HLADG, DHLAG, CLIP, CD74 molecule, major histocompatibility complex, class II invariant chain |
| Ig Type | IgG |
| Clone | 9A482 |
| Reactivity | Human |
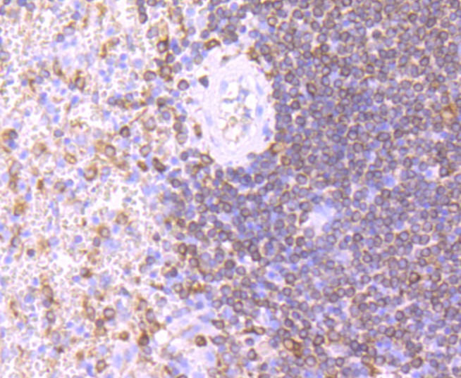
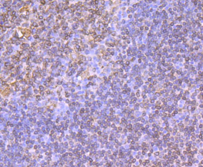
| Verified Activity | 1. Western blot analysis of CD74 on Raji cells lysates using anti-CD74 antibody at 1/1,000 dilution. 2. Immunohistochemical analysis of paraffin-embedded human spleen tissue using anti-CD74 antibody. Counter stained with hematoxylin. 3. Immunohistochemical analysis of paraffin-embedded human tonsil tissue using anti-CD74 antibody. Counter stained with hematoxylin. 4. ICC staining CD74 in Hela cells (red). The nuclear counter stain is DAPI (blue). Cells were fixed in paraformaldehyde, permeabilised with 0.25% Triton X100/PBS. 5. ICC staining CD74 in HepG2 cells (red). The nuclear counter stain is DAPI (blue). Cells were fixed in paraformaldehyde, permeabilised with 0.25% Triton X100/PBS. 6. ICC staining CD74 in 293T cells (red). The nuclear counter stain is DAPI (blue). Cells were fixed in paraformaldehyde, permeabilised with 0.25% Triton X100/PBS. 7. Flow cytometric analysis of Jurkat cells with CD74 antibody at 1/50 dilution (red) compared with an unlabelled control (cells without incubation with primary antibody; black). Alexa Fluor 488-conjugated goat anti rabbit IgG was used as the secondary antibody. ![]() ![]() ![]() ![]() ![]() ![]() ![]() |
| Application | |
| Recommended Dose | WB: 1:1000-5000; IHC: 1:50-200; ICC/IF: 1:50-200; FCM: 1:50-100 |
| Antibody Type | Monoclonal |
| Host Species | Rabbit |
| Construction | Recombinant Antibody |
| Purification | Affinity-chromatography |
| Appearance | Liquid |
| Formulation | Rabbit IgG in phosphate buffered saline , pH 7.4, 150mM NaCl, 0.02% sodium azide and 50% glycerol. |
| Research Background | The human histocompatibility leukocyte antigen (HLA) class II-associated invariant chain is composed of at least four polypeptides. One of these polypeptide chains is expressed as a membrane-bound subunit and has been designated CD74. The loading of peptide onto the class II MHC protein (MHC II) appears to be regulated by CD74, which associates with MHC II during its migration to the endosomal compartment, where class II binds pep-tide. CD74 is expressed by cells of both T lymphocyte and B lymphocyte lineages. In fact, CD74 is broadly expressed in normal B lymphocytes, regardless of their histocompatibility leukocyte antigen (HLA) phenotype, while a subset of peripheral T lymphocytes that are MHC II negative do not express CD74. |
| Conjucates | Unconjugated |
| Immunogen | A synthesized peptide: human CD74 |
| Antigen Species | human |
| Uniprot ID |
| Molecular Weight | Theoretical: 34 kDa. |
| Stability & Storage | Store at 2°C-8°C for 1 month. Store at -20°C or -80°C for 12 months. Avoid repeated freeze-thaw cycles. |
| Transport | Shipping with blue ice. |
| Size | Quantity | Unit Price | Amount | Operation |
|---|

Copyright © 2015-2026 TargetMol Chemicals Inc. All Rights Reserved.