Shopping Cart
Remove All
Your shopping cart is currently empty
Anti-CD68 Antibody (5F511) is a Mouse antibody targeting CD68. Anti-CD68 Antibody (5F511) can be used in IF,IHC.
| Pack Size | Price | USA Warehouse | Global Warehouse | Quantity |
|---|---|---|---|---|
| 50 μL | $217 | 7-10 days | 7-10 days | |
| 100 μL | $316 | 7-10 days | 7-10 days |
| Description | Anti-CD68 Antibody (5F511) is a Mouse antibody targeting CD68. Anti-CD68 Antibody (5F511) can be used in IF,IHC. |
| Synonyms | SCARD1, LAMP4, GP110, CD68 molecule |
| Clone | 5F511 |
| Reactivity | Human,Mouse,Rat |
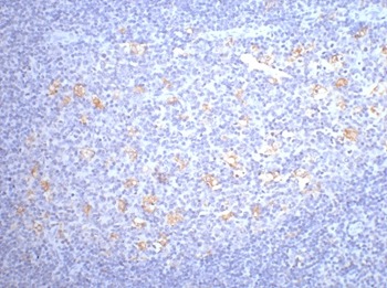
| Verified Activity | 1. IHC staining of paraffin-embedded Human tonsil tissue CD68 mouse mAb diluted at 1:200. 2. Immunofluorescence analysis of Human-lung-cancer tissue. 1,CD68 Monoclonal Antibody (red) was diluted at 1:200 (4℃, overnight). 2, Cy3 labled Secondary antibody was diluted at 1:300(room temperature, 50min).3, Picture B: DAPI (blue) 10min. Picture A: Target. Picture B: DAPI. Picture C: merge of A+B. 3. Immunohistochemical analysis of paraffin-embedded Mouse-liver tissue. 1,CD68 Monoclonal Antibody was diluted at 1:200(4℃, overnight). 2, Sodium citrate pH 6.0 was used for antibody retrieval(>98℃,20min). 3,Secondary antibody was diluted at 1:200 (room tempeRature, 30min). Negative control was used by secondary antibody only. 4. Immunohistochemical analysis of paraffin-embedded Human-Tonsil tissue. 1,CD68 Monoclonal Antibody was diluted at 1:200(4℃,overnight). 2, Sodium citrate pH 6.0 was used for antibody retrieval(>98℃,20min). 3,Secondary antibody was diluted at 1:200(room tempeRature, 30min). Negative control was used by secondary antibody only. 5. Immunofluorescence analysis of Mouse-spleen tissue. 1,CD68 Monoclonal Antibody (red) was diluted at 1:200(4℃,overnight). 2, Cy3 labled Secondary antibody was diluted at 1:300(room temperature, 50min).3, Picture B: DAPI(blue) 10min. Picture A:Target. Picture B: DAPI. Picture C: merge of A+B。 ![]() ![]() ![]() ![]() ![]() |
| Application | |
| Recommended Dose | IHC: 1:200; IF: 1:50-200 |
| Antibody Type | Monoclonal |
| Host Species | Mouse |
| Construction | Hybridoma Monoclonal Antibody |
| Purification | Affinity purification using immunogen. |
| Appearance | Liquid |
| Formulation | Mouse IgG1 in phosphate buffered saline (without Mg2+ and Ca2+), pH 7.4, 150mM NaCl, 0.02% sodium azide and 50% glycerol. |
| Research Background | The CD68 antigen is a 37kD transmembrane protein that is post-translationally glycosylated to give a protein of 87-115kD. CD68 is specifically expressed by tissue macrophages, Langerhans cells and at low levels by dendritic cells. It could play a role in phagocytic activities of tissue macrophages, both in intracellular lysosomal metabolism and extracellular cell-cell and cell-pathogen interactions. It binds to tissue- and organ-specific lectins or selectins, allowing homing of macrophage subsets to particular sites. Rapid recirculation of CD68 from endosomes and lysosomes to the plasma membrane may allow macrophages to crawl over selectin bearing substrates or other cells. |
| Conjucates | Unconjugated |
| Uniprot ID |
| Molecular Weight | Actual: 37 kDa. |
| Color | Transparent |
| Appearance | Liquid |
| Stability & Storage | Store at -20°C or -80°C for 12 months. Avoid repeated freeze-thaw cycles. |
| Transport | Shipping with blue ice. |
| Size | Quantity | Unit Price | Amount | Operation |
|---|

Copyright © 2015-2026 TargetMol Chemicals Inc. All Rights Reserved.