Shopping Cart
Remove All
Your shopping cart is currently empty
Anti-CD41 Antibody (5U824) is a Rabbit antibody targeting CD41. Anti-CD41 Antibody (5U824) can be used in IHC,WB.
| Pack Size | Price | USA Warehouse | Global Warehouse | Quantity |
|---|---|---|---|---|
| 50 μL | $296 | 7-10 days | 7-10 days | |
| 100 μL | $497 | 7-10 days | 7-10 days |
| Description | Anti-CD41 Antibody (5U824) is a Rabbit antibody targeting CD41. Anti-CD41 Antibody (5U824) can be used in IHC,WB. |
| Synonyms | Platelet specific antigen bak, Platelet membrane glycoprotein IIb, platelet glycoprotein IIb of IIb/IIIa complex, Platelet fibrinogen receptor alpha subunit, Platelet fibrinogen receptor alpha, ITGAB, ITGA 2B, ITA2B, Integrin, alpha 2b(platelet glycoprotein IIb of IIb/IIIa complex, antigen CD41), Integrin alpha IIb precursor, Integrin alpha IIb, Integrin alpha 2b, HPA3, GTA, GPIIb, GPalphaIIb, GPalpha IIb, GP2b, CD41b, CD41a, CD41 antigen, CD 41 |
| Ig Type | IgG |
| Clone | 5U824 |
| Reactivity | Human |
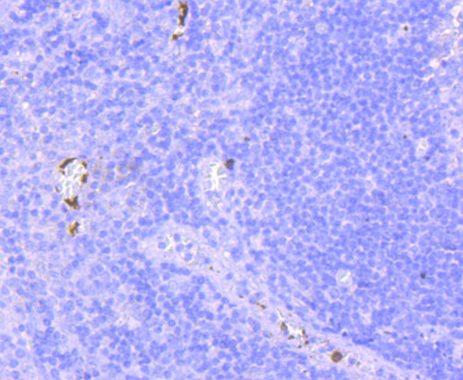
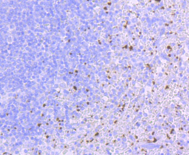
| Verified Activity | 1. Western blot analysis of CD41 on human placenta cells lysates using anti-CD41 antibody at 1/500 dilution. 2. Immunohistochemical analysis of paraffin-embedded human tonsil tissue using anti-CD41 antibody. Counter stained with hematoxylin. 3. Immunohistochemical analysis of paraffin-embedded human spleen tissue using anti-CD41 antibody. Counter stained with hematoxylin. ![]() ![]() ![]() |
| Application | |
| Recommended Dose | WB: 1:500-2000; IHC: 1:50-200 |
| Antibody Type | Monoclonal |
| Host Species | Rabbit |
| Construction | Recombinant Antibody |
| Purification | ProA affinity purified |
| Appearance | Liquid |
| Formulation | 1*TBS (pH7.4), 1%BSA, 40%Glycerol. Preservative: 0.05% Sodium Azide. |
| Research Background | Integrins are heterodimers composed of noncovalently associated transmembrane α and β subunits. The 16 α and 8 β subunits heterodimerize to produce more than 20 different receptors. Most integrin receptors bind ligands that are components of the extracellular matrix, including Fibronectin, collagen and Vitronectin. Certain integrins can also bind to soluble ligands such as Fibrinogen, or to counterreceptors on adjacent cells such as the intracellular adhesion molecules (ICAMs), leading to aggregation of cells. Ligands serve to cross-link or cluster integrins by binding to adjacent integrin receptors; both receptor clustering and ligand occupancy are necessary for the activation of integrin-mediated responses. In addition to mediating cell adhesion and cytoskeletal organization, integrins function as signaling receptors. Signals transduced by integrins play a role in many biological processes, including cell growth, differentiation, migration and apoptosis. |
| Conjucates | Unconjugated |
| Immunogen | Recombinant Protein |
| Uniprot ID |
| Molecular Weight | Theoretical: 113 kDa. |
| Stability & Storage | Store at -20°C or -80°C for 12 months. Avoid repeated freeze-thaw cycles. |
| Transport | Shipping with blue ice. |
| Size | Quantity | Unit Price | Amount | Operation |
|---|

Copyright © 2015-2026 TargetMol Chemicals Inc. All Rights Reserved.