Shopping Cart
Remove All
Your shopping cart is currently empty
Anti-CD4 Polyclonal Antibody is a Rabbit antibody targeting CD4. Anti-CD4 Polyclonal Antibody can be used in FCM,IF,IHC-Fr,IHC-P,WB.
| Pack Size | Price | USA Warehouse | Global Warehouse | Quantity |
|---|---|---|---|---|
| 50 μL | $222 | 7-10 days | 7-10 days | |
| 100 μL | $373 | 7-10 days | 7-10 days | |
| 200 μL | $527 | 7-10 days | 7-10 days |
| Description | Anti-CD4 Polyclonal Antibody is a Rabbit antibody targeting CD4. Anti-CD4 Polyclonal Antibody can be used in FCM,IF,IHC-Fr,IHC-P,WB. |
| Synonyms | Ly-4, L3T4, CD4 molecule |
| Ig Type | IgG |
| Reactivity | Human,Mouse,Pig (predicted:Rat,Dog,Cow,Sheep,GuineaPig,MACFA) |
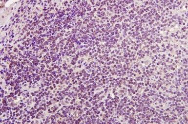
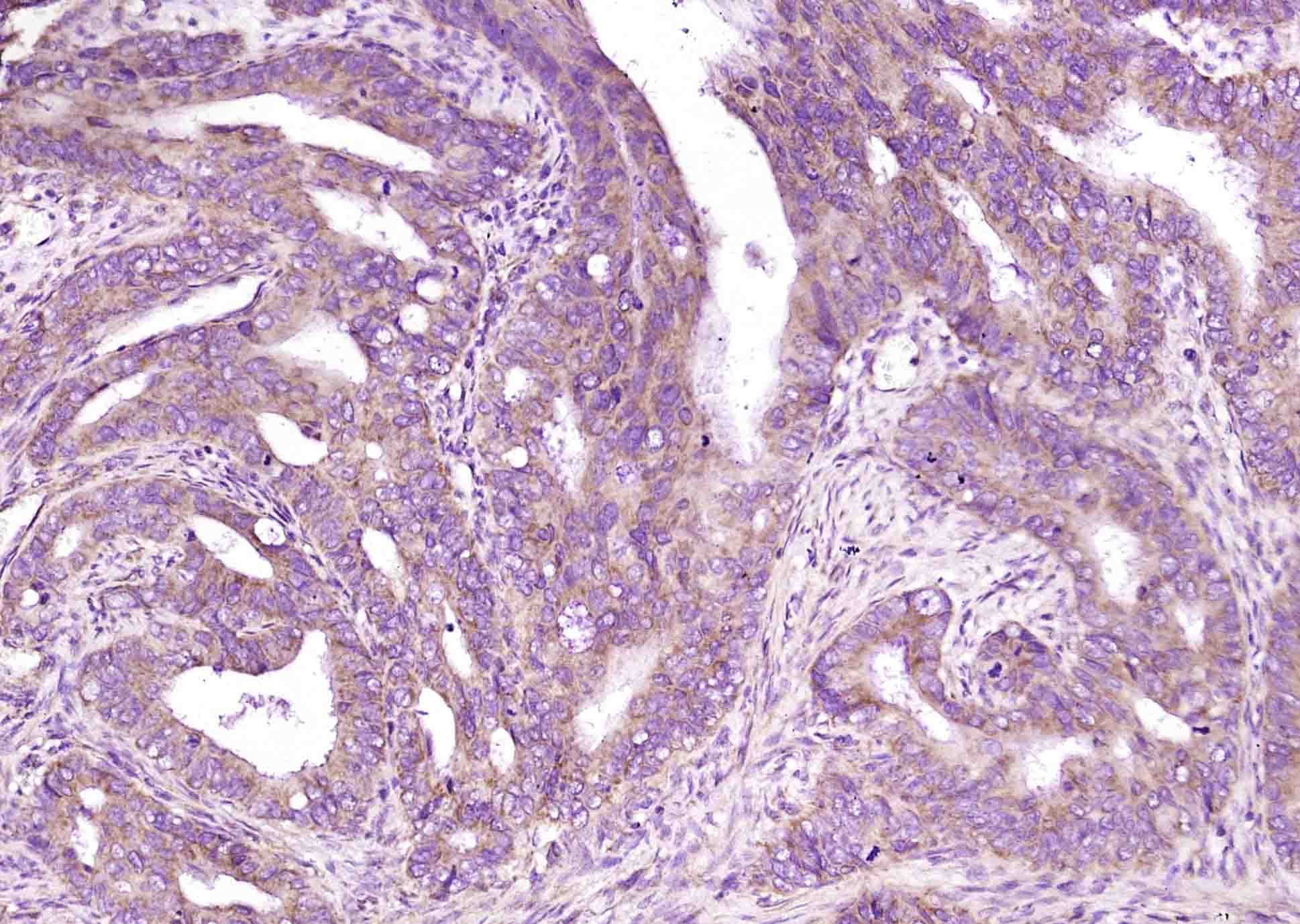
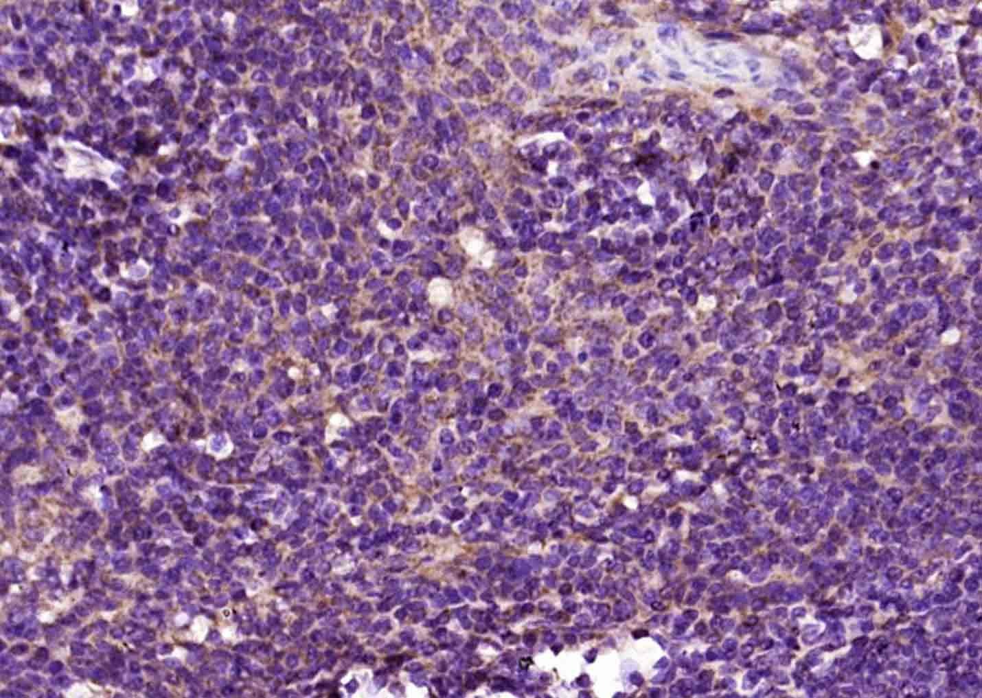
| Verified Activity | 1. Image was kindly submitted by Dr.David M Burmeister from US Army Institute of Surgical Research. Pig lympHnodes stained with Rabbit Anti-CD4 Polyclonal Antibody and then permeabilized with 0.1% PBS-Tween for 20 min at room temperature).
2. Blank control (blue line): HL60 (fixed with 2% paraformaldehyde (10 min) and then permeabilized with 0.1% PBS-Tween for 20 min at room temperature). Primary Antibody (green line): Rabbit Anti-CD4 antibody (TMAB-00362),Dilution: 1μg /10^6 cells; Isotype Control Antibody (orange line): Rabbit IgG. Secondary Antibody (white blue line): Goat anti-rabbit IgG-FITC,dilution: 1μg /test. 3. Paraformaldehyde-fixed, paraffin embedded (human colon carcinoma); Antigen retrieval by boiling in sodium citrate buffer (pH6.0) for 15 min; Block endogenous peroxidase by 3% hydrogen peroxide for 20 min; Blocking buffer (normal goat serum) at 37°C for 30 min; Antibody incubation with (CD4) Polyclonal Antibody, Unconjugated (TMAB-00362) at 1:4000 overnight at 4°C, followed by operating according to SP Kit (Rabbit) instructionsand DAB staining. 4. Paraformaldehyde-fixed, paraffin embedded (human tonsil); Antigen retrieval by boiling in sodium citrate buffer (pH6.0) for 15 min; Block endogenous peroxidase by 3% hydrogen peroxide for 20 min; Blocking buffer (normal goat serum) at 37°C for 30 min; Antibody incubation with (CD4) Polyclonal Antibody, Unconjugated (TMAB-00362) at 1:4000 overnight at 4°C, followed by operating according to SP Kit (Rabbit) instructionsand DAB staining. 5. Sample: Lane 1: U937 (Human) Cell Lysate at 30 μg Lane 2: HL-60 (Human) Cell Lysate at 30 μg Lane 3: Jurkat (Human) Cell Lysate at 30 μg Primary: Anti-CD4 (TMAB-00362) at 1/1000 dilution Secondary: IRDye800CW Goat Anti-Rabbit IgG at 1/20000 dilution Predicted band size: 55 kDa Observed band size: 55 kDa 6. Sample: Spleen (Mouse) Lysate at 40 μg Primary: Anti-CD4 (TMAB-00362) at 1/1000 dilution Secondary: IRDye800CW Goat Anti-Rabbit IgG at 1/20000 dilution Predicted band size: 48 kDa Observed band size: 55 kDa 7. Sample: LympHnode (Mouse) Lysate at 40 μg Primary: Anti-CD4 (TMAB-00362) at 1/300 dilution Secondary: IRDye800CW Goat Anti-Rabbit IgG at 1/20000 dilution Predicted band size: 48 kDa Observed band size: 55 kDa ![]() ![]() ![]() ![]() ![]() ![]() ![]() |
| Application | |
| Recommended Dose | WB: 1:500-2000; IHC-P: 1:100-500; IHC-Fr: 1:100-500; IF: 1:100-500; FCM: 1μg/Test |
| Antibody Type | Polyclonal |
| Host Species | Rabbit |
| Subcellular Localization | Cell membrane; Single-pass type I membrane protein. Note=Localizes to lipid rafts. Removed from plasma membrane by HIV-1 Nef protein that increases clathrin-dependent endocytosis of this antigen to target it to lysosomal degradation. Cell surface expression is also down-modulated by HIV-1 Envelope polyprotein gp160 that interacts with, and sequesters CD4 in the endoplasmic reticulum. |
| Construction | Polyclonal Antibody |
| Purification | Protein A purified |
| Appearance | Liquid |
| Formulation | 0.01M TBS (pH7.4) with 1% BSA, 0.02% Proclin300 and 50% Glycerol. |
| Concentration | 1 mg/mL |
| Research Background | This gene encodes a membrane glycoprotein of T lymphocytes that interacts with major histocompatibility complex class II antigenes and is also a receptor for the human immunodeficiency virus. This gene is expressed not only in T lymphocytes, but also in B cells, macrophages, and granulocytes. It is also expressed in specific regions of the brain. The protein functions to initiate or augment the early phase of T-cell activation, and may function as an important mediator of indirect neuronal damage in infectious and immune-mediated diseases of the central nervous system. Multiple alternatively spliced transcript variants encoding different isoforms have been identified in this gene. [provided by RefSeq, Aug 2010]. |
| Immunogen | KLH conjugated synthetic peptide: human CD4 |
| Antigen Species | Human |
| Gene Name | CD4 |
| Gene ID | |
| Protein Name | T-cell surface glycoprotein CD4 |
| Uniprot ID | |
| Biology Area | Regulatory T Cells,CD,HIV-related,T Lymphocytic Lineage,Dendritic Cell Lineage,Monocytic Lineage |
| Function | Accessory protein for MHC class-II antigen/T-cell receptor interaction. May regulate T-cell activation. Induces the aggregation of lipid rafts. |
| Molecular Weight | Theoretical: 48 kDa. |
| Stability & Storage | Store at -20°C or -80°C for 12 months. Avoid repeated freeze-thaw cycles. |
| Transport | Shipping with blue ice. |
| Size | Quantity | Unit Price | Amount | Operation |
|---|

Copyright © 2015-2026 TargetMol Chemicals Inc. All Rights Reserved.