Shopping Cart
Remove All
Your shopping cart is currently empty
Anti-CD3G Antibody (3M994) is a Rabbit antibody targeting CD3G. Anti-CD3G Antibody (3M994) can be used in FCM,IHC,IP,WB.
| Pack Size | Price | USA Warehouse | Global Warehouse | Quantity |
|---|---|---|---|---|
| 50 μL | $296 | 7-10 days | 7-10 days | |
| 100 μL | $498 | 7-10 days | 7-10 days |
| Description | Anti-CD3G Antibody (3M994) is a Rabbit antibody targeting CD3G. Anti-CD3G Antibody (3M994) can be used in FCM,IHC,IP,WB. |
| Synonyms | T-cell surface glycoprotein CD3 gamma chain, T-cell receptor T3 gamma chain, T3G, CD3g |
| Ig Type | IgG |
| Clone | 3M994 |
| Reactivity | Human,Mouse |
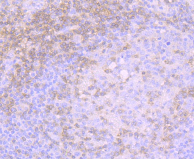
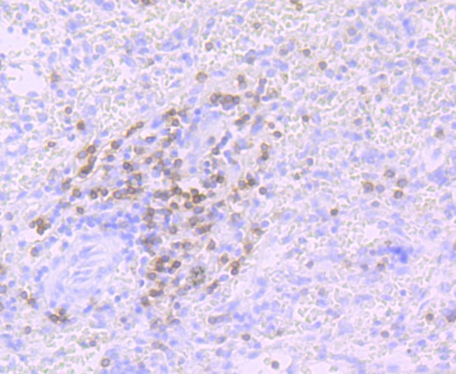
| Verified Activity | 1. Western blot analysis of CD3G on mouse thymus tissue lysate using anti-CD3G antibody at 1/500 dilution. 2. Immunohistochemical analysis of paraffin-embedded human tonsil tissue using anti-CD3G antibody. Counter stained with hematoxylin. 3. Immunohistochemical analysis of paraffin-embedded human spleen tissue using anti-CD3G antibody. Counter stained with hematoxylin. 4. Flow cytometric analysis of Jurkat cells with CD3G antibody at 1/100 dilution (red) compared with an unlabelled control (cells without incubation with primary antibody; black). Alexa Fluor 488-conjugated goat anti-rabbit IgG was used as the secondary antibody. ![]() ![]() ![]() ![]() |
| Application | |
| Recommended Dose | WB: 1:500-1000; IHC: 1:50-200; IP: 1:10-50; FCM: 1:50-100 |
| Antibody Type | Monoclonal |
| Host Species | Rabbit |
| Construction | Recombinant Antibody |
| Purification | ProA affinity purified |
| Appearance | Liquid |
| Formulation | 1*TBS (pH7.4), 1%BSA, 40%Glycerol. Preservative: 0.05% Sodium Azide. |
| Research Background | The T cell antigen receptor (TCR) recognizes foreign antigens and translates such recognition events into intracellular signals that elicit a change in the cell from a dormant to an activated state. Much of this signaling process can be attributed to a multisubunit complex of proteins that associates directly with the TCR. This complex has been designated CD3 (cluster of differentiation 3). It is composed of five invariant polypeptide chains that associate to form three dimers: a heterodimer of gamma and epsilon chains (γε), a heterodimer of delta and epsilon chains (δε) and a homodimer of two zeta chains (ζζ) or a heterodimer of zeta and eta chains (ζη). The ζ and η chains are encoded by the same gene but differ in their carboxyl-terminal ends due to an alternative splicing event. The γ, ε and δ chains each contain a single copy of a conserved immunoreceptor tyrosine-based activation motif (ITAM). |
| Conjucates | Unconjugated |
| Immunogen | Recombinant Protein |
| Uniprot ID |
| Molecular Weight | Theoretical: 20 kDa. |
| Stability & Storage | Store at -20°C or -80°C for 12 months. Avoid repeated freeze-thaw cycles. |
| Transport | Shipping with blue ice. |
| Size | Quantity | Unit Price | Amount | Operation |
|---|

Copyright © 2015-2026 TargetMol Chemicals Inc. All Rights Reserved.