Shopping Cart
Remove All
Your shopping cart is currently empty
Synonyms: T10, Cyclic ADP-ribose hydrolase 1, ADP-ribosyl cyclase/cyclic ADP-ribose hydrolase 1, ADP-ribosyl cyclase 1, 2'-phospho-cyclic-ADP-ribose transferase, 2'-phospho-ADP-ribosyl cyclase/2'-phospho-cyclic-ADP-ribose transferase, 2'-phospho-ADP-ribosyl cyclase
| Pack Size | Price | USA Stock | Global Stock | Quantity |
|---|---|---|---|---|
| 50 μL | $296 | 7-10 days | 7-10 days | |
| 100 μL | $496 | 7-10 days | 7-10 days |
| Description | Anti-CD38 Antibody (4I413) is a Rabbit antibody targeting CD38. Anti-CD38 Antibody (4I413) can be used in IHC,WB. |
| Synonyms | T10, Cyclic ADP-ribose hydrolase 1, ADP-ribosyl cyclase/cyclic ADP-ribose hydrolase 1, ADP-ribosyl cyclase 1, 2'-phospho-cyclic-ADP-ribose transferase, 2'-phospho-ADP-ribosyl cyclase/2'-phospho-cyclic-ADP-ribose transferase, 2'-phospho-ADP-ribosyl cyclase |
| Ig Type | IgG |
| Clone | 4I413 |
| Reactivity | Human |
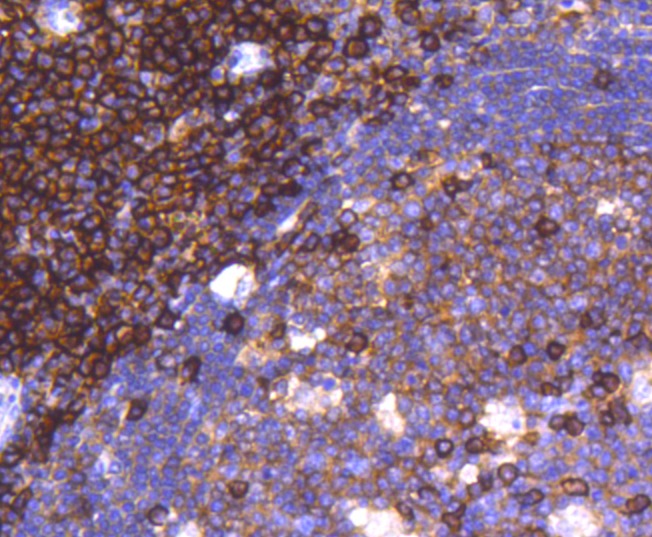
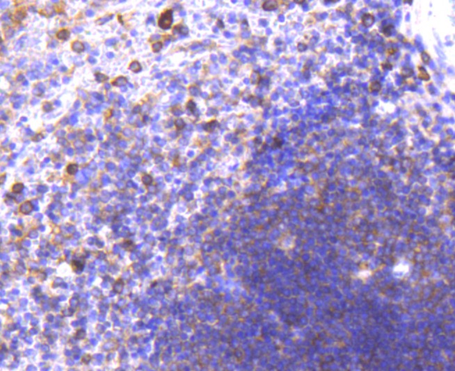
| Verified Activity | 1. Western blot analysis of CD38 on different lysates using anti-CD38 antibody at 1/1,000 dilution. Positive control: Lane 1: THP-1, Lane 2: Raji. 2. Immunohistochemical analysis of paraffin-embedded human tonsil tissue using anti-CD38 antibody. Counter stained with hematoxylin. 3. Immunohistochemical analysis of paraffin-embedded human spleen tissue using anti-CD38 antibody. Counter stained with hematoxylin. 4. Immunohistochemical analysis of paraffin-embedded human kidney tissue using anti-CD38 antibody. Counter stained with hematoxylin. |
| Application | |
| Recommended Dose | WB: 1:1000; IHC: 1:50-200 |
| Antibody Type | Monoclonal |
| Host Species | Rabbit |
| Construction | Recombinant Antibody |
| Purification | ProA affinity purified |
| Appearance | Liquid |
| Formulation | 1*TBS (pH7.4), 1%BSA, 40%Glycerol. Preservative: 0.05% Sodium Azide. |
| Research Background | CD38 is a type II integral membrane glycoprotein which is present on early B and T cell lineages and activated B and T cells but is absent from most mature resting peripheral lymphocytes. CD38 is also found on thymocytes, pre-B cells, germinal center B cells, mitogen-activated T cells, monocytes and Ig-secreting plasma cells. CD38 acts as a NAD glycohydrolase in T lymphocytes. On hematopoietic cells CD38 induces activation, proliferation, and differentiation of mature T and B cells and mediates apoptosis of myeloid and lymphoid progenitor cells. In addition to acting as a signaling receptor, CD38 is also an enzyme capable of producing several calcium-mobilizing metabolites, including cyclic adenosine diphosphate ribose (cADPR). CD38 also plays a role in maintaining survival of an invariant NK T (iNKT) cell subset that preferentially contributes to the maintenance of immunological tolerance. |
| Conjucates | Unconjugated |
| Immunogen | Recombinant Protein |
| Uniprot ID |
| Molecular Weight | Theoretical: 40/50 kDa. |
| Stability & Storage | Store at -20°C or -80°C for 12 months. Avoid repeated freeze-thaw cycles. |
| Transport | Shipping with blue ice. |
| Size | Quantity | Unit Price | Amount | Operation |
|---|

Copyright © 2015-2026 TargetMol Chemicals Inc. All Rights Reserved.