Shopping Cart
Remove All
Your shopping cart is currently empty
Anti-CD31 Antibody (7C778) is a Mouse antibody targeting CD31. Anti-CD31 Antibody (7C778) can be used in IF,IHC-P,WB.
| Pack Size | Price | USA Warehouse | Global Warehouse | Quantity |
|---|---|---|---|---|
| 50 μL | $217 | 7-10 days | 7-10 days | |
| 100 μL | $318 | 7-10 days | 7-10 days |
| Description | Anti-CD31 Antibody (7C778) is a Mouse antibody targeting CD31. Anti-CD31 Antibody (7C778) can be used in IF,IHC-P,WB. |
| Synonyms | PECAM-1, PECA1, GPIIA', FLJ58394, FLJ34100, EndoCAM, CD31 |
| Clone | 7C778 |
| Reactivity | Human |
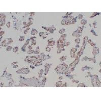
| Verified Activity | 1. Western blot analysis of CD31Antibody at 1:1000 dilution. 2. Immunohistochemical analysis of paraffin-embedded Placenta. 1, Antibody was diluted at 1:200(4°C overnight). 2, Citric acid ,pH6.0 was used for antigen retrieval. 3,Secondary antibody was diluted at 1:200(room temperature, 30min). ![]() ![]() |
| Application | |
| Recommended Dose | WB: 1:500-2000; IHC-P: 1:100-500 |
| Antibody Type | Monoclonal |
| Host Species | Mouse |
| Construction | Hybridoma Monoclonal Antibody |
| Appearance | Liquid |
| Formulation | Liquid in PBS containing 50% glycerol, 0.5% BSA and 0.02% sodium azide. |
| Research Background | platelet and endothelial cell adhesion molecule 1(PECAM1) Homo sapiens The protein encoded by this gene is found on the surface of platelets, monocytes, neutrophils, and some types of T-cells, and makes up a large portion of endothelial cell intercellular junctions. The encoded protein is a member of the immunoglobulin superfamily and is likely involved in leukocyte migration, angiogenesis, and integrin activation. |
| Conjucates | Unconjugated |
| Immunogen | A synthesized phosphopeptide: human CD31 around the non-phosphorylation site of Y713 |
| Antigen Species | human |
| Uniprot ID |
| Stability & Storage | Store at -20°C or -80°C for 12 months. Avoid repeated freeze-thaw cycles. |
| Transport | Shipping with blue ice. |
| Size | Quantity | Unit Price | Amount | Operation |
|---|

Copyright © 2015-2026 TargetMol Chemicals Inc. All Rights Reserved.