Shopping Cart
Remove All
Your shopping cart is currently empty
Anti-CD27/TNFRSF7 Antibody (8H198) is a Rabbit antibody targeting CD27/TNFRSF7. Anti-CD27/TNFRSF7 Antibody (8H198) can be used in FCM,ICC,IHC,WB.
| Pack Size | Price | USA Warehouse | Global Warehouse | Quantity |
|---|---|---|---|---|
| 50 μL | $296 | 7-10 days | 7-10 days | |
| 100 μL | $498 | 7-10 days | 7-10 days |
| Description | Anti-CD27/TNFRSF7 Antibody (8H198) is a Rabbit antibody targeting CD27/TNFRSF7. Anti-CD27/TNFRSF7 Antibody (8H198) can be used in FCM,ICC,IHC,WB. |
| Synonyms | Tp55, TNFRSF7, T14, S152.LPFS2, S152. LPFS2, S152, CD27 molecule |
| Ig Type | IgG |
| Clone | 8H198 |
| Reactivity | Human,Rat |
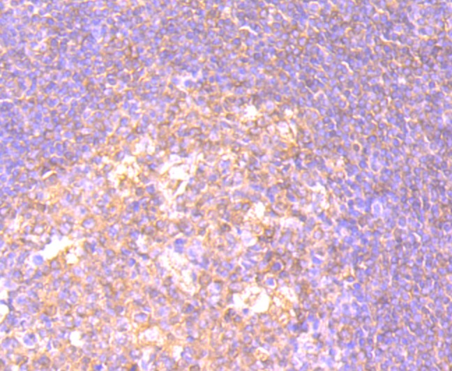
| Verified Activity | 1. Western blot analysis of CD27 on Raji cell using anti-CD27 antibody at 1/500 dilution. 2. Immunohistochemical analysis of paraffin-embedded human tonsil tissue using anti-CD27 antibody. Counter stained with hematoxylin. 3. Immunohistochemical analysis of paraffin-embedded rat spleen tissue using anti-CD27 antibody. Counter stained with hematoxylin. 4. ICC staining CD27 in K562 cells (green). The nuclear counter stain is DAPI (blue). Cells were fixed in paraformaldehyde, permeabilised with 0.25% Triton X100/PBS. 5. Flow cytometric analysis of Daudi cells with CD27 antibody at 1/100 dilution (red) compared with an unlabelled control (cells without incubation with primary antibody; black). Alexa Fluor 488-conjugated goat anti rabbit IgG was used as the secondary antibody. ![]() ![]() ![]() ![]() ![]() |
| Application | |
| Recommended Dose | WB: 1:500-1000; IHC: 1:50-200; ICC: 1:50-200; FCM: 1:50-100 |
| Antibody Type | Monoclonal |
| Host Species | Rabbit |
| Construction | Recombinant Antibody |
| Purification | ProA affinity purified |
| Appearance | Liquid |
| Formulation | 1*TBS (pH7.4), 1%BSA, 40%Glycerol. Preservative: 0.05% Sodium Azide. |
| Research Background | The tumor necrosis factor (TNF) receptor family is composed of several type I integral membrane glycoproteins that exhibit homology in their cysteine-rich extracellular domains. Members of this family include FAS, OX40, CD27 and CD30. Ligands for these receptors are often type II transmembrane glycoproteins, as is the case for CD27 and CD30. CD27 is a homodimeric lymphocyte-specific surface antigen present on T and B lymphocytes. Activation of the CD3 complex via the T cell receptor for antigen leads to an increase in CD27 expression. Together, CD27 and its ligand, CD27L, generate co-stimulatory signals required for complete T cell activation. CD30 is a surface marker for neoplastic cells of the Hodgkin's lymphoma and related hematologic malignancies. CD30L has been shown to enhance the proliferation of the Hodgkin's cell line HDLM-2, but exerts antiproliferative effects on large cell anaplastic lymphoma cell lines. |
| Conjucates | Unconjugated |
| Immunogen | Intracellular domain corresponding to Human CD27 |
| Antigen Species | human |
| Uniprot ID |
| Molecular Weight | Theoretical: 29 kDa. |
| Stability & Storage | Store at -20°C or -80°C for 12 months. Avoid repeated freeze-thaw cycles. |
| Transport | Shipping with blue ice. |
| Size | Quantity | Unit Price | Amount | Operation |
|---|

Copyright © 2015-2026 TargetMol Chemicals Inc. All Rights Reserved.