Shopping Cart
Remove All
Your shopping cart is currently empty
Anti-CD200 Polyclonal Antibody is a Rabbit antibody targeting CD200. Anti-CD200 Polyclonal Antibody can be used in IF,IHC-Fr,IHC-P.
| Pack Size | Price | USA Warehouse | Global Warehouse | Quantity |
|---|---|---|---|---|
| 50 μL | $220 | 7-10 days | 7-10 days | |
| 100 μL | $374 | 7-10 days | 7-10 days | |
| 200 μL | $529 | 7-10 days | 7-10 days |
| Description | Anti-CD200 Polyclonal Antibody is a Rabbit antibody targeting CD200. Anti-CD200 Polyclonal Antibody can be used in IF,IHC-Fr,IHC-P. |
| Synonyms | OX-2 membrane glycoprotein, MOX2, MOX1, CD200 |
| Ig Type | IgG |
| Reactivity | Human,Rat (predicted:Mouse) |
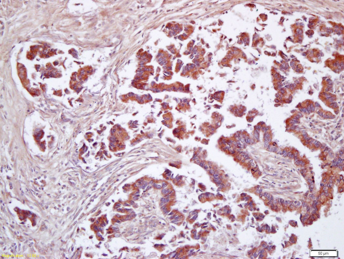
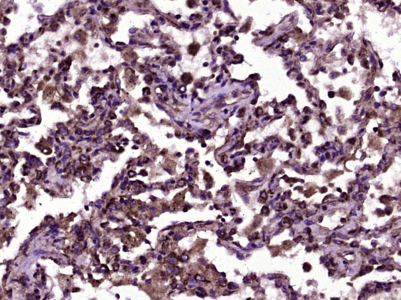
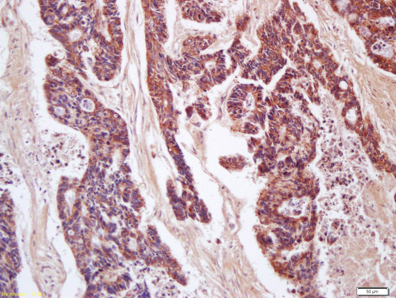
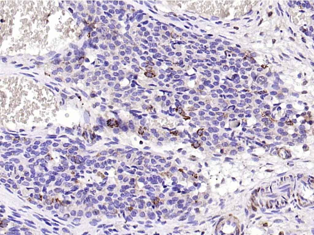
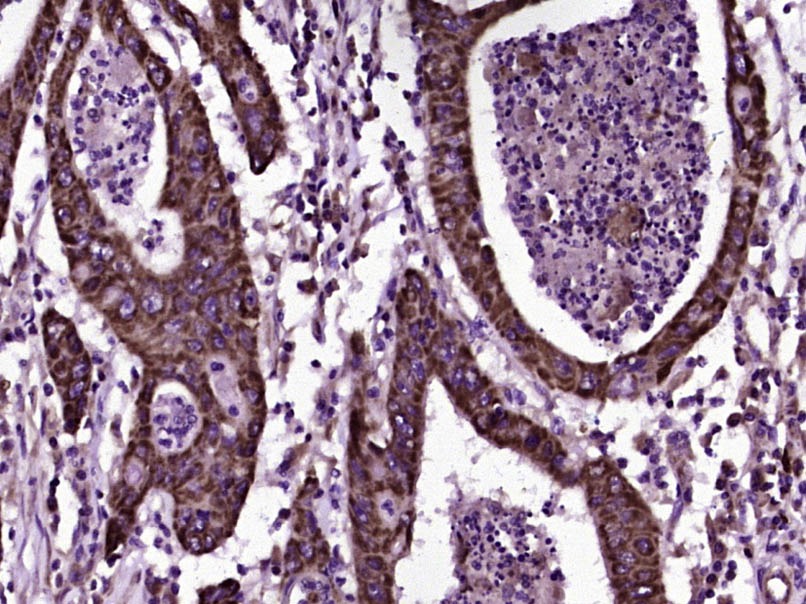
| Verified Activity | 1. Tissue/cell: human lung carcinoma; 4% Paraformaldehyde-fixed and paraffin-embedded; Antigen retrieval: citrate buffer (0.01M, pH6.0), Boiling bathing for 15 min; Block endogenous peroxidase by 3% Hydrogen peroxide for 30 min; Blocking buffer (normal goat serum) at 37°C for 20 min; Incubation: Anti-CD200 Polyclonal Antibody, Unconjugated (TMAB-00344) 1:200, overnight at 4°C, followed by conjugation to the secondary antibody and DAb staining. 2. Tissue/cell: human rectal carcinoma; 4% Paraformaldehyde-fixed and paraffin-embedded; Antigen retrieval: citrate buffer (0.01M, pH6.0), Boiling bathing for 15 min; Block endogenous peroxidase by 3% Hydrogen peroxide for 30 min; Blocking buffer (normal goat serum) at 37°C for 20 min; Incubation: Anti-CD200 Polyclonal Antibody, Unconjugated (TMAB-00344) 1:200, overnight at 4°C, followed by conjugation to the secondary antibody and DAb staining. 3. Paraformaldehyde-fixed, paraffin embedded (rat ovary); Antigen retrieval by boiling in sodium citrate buffer (pH6.0) for 15 min; Block endogenous peroxidase by 3% hydrogen peroxide for 20 min; Blocking buffer (normal goat serum) at 37°C for 30 min; Antibody incubation with (CD200) Polyclonal Antibody, Unconjugated (TMAB-00344) at 1:200 overnight at 4°C, followed by operating according to SP Kit (Rabbit) instructionsand DAB staining. 4. Paraformaldehyde-fixed, paraffin embedded (Human lung carcinoma); Antigen retrieval by boiling in sodium citrate buffer (pH6.0) for 15 min; Block endogenous peroxidase by 3% hydrogen peroxide for 20 min; Blocking buffer (normal goat serum) at 37°C for 30 min; Antibody incubation with (CD200) Polyclonal Antibody, Unconjugated (TMAB-00344) at 1:400 overnight at 4°C, followed by operating according to SP Kit (Rabbit) instructionsand DAB staining. 5. Paraformaldehyde-fixed, paraffin embedded (Human colon carcinoma); Antigen retrieval by boiling in sodium citrate buffer (pH6.0) for 15 min; Block endogenous peroxidase by 3% hydrogen peroxide for 20 min; Blocking buffer (normal goat serum) at 37°C for 30 min; Antibody incubation with (CD200) Polyclonal Antibody, Unconjugated (TMAB-00344) at 1:400 overnight at 4°C, followed by operating according to SP Kit (Rabbit) instructionsand DAB staining. ![]() ![]() ![]() ![]() ![]() |
| Application | |
| Recommended Dose | IHC-P: 1:100-500; IHC-Fr: 1:100-500; IF: 1:100-500 |
| Antibody Type | Polyclonal |
| Host Species | Rabbit |
| Subcellular Localization | Cell membrane; Single-pass type I membrane protein. |
| Construction | Polyclonal Antibody |
| Purification | Protein A purified |
| Appearance | Liquid |
| Formulation | 0.01M TBS (pH7.4) with 1% BSA, 0.02% Proclin300 and 50% Glycerol. |
| Concentration | 1 mg/mL |
| Research Background | This gene encodes a type I membrane glycoprotein containing two extracellular immunoglobulin domains, a transmembrane and a cytoplasmic domain. This gene is expressed by various cell types, including B cells, a subset of T cells, thymocytes, endothelial cells, and neurons. The encoded protein plays an important role in immunosuppression and regulation of anti-tumor activity. Alternative splicing results in multiple transcript variants encoding different isoforms. [provided by RefSeq, Jan 2016] |
| Immunogen | KLH conjugated synthetic peptide: human CD200 |
| Antigen Species | Human |
| Gene Name | CD200 |
| Gene ID | |
| Protein Name | OX-2 membrane glycoprotein |
| Uniprot ID | |
| Biology Area | Innate and adaptive immunity,CD |
| Function | Costimulates T-cell proliferation. May regulate myeloid cell activity in a variety of tissues. |
| Molecular Weight | Theoretical: 28 kDa. Actual: 40-50 kDa. |
| Stability & Storage | Store at -20°C or -80°C for 12 months. Avoid repeated freeze-thaw cycles. |
| Transport | Shipping with blue ice. |
| Size | Quantity | Unit Price | Amount | Operation |
|---|

Copyright © 2015-2026 TargetMol Chemicals Inc. All Rights Reserved.