Shopping Cart
Remove All
Your shopping cart is currently empty
Anti-CD163 Antibody (3C775) is a Rabbit antibody targeting CD163. Anti-CD163 Antibody (3C775) can be used in FCM,IHC,IP,WB.
| Pack Size | Price | USA Warehouse | Global Warehouse | Quantity |
|---|---|---|---|---|
| 50 μL | $298 | 7-10 days | 7-10 days | |
| 100 μL | $498 | 7-10 days | 7-10 days |
| Description | Anti-CD163 Antibody (3C775) is a Rabbit antibody targeting CD163. Anti-CD163 Antibody (3C775) can be used in FCM,IHC,IP,WB. |
| Synonyms | sCD163, SCARI1, RM3/1, MM130, M130, HbSR, GHI/61, CD163 molecule, CD163 |
| Ig Type | IgG |
| Clone | 3C775 |
| Reactivity | Human |
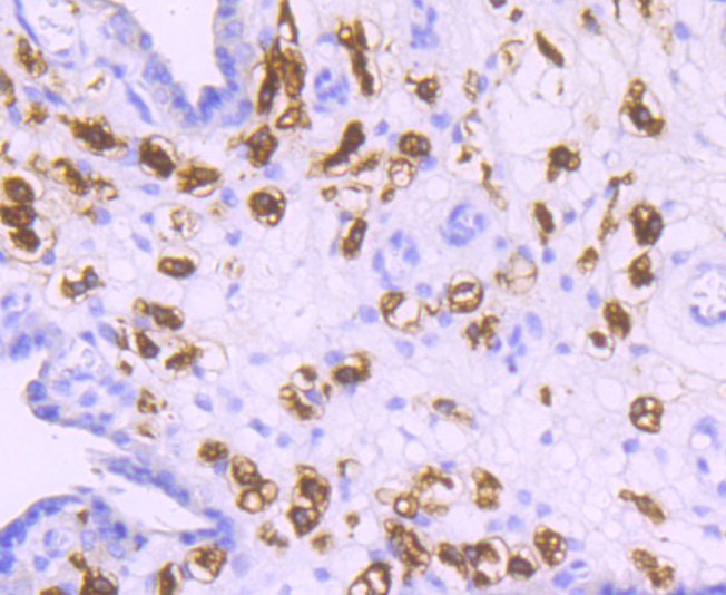
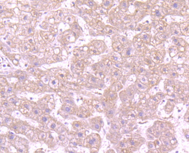
| Verified Activity | 1. Western blot analysis of CD163 on human thymus tissue lysate using anti-CD163 antibody at 1/1,000 dilution. 2. Immunohistochemical analysis of paraffin-embedded human liver tissue using anti-CD163 antibody. Counter stained with hematoxylin. 3. Immunohistochemical analysis of paraffin-embedded human spleen tissue using anti-CD163 antibody. Counter stained with hematoxylin. 4. Immunohistochemical analysis of paraffin-embedded human placenta tissue using anti-CD163 antibody. Counter stained with hematoxylin. 5. Flow cytometric analysis of THP-1 cells with CD163 antibody at 1/100 dilution (red) compared with an unlabelled control (cells without incubation with primary antibody; black). ![]() ![]() ![]() ![]() ![]() |
| Application | |
| Recommended Dose | WB: 1:500-2000; IHC: 1:50-200; FCM: 1:50-100 |
| Antibody Type | Monoclonal |
| Host Species | Rabbit |
| Construction | Recombinant Antibody |
| Purification | ProA affinity purified |
| Appearance | Liquid |
| Formulation | 1*TBS (pH7.4), 1%BSA, 40%Glycerol. Preservative: 0.05% Sodium Azide. |
| Research Background | CD163, also designated M130, is a macrophage-associated antigen that is a member of the scavenger receptor cysteine-rich (SRCR) superfamily. It is highly expressed on macrogphages and to a lesser extent on monocytes. The acute phase-regulated and signal-inducing macrophage protein, CD163, is a receptor that scavenges hemoglobin by mediating endocytosis of haptoglobin-hemoglobin complexes. CD163 binds only haptoglobin and hemoglobin in complex, which indicates the exposure of a receptor-binding neoepitope. The receptor-ligand interaction is calcium-dependent and of high affinity. The existence of several CD163 isoforms, which differ in the structure of their cytoplasmic domains and putative phosphorylation sites, suggests that these isoforms also differ in their signaling mechanism. The gene which encodes CD163 maps to human chromosome 12p13.31. |
| Conjucates | Unconjugated |
| Immunogen | Recombinant Protein |
| Uniprot ID |
| Molecular Weight | Theoretical: 150 kDa. |
| Stability & Storage | Store at -20°C or -80°C for 12 months. Avoid repeated freeze-thaw cycles. |
| Transport | Shipping with blue ice. |
| Size | Quantity | Unit Price | Amount | Operation |
|---|

Copyright © 2015-2026 TargetMol Chemicals Inc. All Rights Reserved.