Shopping Cart
- Remove All
Your shopping cart is currently empty
Anti-CD14 Polyclonal Antibody is a Rabbit antibody targeting CD14. Anti-CD14 Polyclonal Antibody can be used in ELISA,ICC/IF,IF,IHC-Fr,IHC-P,WB.
| Pack Size | Price | Availability | Quantity |
|---|---|---|---|
| 50 μL | $220 | 7-10 days | |
| 100 μL | $372 | 7-10 days |
| Description | Anti-CD14 Polyclonal Antibody is a Rabbit antibody targeting CD14. Anti-CD14 Polyclonal Antibody can be used in ELISA,ICC/IF,IF,IHC-Fr,IHC-P,WB. |
| Synonyms | CD14 molecule, CD14 |
| Ig Type | IgG |
| Reactivity | Human,Mouse |
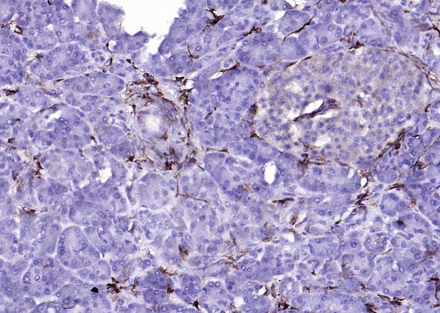
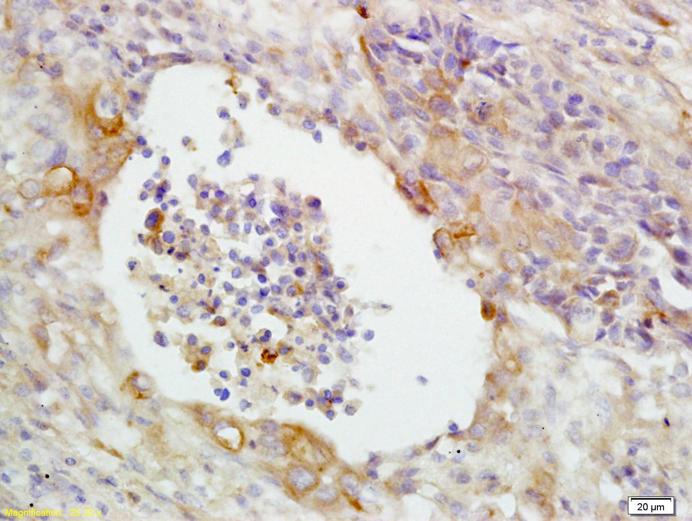
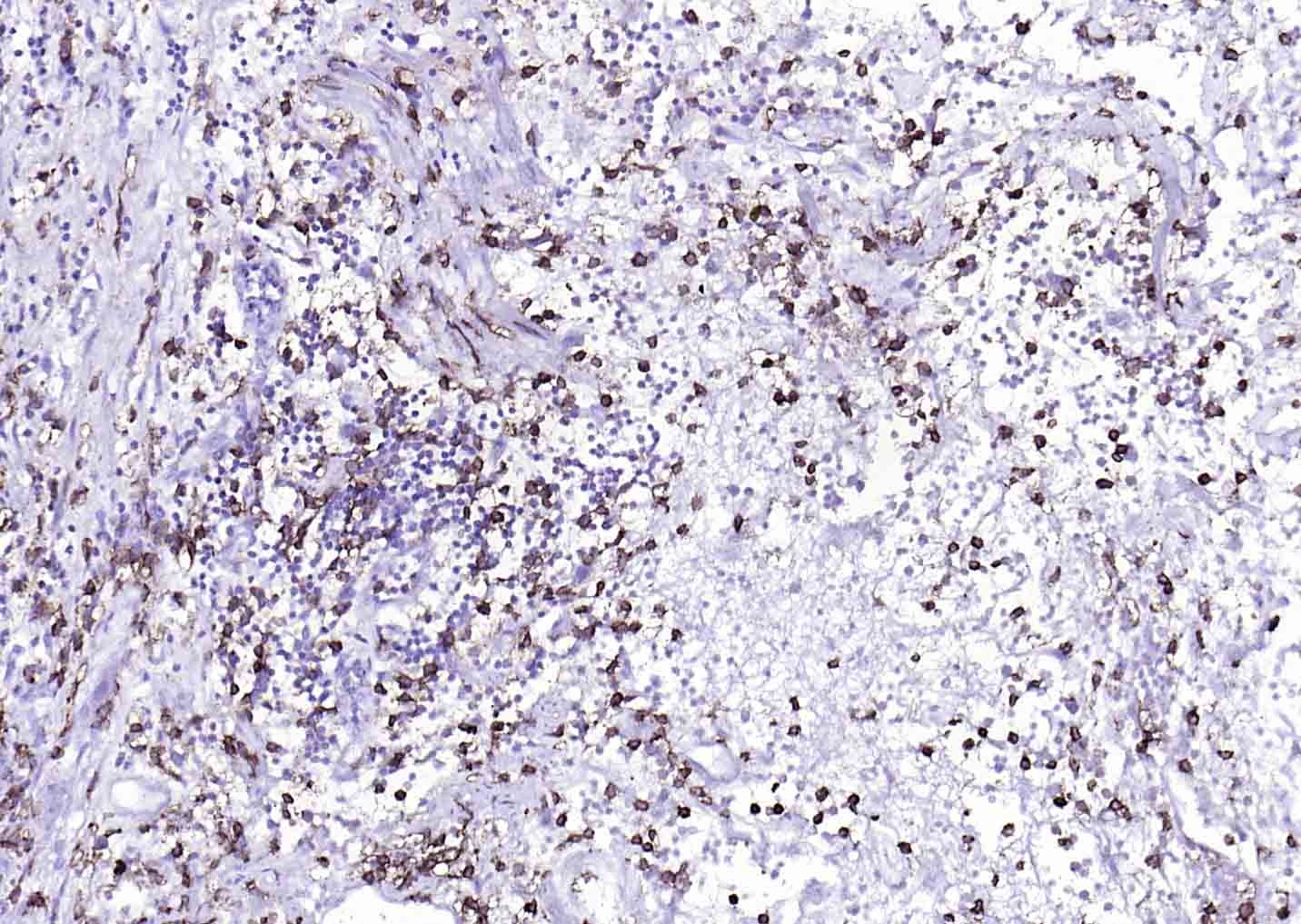
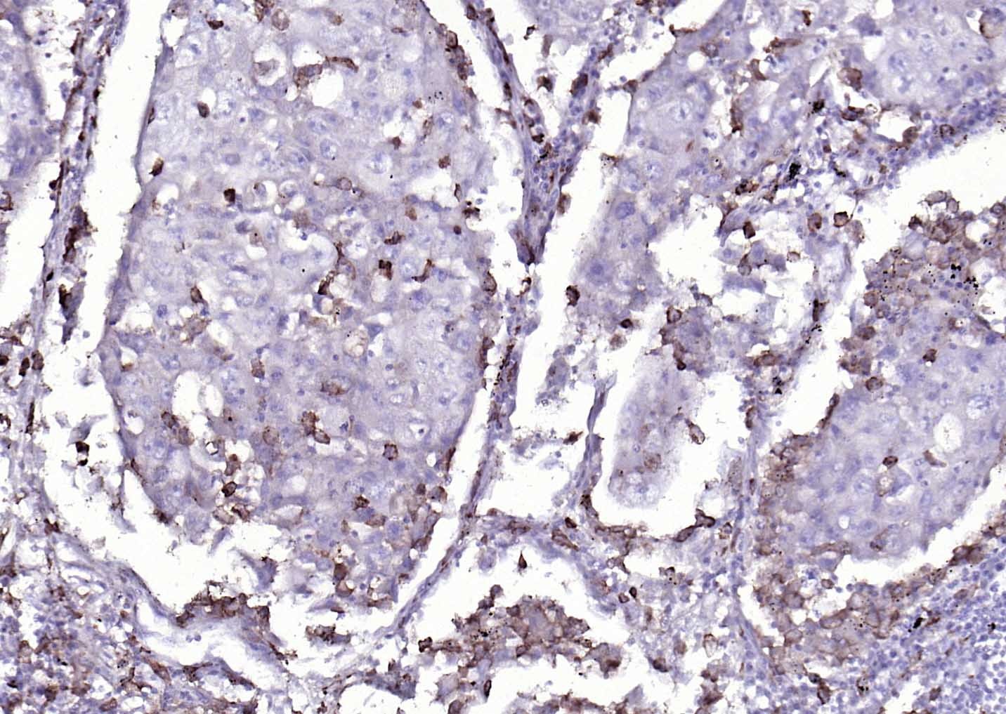
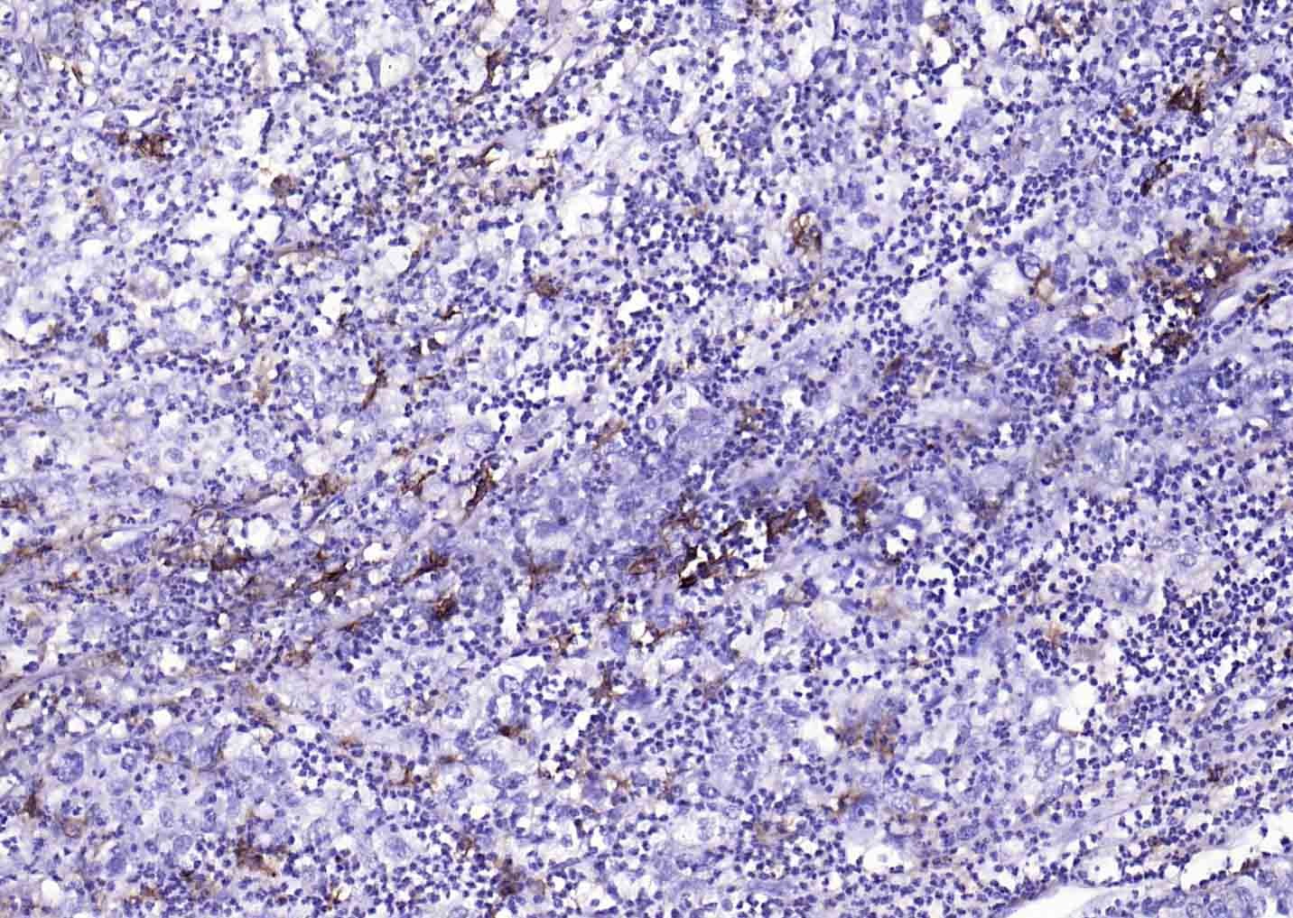
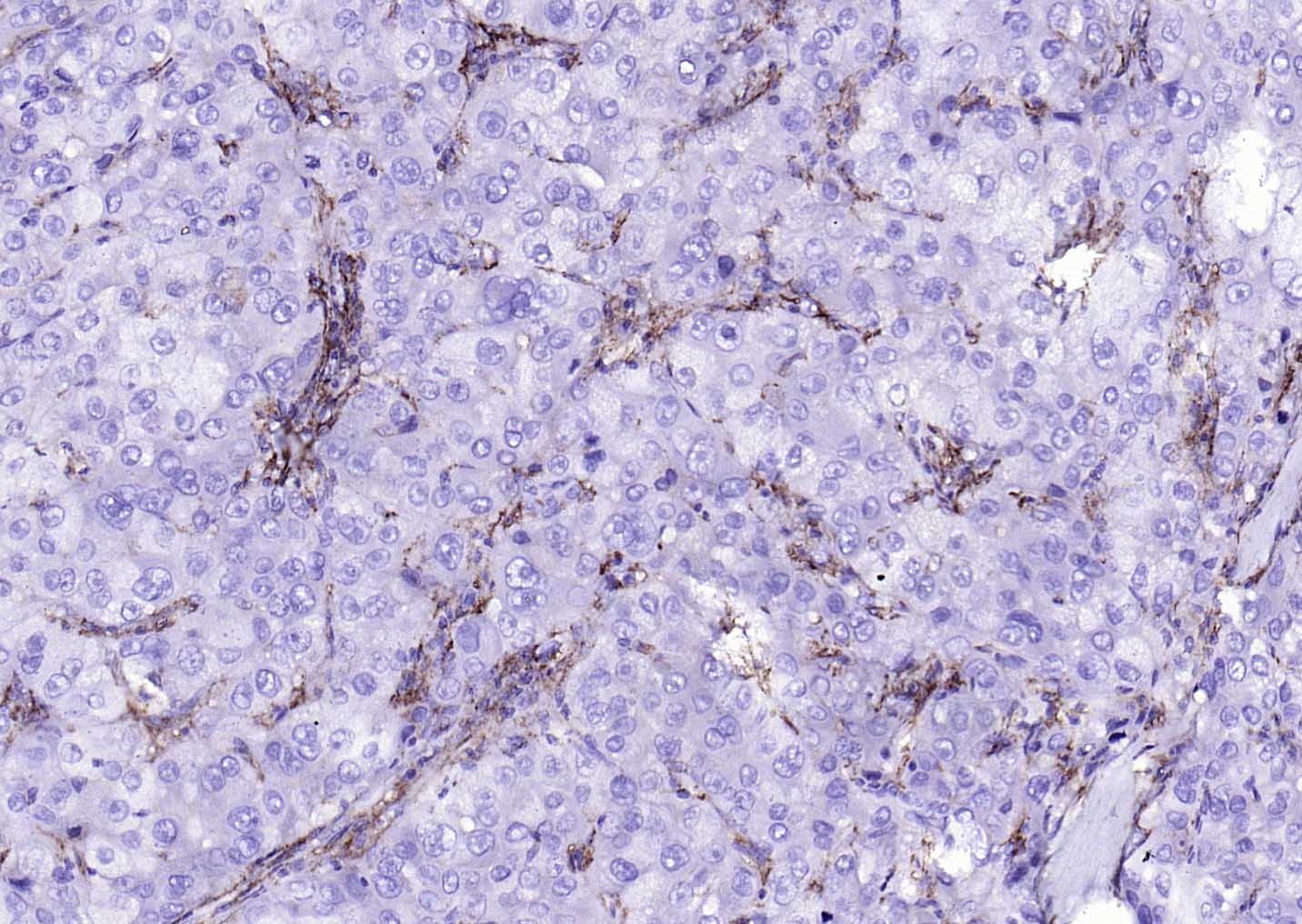
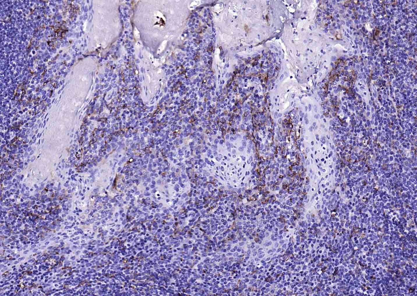
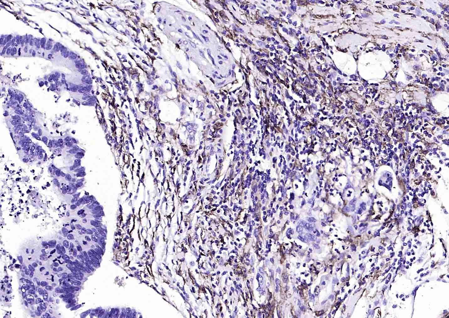
| Verified Activity | 1. Tissue/cell: human lung carcinoma; 4% Paraformaldehyde-fixed and paraffin-embedded; Antigen retrieval: citrate buffer (0.01M, pH6.0), Boiling bathing for 15 min; Block endogenous peroxidase by 3% Hydrogen peroxide for 30 min; Blocking buffer (normal goat serum) at 37°C for 20 min; Incubation: Anti-CD14 Polyclonal Antibody, Unconjugated (TMAB-00333) 1:200, overnight at 4°C, followed by conjugation to the secondary antibody and DAb staining. 2. Sample: Lane 1: Liver (Rat) Lysate at 40 μg Lane 2: Raw264.7 (Mouse) Cell Lysate at 30 μg Primary: Anti-CD14 (TMAB-00333) at 1/500 dilution Secondary: IRDye800CW Goat Anti-Rabbit IgG at 1/20000 dilution Predicted band size: 54 kDa Observed band size: 54 kDa 3. Paraformaldehyde-fixed, paraffin embedded (human endometrial carcinoma); Antigen retrieval by boiling in sodium citrate buffer (pH6.0) for 15 min; Block endogenous peroxidase by 3% hydrogen peroxide for 20 min; Blocking buffer (normal goat serum) at 37°C for 30 min; Antibody incubation with (CD14) Polyclonal Antibody, Unconjugated (TMAB-00333) at 1:200 overnight at 4°C, followed by operating according to SP Kit (Rabbit) instructionsand DAB staining. 4. Paraformaldehyde-fixed, paraffin embedded (human lung carcinoma); Antigen retrieval by boiling in sodium citrate buffer (pH6.0) for 15 min; Block endogenous peroxidase by 3% hydrogen peroxide for 20 min; Blocking buffer (normal goat serum) at 37°C for 30 min; Antibody incubation with (CD14) Polyclonal Antibody, Unconjugated (TMAB-00333) at 1:200 overnight at 4°C, followed by operating according to SP Kit (Rabbit) instructionsand DAB staining. 5. Paraformaldehyde-fixed, paraffin embedded (human pancreatic cancer); Antigen retrieval by boiling in sodium citrate buffer (pH6.0) for 15 min; Block endogenous peroxidase by 3% hydrogen peroxide for 20 min; Blocking buffer (normal goat serum) at 37°C for 30 min; Antibody incubation with (CD14) Polyclonal Antibody, Unconjugated (TMAB-00333) at 1:200 overnight at 4°C, followed by operating according to SP Kit (Rabbit) instructionsand DAB staining. 6. Paraformaldehyde-fixed, paraffin embedded (human liver carcinoma); Antigen retrieval by boiling in sodium citrate buffer (pH6.0) for 15 min; Block endogenous peroxidase by 3% hydrogen peroxide for 20 min; Blocking buffer (normal goat serum) at 37°C for 30 min; Antibody incubation with (CD14) Polyclonal Antibody, Unconjugated (TMAB-00333) at 1:200 overnight at 4°C, followed by operating according to SP Kit (Rabbit) instructionsand DAB staining. 7. Paraformaldehyde-fixed, paraffin embedded (human tonsil); Antigen retrieval by boiling in sodium citrate buffer (pH6.0) for 15 min; Block endogenous peroxidase by 3% hydrogen peroxide for 20 min; Blocking buffer (normal goat serum) at 37°C for 30 min; Antibody incubation with (CD14) Polyclonal Antibody, Unconjugated (TMAB-00333) at 1:200 overnight at 4°C, followed by operating according to SP Kit (Rabbit) instructionsand DAB staining. 8. Paraformaldehyde-fixed, paraffin embedded (Human appendix); Antigen retrieval by boiling in sodium citrate buffer (pH6.0) for 15 min; Block endogenous peroxidase by 3% hydrogen peroxide for 20 min; Blocking buffer (normal goat serum) at 37°C for 30 min; Antibody incubation with (CD14) Polyclonal Antibody, Unconjugated (TMAB-00333) at 1:200 overnight at 4°C, followed by operating according to SP Kit (Rabbit) instructionsand DAB staining. 9. Paraformaldehyde-fixed, paraffin embedded (human colon carcinoma); Antigen retrieval by boiling in sodium citrate buffer (pH6.0) for 15 min; Block endogenous peroxidase by 3% hydrogen peroxide for 20 min; Blocking buffer (normal goat serum) at 37°C for 30 min; Antibody incubation with (CD14) Polyclonal Antibody, Unconjugated (TMAB-00333) at 1:500 overnight at 4°C, followed by operating according to SP Kit (Rabbit) instructionsand DAB staining. 10. Sample: Lane 1: Human Siha cell lysates Lane 2: Human A549 cell lysates Lane 3: Human HepG2 cell lysates Primary: Anti-CD14 (TMAB-00333) at 1/1000 dilution Secondary: IRDye800CW Goat Anti-Rabbit IgG at 1/20000 dilution Predicted band size: 35/40 kDa Observed band size: 59 kDa ![]() ![]() ![]() ![]() ![]() ![]() ![]() ![]() ![]() ![]() |
| Application | |
| Recommended Dose | WB: 1:500-2000; IHC-P: 1:100-500; IHC-Fr: 1:100-500; ICC/IF: 1:100; IF: 1:100-500; ELISA: 1:5000-10000 |
| Antibody Type | Polyclonal |
| Host Species | Rabbit |
| Subcellular Localization | Cell membrane; Lipid-anchor, GPI-anchor. |
| Construction | Polyclonal Antibody |
| Purification | Protein A purified |
| Appearance | Liquid |
| Formulation | 0.01M TBS (pH7.4) with 1% BSA, 0.02% Proclin300 and 50% Glycerol. |
| Concentration | 1 mg/mL |
| Research Background | The protein encoded by this gene is a surface antigen that is preferentially expressed on monocytes/macrophages. It cooperates with other proteins to mediate the innate immune response to bacterial lipopolysaccharide. Alternative splicing results in multiple transcript variants encoding the same protein. [provided by RefSeq, Mar 2010] |
| Immunogen | KLH conjugated synthetic peptide: mouse CD14 |
| Antigen Species | Mouse |
| Gene Name | CD14 |
| Gene ID | |
| Protein Name | Monocyte differentiation antigen CD14 |
| Biology Area | Negative Markers,Neutrophil Lineage,Monocytic Lineage,Human Lineage Negative,Endothelial Markers,CD markers ELISA kits,TLR Signaling,Myeloid Cells |
| Function | Cooperates with MD-2 and TLR4 to mediate the innate immune response to bacterial lipopolysaccharide (LPS). Acts via MyD88, TIRAP and TRAF6, leading to NF-kappa-B activation, cytokine secretion and the inflammatory response. Up-regulates cell surface molecules, including adhesion molecules. |
| Molecular Weight | Theoretical: 35/40 kDa. |
| Stability & Storage | Store at -20°C or -80°C for 12 months. Avoid repeated freeze-thaw cycles. |
| Transport | Shipping with blue ice. |

Copyright © 2015-2025 TargetMol Chemicals Inc. All Rights Reserved.